• Tel: 858.663.9055
  • SeparatorEmail: info@nsjbio.com
  • Tel: 858.663.9055
  • Email: info@nsjbio.com
Home >> Antibodies >> KEAP1 Antibody / Kelch-like ECH-associated protein 1

KEAP1 Antibody / Kelch-like ECH-associated protein 1 (FY12106)

  Catalog No Formulation Size Price (USD)  
Image FY12106 Adding 0.2 ml of distilled water will yield a concentration of 500 ug/ml 100 ug 449
Bulk quote request
IF analysis of KEAP1 using anti-KEAP1 antibody (green). KEAP1 was detected in an immunocytochemical section of cells. Enzyme antigen retrieval was performed using IHC enzyme antigen retrieval reagent for 15 mins. The cells were blocked with 10% goat serum. And then incubated with 5 ug/ml rabbit anti-KEAP1 antibody overnight at 4oC. DyLight 488 Conjugated Goat Anti-Rabbit IgG was used as secondary antibody at 1:100 dilution and incubated for 30 minutes at 37oC. The section was counterstained with DAPI (blue). Visualize using a fluorescence microscope and filter sets appropriate for the label used.
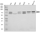
Western blot analysis of KEAP1 using anti-KEAP1 antibody. Lane 1: human Hela whole cell lysates, Lane 2: human Jurkat whole cell lysates, Lane 3: human 293T whole cell lysates, Lane 4: human HepG2 whole cell lysates, Lane 5: rat C6 whole cell lysates, Lane 6: mouse Neuro-2a whole cell lysates. After electrophoresis, proteins were transferred to a nitrocellulose membrane at 150 mA for 50-90 minutes. Blocked the membrane with 5% non-fat milk/TBS for 1.5 hour at RT. The membrane was incubated with rabbit anti-KEAP1 antibody at 0.5 ug/ml overnight at 4oC, then washed with TBS-0.1%Tween 3 times with 5 minutes each and probed with a goat anti-rabbit IgG-HRP secondary antibody at a dilution of 1:5000 for 1.5 hour at RT. The signal was developed using enhanced chemiluminescent. The expected band size for KEAP1 is at 70 kDa and it is often observed as a doublet with the higher band corresponding to the phosphorylated form of the protein.
Flow Cytometry analysis of U251 cells using anti-KEAP1 antibody. Overlay histogram showing U251 cells stained with (Blue line). To facilitate intracellular staining, cells were fixed with 4% paraformaldehyde and permeabilized with permeabilization buffer. The cells were blocked with 10% normal goat serum. And then incubated with rabbit anti-KEAP1 antibody (1 ug/million cells) for 30 min at 20oC. DyLight 488 conjugated goat anti-rabbit IgG (5-10 ug/million cells) was used as secondary antibody for 30 minutes at 20oC. Isotype control antibody (Green line) was rabbit IgG (1 ug/million cells) used under the same conditions. Unlabelled sample without incubation with primary antibody and secondary antibody (Red line) was used as a blank control.
Availability 1-2 days
Species Reactivity Human, Mouse, Rat
Format Lyophilized
Host Rabbit
Clonality Polyclonal (rabbit origin)
Isotype Rabbit IgG
Purity Immunogen affinity purified
Buffer Each vial contains 4 mg Trehalose, 0.9 mg NaCl, 0.2 mg Na2HPO4.
UniProt Q14145
Applications Western Blot : 0.25-0.5ug/ml
Immunocytochemistry : 5ug/ml
Immunofluorescence : 5ug/ml
Flow Cytometry : 1-3ug/million cells
ELISA : 0.1-0.5ug/ml
Limitations This KEAP1 antibody is available for research use only.
Review this product on BioCompare and get a $20 Amazon gift card

