• Tel: 858.663.9055
  • SeparatorEmail: info@nsjbio.com
  • Tel: 858.663.9055
  • Email: info@nsjbio.com
Home >> Antibodies >> Ki-67 Antibody Clone 31K02 / MKI67 Antibody

Ki-67 Antibody Clone 31K02 / MKI67 Antibody [clone 31K02] (FY12964)

  Catalog No Formulation Size Price (USD)  
Image FY12964 Rabbit IgG in phosphate buffered saline, pH 7.4, 150mM NaCl, 0.02% sodium azide and 50% glycerol, 0.4-0.5mg/ml BSA 100 ul 449
Microvalidated Recrabbitmono
Bulk quote request
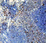
Ki-67 Antibody Clone 31K02 / MKI67 Antibody Clone 31K02. Immunohistochemistry analysis of paraffin-embedded mouse spleen tissue using Ki-67 antibody clone 31K02. Strong nuclear brown staining is observed in numerous proliferating lymphoid cells within splenic white pulp regions, consistent with the known expression pattern of Ki-67 / MKI67 in actively dividing cells. Surrounding cells with lower proliferative activity show comparatively weaker staining. Heat-induced antigen retrieval was performed in EDTA buffer (pH 8.0) prior to staining. The tissue section was incubated with Ki-67 antibody clone 31K02 followed by peroxidase-conjugated goat anti-rabbit IgG secondary antibody, and signal was visualized using an HRP detection system with DAB chromogenic substrate.
Immunohistochemical staining of Ki67/MKI67 using anti-Ki-67 antibody. Ki67/MKI67 was detected in a paraffin-embedded section of human colon cancer tissue. Heat mediated antigen retrieval was performed in EDTA buffer (pH 8.0, epitope retrieval solution). The tissue section was blocked with 10% goat serum. The tissue section was then incubated with 1:50 rabbit anti-Ki-67 antibody overnight at 4oC. Peroxidase Conjugated Goat Anti-rabbit IgG was used as secondary antibody and incubated for 30 minutes at 37oC. The tissue section was developed using an HRP secondary and DAB substrate.
Immunohistochemical staining of Ki67/MKI67 using anti-Ki-67 antibody. Ki67/MKI67 was detected in a paraffin-embedded section of rat spleen tissue. Heat mediated antigen retrieval was performed in EDTA buffer (pH 8.0, epitope retrieval solution). The tissue section was blocked with 10% goat serum. The tissue section was then incubated with 1:50 rabbit anti-Ki-67 antibody overnight at 4oC. Peroxidase Conjugated Goat Anti-rabbit IgG was used as secondary antibody and incubated for 30 minutes at 37oC. The tissue section was developed using an HRP secondary and DAB substrate.
Ki-67 Antibody Clone 31K02 / MKI67 Antibody Clone 31K02. Immunofluorescence analysis of paraffin-embedded human intestinal carcinoma tissue using Ki-67 antibody clone 31K02. Strong nuclear fluorescence (green) is observed in numerous proliferating tumor epithelial cells, consistent with the known nuclear localization of Ki-67 / MKI67 during active phases of the cell cycle. Non-proliferating surrounding cells show reduced fluorescence signal. Heat-induced antigen retrieval was performed in EDTA buffer (pH 8.0) prior to staining. The tissue section was incubated with Ki-67 antibody clone 31K02 followed by DyLight 488 conjugated goat anti-rabbit IgG secondary antibody, and fluorescence signal was visualized using appropriate fluorescence microscopy filter sets.
Immunofluorescent staining of Ki67/MKI67 using anti-Ki-67 antibody (green). Ki67/MKI67 was detected in an immunocytochemical section of cells. Enzyme antigen retrieval was performed using IHC enzyme antigen retrieval reagent for 15 mins. The cells were blocked with 10% goat serum. And then incubated at 1:50 rabbit anti-Ki-67 antibody overnight at 4oC. DyLight488 Conjugated Goat Anti-Rabbit IgG was used as secondary antibody at 1:500 dilution and incubated for 30 minutes at 37oC. Visualize using a fluorescence microscope and filter sets appropriate for the label used.
Availability 2-3 weeks
Species Reactivity Human, Mouse, Rat
Format Liquid
Host Rabbit
Clonality Recombinant Rabbit Monoclonal
Isotype Rabbit IgG
Clone Name 31K02
Purity Affinity chromatography
Buffer Rabbit IgG in phosphate buffered saline, pH 7.4, 150mM NaCl, 0.02% sodium azide and 50% glycerol, 0.4-0.5mg/ml BSA.
UniProt P46013
Localization Nuclear
Applications Immunohistochemistry : 1:50-1:200
Immunofluorescence : 1:50-1:200
Immunocytochemistry/Immunofluorescence : 1:50-1:200
Limitations This Ki-67 antibody is available for research use only.
Review this product on BioCompare and get a $20 Amazon gift card

