• Tel: 858.663.9055
  • SeparatorEmail: info@nsjbio.com
  • Tel: 858.663.9055
  • Email: info@nsjbio.com
Home >> Antibodies >> KDM4A Antibody / JMJD2A / JHDM3A

KDM4A Antibody / JMJD2A / JHDM3A [clone AEHB-11] (RQ4772)

  Catalog No Formulation Size Price (USD)  
Image RQ4772 Antibody in PBS with 0.02% sodium azide, 50% glycerol and 0.4-0.5mg/ml BSA 100 ul 449
Microvalidated Rab Mono Image
Bulk quote request
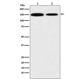
Western blot testing of 1) human HEK293 and 2) mouse NIH3T3 lysate with KDM4A antibody. Predicted molecular weight ~121 kDa.
Availability 1-2 weeks
Species Reactivity Human
Format Purified
Host Rabbit
Clonality Rabbit Monoclonal
Isotype Rabbit IgG
Clone Name AEHB-11
Purity Affinity purified
UniProt O75164
Applications Western Blot : 1:500-1:2000
Limitations This KDM4A antibody is available for research use only.
Review this product on BioCompare and get a $20 Amazon gift card

Related Products

Description

'Lysine (K) specific demethylase 4A' (KDM4A) is a histone demethylase that specifically demethylates 'Lys-9' and 'Lys-36' residues of histone H3, thereby playing a central role in histone code. Does not demethylate histone H3 'Lys-4', H3 'Lys-27' nor H4 'Lys-20'. Demethylates trimethylated H3 'Lys-9' and H3 'Lys-36' residue, while it has no activity on mono- and dimethylated residues.

Application Notes

Optimal dilution of the KDM4A antibody should be determined by the researcher.

Immunogen

A synthetic peptide specific to human KDM4A was used as the immunogen for the KDM4A antibody.

Storage

Store the KDM4A antibody at -20oC.

Cross
Bulk Quote Request Form
Name*:
Organization*:
Email*:
Phone Number*:
Catalog No.*:
Comments and Specifics(amount, formulation, etc.)*:
Validation code: Captchapackage Image


Can't read the image? click here to refresh.
    *required field

Your bulk quote request has been submitted successfully!

Please contact us if you have any questions.