Related Products

  • Applications : WB, ELISA
    Reactivity : Human
    Pred. Reactivity : Pig
  • Applications : WB, IHC, ELISA
    Reactivity : Human
    Pred. Reactivity : Pig
  • Applications : WB, IHC, ELISA (peptide)
    Reactivity : Human, Mouse
    Pred. Reactivity : Cow, Dog, Pig, Rat
  • Applications : WB
    Reactivity : Human

Description

KEAP1 antibody is designed to target Kelch-like ECH-associated protein 1, a critical regulator of cellular redox balance and stress response. The KEAP1 protein functions as a substrate adaptor protein within a Cullin 3-based E3 ubiquitin ligase complex, where it plays a central role in mediating the ubiquitination and subsequent degradation of nuclear factor erythroid 2-related factor 2 (NFE2L2, also known as NRF2). Under basal conditions, KEAP1 binds NRF2 in the cytoplasm and promotes its proteasomal degradation. This ensures that NRF2 activity remains tightly controlled to prevent unnecessary transcriptional activation of antioxidant response genes. When oxidative or electrophilic stress occurs, modifications on reactive cysteine residues of KEAP1 disrupt its interaction with NRF2, allowing NRF2 to accumulate and translocate to the nucleus to activate protective transcriptional programs.The KEAP1 protein is highly conserved and contains several functional domains, including a Broad-Complex, Tramtrack, and Bric-a-brac (BTB) domain at its N-terminus, which mediates binding to Cullin 3, and multiple Kelch repeats at the C-terminus, which recognize and bind to NRF2. Structural studies have shown that mutations within these domains often impair NRF2 binding, leading to dysregulated antioxidant signaling. KEAP1 itself is encoded by the KEAP1 gene located on chromosome 19p13.2. Mutations and epigenetic changes in KEAP1 are frequently observed in various cancers, including lung adenocarcinoma, squamous cell carcinoma, and hepatocellular carcinoma. These alterations often result in constitutive NRF2 activation, which can confer growth advantages, metabolic adaptation, and chemoresistance to tumor cells.Beyond cancer, KEAP1 has been implicated in chronic diseases characterized by oxidative stress, such as chronic obstructive pulmonary disease, cardiovascular disease, and neurodegenerative disorders like Parkinson's and Alzheimer's disease. By serving as a redox sensor, KEAP1 ensures proper cellular adaptation to fluctuating environmental conditions. The study of KEAP1 and its regulatory loop with NRF2 is central to developing targeted therapeutics aimed at either inhibiting NRF2 in cancer settings or activating it in degenerative and inflammatory diseases. Research tools such as KEAP1 antibody are therefore valuable in exploring protein expression, localization, and interactions across a range of experimental systems, including western blot, immunohistochemistry, immunoprecipitation, and ELISA.In experimental models, KEAP1 levels are often analyzed to understand stress responses at the tissue level. For example, in liver samples, KEAP1 reduction is frequently correlated with increased NRF2 nuclear accumulation, providing insights into hepatoprotective pathways. Additionally, KEAP1 expression can be modulated by environmental toxins, diet, and pharmacological agents, making it a versatile biomarker in toxicology and pharmacology research. The use of reagents like this antibody, available from NSJ Bioreagents, supports cutting-edge investigations into oxidative stress biology and translational medicine.

Application Notes

Optimal dilution of the KEAP1 antibody should be determined by the researcher.

Immunogen

E.coli-derived human KEAP1 recombinant protein (Position: K84-K312) was used as the immunogen for the KEAP1 antibody.

Storage

After reconstitution, the KEAP1 antibody can be stored for up to one month at 4oC. For long-term, aliquot and store at -20oC. Avoid repeated freezing and thawing.

Cross
Bulk Quote Request Form
Name*:
Organization*:
Email*:
Phone Number*:
Catalog No.*:
Comments and Specifics(amount, formulation, etc.)*:
Validation code: Captchapackage Image


Can't read the image? click here to refresh.
    *required field

Your bulk quote request has been submitted successfully!

Please contact us if you have any questions.