Related Products

Description

Ki-67 antigen (MKI67) is a nuclear proliferation-associated protein encoded by the MKI67 gene and widely used as a marker of actively dividing cells. Ki-67 Antibody Clone 31K02 / MKI67 Antibody Clone 31K02 recognizes this well-established proliferation marker and enables researchers to study Ki-67 protein expression in experimental systems focused on cell cycle activity and cellular proliferation. Because Ki-67 expression is closely linked to the cell cycle, detection of this protein provides a reliable method for identifying proliferating cell populations.

Ki-67 antibody, also referred to as Ki67 antibody or MKI67 antibody in the literature, detects a nuclear protein expressed during the G1, S, G2, and mitotic phases of the cell cycle while largely absent in quiescent cells in the G0 phase. This tightly regulated expression pattern makes Ki-67 one of the most widely used markers of proliferating cells. Detection of Ki-67 allows investigators to distinguish actively cycling cells from resting cell populations within the same tissue or culture system.

Ki-67 plays an important role in chromosome organization during cell division. During interphase the protein localizes within the nucleus and is often associated with nucleolar structures. As cells progress through mitosis, Ki-67 redistributes to the perichromosomal layer surrounding condensed chromosomes, contributing to chromosome organization and proper mitotic progression. These dynamic localization patterns reflect the functional role of Ki-67 in chromatin architecture during the cell cycle.

The designation Clone 31K02 identifies a specific monoclonal antibody clone developed to recognize the Ki-67 / MKI67 protein. Clone identifiers are commonly used in antibody research to distinguish reagents that target the same protein but originate from different hybridoma lines or development platforms. Using a defined clone such as Ki-67 Antibody Clone 31K02 provides consistency for researchers seeking reproducible detection of Ki-67 across experiments and datasets.

Ki-67 Antibody Clone 31K02 supports detection of the Ki-67 / MKI67 proliferation marker in research applications focused on cellular proliferation, tumor biology, and cell cycle regulation. By referencing the specific Clone 31K02 designation, this antibody provides a clearly defined reagent for studies examining proliferative activity in biological samples.

Application Notes

Optimal dilution of the Ki-67 Antibody Clone 31K02 should be determined by the researcher.

Immunogen

Recombinant protein with human Ki67 (Position: K2860-I3256) was used as the immunogen for the Ki-67 antibody.

Storage

Store the Ki-67 antibody at -20oC.

Alternate Names

Ki67 antibody, MKI67 antibody, Antigen KI-67 antibody, Ki-67 proliferation marker antibody, Nuclear proliferation antigen Ki-67 antibody

Cross
Bulk Quote Request Form
Name*:
Organization*:
Email*:
Phone Number*:
Catalog No.*:
Comments and Specifics(amount, formulation, etc.)*:
Validation code: Captchapackage Image


Can't read the image? click here to refresh.
    *required field

Your bulk quote request has been submitted successfully!

Please contact us if you have any questions.