• Tel: 858.663.9055
  • SeparatorEmail: info@nsjbio.com
  • Tel: 858.663.9055
  • Email: info@nsjbio.com
Home >> Antibodies >> Keratin 5 Antibody / KRT5

Keratin 5 Antibody / KRT5 [clone FBE-11] (RQ5411)

  Catalog No Formulation Size Price (USD)  
Image RQ5411 Antibody in PBS with 0.02% sodium azide, 50% glycerol and 0.4-0.5mg/ml BSA 100 ul 449
Microvalidated Rab Mono Image
Bulk quote request
Western blot testing of human A431 cell lysate with Keratin 5 antibody. Predicted molecular weight: 58-62 kDa.
Western blot testing of human HaCaT cell lysate with Keratin 5 antibody. Predicted molecular weight: 58-62 kDa.
Western blot testing of human ThP-1 cell lysate with Keratin 5 antibody. Predicted molecular weight: 58-62 kDa.
Western blot testing of mouse 1) heart and 2) liver tissue lysate with Keratin 5 antibody. Predicted molecular weight: 58-62 kDa.
Western blot testing of 1) mouse kidney and 2) rat heart tissue lysate with Keratin 5 antibody. Predicted molecular weight: 58-62 kDa.
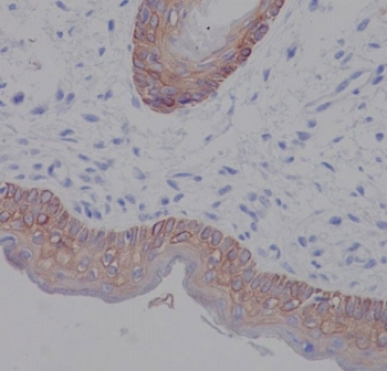
IHC staining of FFPE human skin tissue with Keratin 5 antibody. HIER: boil tissue sections in pH8 EDTA for 20 min and allow to cool before testing.
Availability 1-2 weeks
Species Reactivity Human
Format Purified
Host Rabbit
Clonality Rabbit Monoclonal
Isotype Rabbit IgG
Clone Name FBE-11
Purity Affinity purified
UniProt P13647
Applications Western Blot : 1:1000-1:5000
Immunohistochemistry (FFPE) : 1:50-1:200
Limitations This Keratin 5 antibody is available for research use only.
Review this product on BioCompare and get a $20 Amazon gift card

Related Products

Description

The protein encoded by the KRT5 gene is a member of the keratin gene family. The type II cytokeratins consist of basic or neutral proteins which are arranged in pairs of heterotypic keratin chains coexpressed during differentiation of simple and stratified epithelial tissues. This type II cytokeratin is specifically expressed in the basal layer of the epidermis with family member KRT14. Mutations in these genes have been associated with a complex of diseases termed epidermolysis bullosa simplex. The type II cytokeratins are clustered in a region of chromosome 12q12-q13. [RefSeq]

Application Notes

Optimal dilution of the Keratin 5 antibody should be determined by the researcher.

Immunogen

A synthetic peptide specific to human Cytokeratin 5 / KRT5 was used as the immunogen for the Keratin 5 antibody.

Storage

Store the Keratin 5 antibody at -20oC.

Cross
Bulk Quote Request Form
Name*:
Organization*:
Email*:
Phone Number*:
Catalog No.*:
Comments and Specifics(amount, formulation, etc.)*:
Validation code: Captchapackage Image


Can't read the image? click here to refresh.
    *required field

Your bulk quote request has been submitted successfully!

Please contact us if you have any questions.