• Tel: 858.663.9055
  • SeparatorEmail: info@nsjbio.com
  • Tel: 858.663.9055
  • Email: info@nsjbio.com
Home >> Antibodies >> KDM1 / LSD1 Antibody

KDM1 / LSD1 Antibody [clone DID-11] (RQ4754)

  Catalog No Formulation Size Price (USD)  
Image RQ4754 Antibody in PBS with 0.02% sodium azide, 50% glycerol and 0.4-0.5mg/ml BSA 100 ul 449
Microvalidated Rab Mono Image
Bulk quote request
Western blot testing of human HeLa lysate with KDM1 / LSD1 antibody. Predicted molecular weight ~110 kDa.
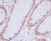
IHC staining of FFPE human colon tissue with KDM1 / LSD1 antibody. HIER: boil tissue sections in pH6, 10mM citrate buffer, for 10-20 min and allow to cool before testing.
Availability 1-2 weeks
Species Reactivity Human
Format Purified
Host Rabbit
Clonality Rabbit Monoclonal
Isotype Rabbit IgG
Clone Name DID-11
Purity Affinity purified
UniProt O60341
Localization Nuclear
Applications Western Blot : 1:1000-1:2000
Immunohistochemistry (FFPE) : 1:50-1:200
Limitations This KDM1 / LSD1 antibody is available for research use only.
Review this product on BioCompare and get a $20 Amazon gift card

Related Products

Description

Histone demethylase that demethylates both 'Lys-4' (H3K4me) and 'Lys-9' (H3K9me) of histone H3, thereby acting as a coactivator or a corepressor, depending on the context. [UniProt]

Application Notes

Optimal dilution of the KDM1 / LSD1 antibody should be determined by the researcher.

Immunogen

A synthetic peptide specific to human Lysine-specific histone demethylase 1A was used as the immunogen for the KDM1 / LSD1 antibody.

Storage

Store the KDM1 / LSD1 antibody at -20oC.

Cross
Bulk Quote Request Form
Name*:
Organization*:
Email*:
Phone Number*:
Catalog No.*:
Comments and Specifics(amount, formulation, etc.)*:
Validation code: Captchapackage Image


Can't read the image? click here to refresh.
    *required field

Your bulk quote request has been submitted successfully!

Please contact us if you have any questions.