• Tel: 858.663.9055
  • SeparatorEmail: info@nsjbio.com
  • Tel: 858.663.9055
  • Email: info@nsjbio.com
Home >> Antibodies >> KCNQ2 Antibody / Kv7.2

KCNQ2 Antibody / Kv7.2 (RQ6494)

  Catalog No Formulation Size Price (USD)  
Image RQ6494 0.5mg/ml if reconstituted with 0.2ml sterile DI water 100 ug 449
Bulk quote request
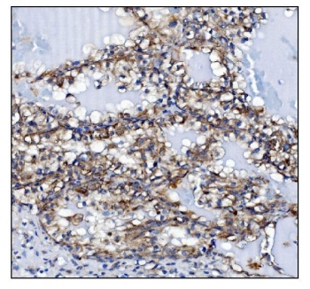
IHC staining of FFPE human renal clear cell carcinoma tissue with KCNQ2 antibody. HIER: boil tissue sections in pH8 EDTA for 20 min and allow to cool before testing.
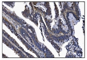
IHC staining of FFPE human lung cancer tissue with KCNQ2 antibody. HIER: boil tissue sections in pH8 EDTA for 20 min and allow to cool before testing.
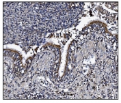
IHC staining of FFPE human rectal cancer tissue with KCNQ2 antibody. HIER: boil tissue sections in pH8 EDTA for 20 min and allow to cool before testing.
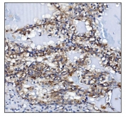
IHC staining of FFPE human breast cancer tissue with KCNQ2 antibody. HIER: boil tissue sections in pH8 EDTA for 20 min and allow to cool before testing.
Western blot testing of 1) human SH-SY5Y, 2) human HEK293, 3) rat brain, 4) rat brain, 5) rat C6, 6) mouse brain and 7) mouse brain lysate with KCNQ2 antibody. Predicted molecular weight ~96 kDa.
Flow cytometry testing of human 293T cells with KCNQ2 antibody at 1ug/million cells (blocked with goat sera); Red=cells alone, Green=isotype control, Blue= KCNQ2 antibody.
Flow cytometry testing of rat C6 cells with KCNQ2 antibody at 1ug/million cells (blocked with goat sera); Red=cells alone, Green=isotype control, Blue= KCNQ2 antibody.
Availability 1-3 business days
Species Reactivity Human, Mouse, Rat
Format Antigen affinity purified
Host Rabbit
Clonality Polyclonal (rabbit origin)
Isotype Rabbit IgG
Purity Affinity purified
Buffer Lyophilized from 1X PBS with 2% Trehalose
UniProt O43526
Localization Cell membrane, cytoplasm
Applications Western Blot : 1-2ug/ml
Immunohistochemistry (FFPE) : 2-5ug/ml
Flow Cytometry : 1-3ug/million cells
Direct ELISA : 0.1-0.5ug/ml
Limitations This KCNQ2 antibody is available for research use only.
Review this product on BioCompare and get a $20 Amazon gift card

Description

KCNQ2, also called kv7.2, is a potassium channel protein coded for by the gene KCNQ2. It is mapped to 20q13.33. The KCNQ2 gene encodes a voltage-gated potassium channel that is expressed in the brain. Expression of human KCNQ2 in Xenopus laevis oocytes led to potassium-selective currents that activated slowly with depolarization. Defects in this gene are a cause of benign familial neonatal convulsions type 1 (BFNC), also known as epilepsy, benign neonatal type 1(EBN1). At least five transcript variants encoding five different isoforms have been found for this gene.

Application Notes

Optimal dilution of the KCNQ2 antibody should be determined by the researcher.

Immunogen

An E. coli-derived human protein (amino acids M371-D408) was used as the immunogen for the KCNQ2 antibody.

Storage

After reconstitution, the KCNQ2 antibody can be stored for up to one month at 4oC. For long-term, aliquot and store at -20oC. Avoid repeated freezing and thawing.

Cross
Bulk Quote Request Form
Name*:
Organization*:
Email*:
Phone Number*:
Catalog No.*:
Comments and Specifics(amount, formulation, etc.)*:
Validation code: Captchapackage Image


Can't read the image? click here to refresh.
    *required field

Your bulk quote request has been submitted successfully!

Please contact us if you have any questions.