• Tel: 858.663.9055
  • SeparatorEmail: info@nsjbio.com
  • Tel: 858.663.9055
  • Email: info@nsjbio.com
Home >> Antibodies >> Keratin 7 Antibody / Cytokeratin 7

Keratin 7 Antibody / Cytokeratin 7 [clone K72.7] (V2656)

  Catalog No Formulation Size Price (USD)  
Image V2656-100UG 0.2 mg/ml in 1X PBS with 0.1 mg/ml BSA (US sourced) and 0.05% sodium azide 100 ug 559
Image
V2656-20UG 0.2 mg/ml in 1X PBS with 0.1 mg/ml BSA (US sourced) and 0.05% sodium azide 20 ug 259
Image
V2656SAF-100UG 1 mg/ml in 1X PBS; BSA free, sodium azide free 100 ug 559
Image
V2656IHC-7ML Prediluted in 1X PBS with 0.1 mg/ml BSA (US sourced) and 0.05% sodium azide; *For IHC use only* 7 ml 559
Bulk quote request
IHC: Formalin-fixed, paraffin-embedded human lung SCC stained with Keratin 7 antibody (clone K72.7).
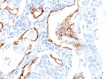
IHC: Formalin-fixed, paraffin-embedded ovarian carcinoma stained with Keratin 7 antibody (clone K72.7).
Immunofluorescent staining of methanol-fixed human HeLa cells with Cytokeratin 7 antibody (green, clone K72.7) and Reddot nuclear stain (red).
Western blot testing of human HeLa cell lysate with Cytokeratin 7 antibody (clone K72.7).
Flow cytometry testing of PFA-fixed human HeLa cells with Cytokeratin 7 antibody (clone K72.7); Red=isotype control, Blue= recombinant Cytokeratin 7 antibody.
Availability 1-3 business days
Species Reactivity Human
Format Purified
Host Mouse
Clonality Monoclonal (mouse origin)
Isotype Mouse IgG1, kappa
Clone Name K72.7
Purity Protein G affinity chromatography
UniProt P08729
Localization Cytoplasmic
Applications Flow Cytometry : 0.5-1ug/10^6 cells
Immunofluorescence : 1-2ug/ml
Western Blot : 0.5-2ug/ml
Immunohistochemistry (FFPE) : 0.5-1ug/ml for 30 min at RT
Limitations This Keratin 7 antibody is available for research use only.
Review this product on BioCompare and get a $20 Amazon gift card

Related Products

Description

Keratin 7 antibody clone K72.7 is a monoclonal antibody that detects keratin 7, an intermediate filament protein characteristic of simple and glandular epithelia. Keratin 7 expression is common in lung, breast, and female genital tract epithelium but absent from gastrointestinal epithelium, making it a widely used marker in pathology. NSJ Bioreagents provides Keratin 7 antibody clone K72.7 for oncology, diagnostic pathology, and epithelial research.

The antibody produces clear cytoplasmic staining in epithelial tissues that express keratin 7. In diagnostic pathology, it is frequently paired with keratin 20 antibodies to establish CK7/CK20 expression profiles. These profiles allow pathologists to distinguish tumor types and predict their site of origin. For example, lung adenocarcinomas are CK7 positive/CK20 negative, while colorectal adenocarcinomas are CK7 negative/CK20 positive.

In oncology, Keratin 7 antibody clone K72.7 has been applied to studies of breast and ovarian carcinomas, where keratin 7 expression helps confirm tumor lineage. It also aids in evaluating tumor spread and metastatic disease.

The antibody has been used in developmental biology to study epithelial differentiation and cytoskeletal regulation. It highlights how intermediate filaments contribute to structural integrity and cell polarity in glandular epithelia.

Validated across tissue-based and cell-based systems, the antibody consistently delivers strong and specific cytoplasmic staining. Alternate names include CK7 antibody, cytokeratin 7 antibody, and type II keratin antibody.

This mAb is highly useful in distinguishing ovarian carcinomas (keratin 7+) from colon carcinomas (keratin 7-).

Application Notes

Optimal dilution of the Keratin 7 antibody should be determined by the researcher.

1. Staining of formalin-fixed tissues requires boiling tissue sections in 10mM Citrate buffer, pH 6.0, for 10-20 min followed by cooling at RT for 20 minutes
2. The prediluted format is supplied in a dropper bottle and is optimized for use in IHC. After epitope retrieval step (if required), drip mAb solution onto the tissue section and incubate at RT for 30 min.

Immunogen

A semi-purified cytokeratin preparation was used as the immunogen for the Keratin 7 antibody.

Storage

Store the Keratin 7 antibody at 2-8oC (with azide) or aliquot and store at -20oC or colder (without azide).

Cross
Bulk Quote Request Form
Name*:
Organization*:
Email*:
Phone Number*:
Catalog No.*:
Comments and Specifics(amount, formulation, etc.)*:
Validation code: Captchapackage Image


Can't read the image? click here to refresh.
    *required field

Your bulk quote request has been submitted successfully!

Please contact us if you have any questions.