• Tel: 858.663.9055
  • SeparatorEmail: info@nsjbio.com
  • Tel: 858.663.9055
  • Email: info@nsjbio.com
Home >> Antibodies >> KCNJ2 Antibody / Kir2.1 / Inward rectifier potassium channel 2

KCNJ2 Antibody / Kir2.1 / Inward rectifier potassium channel 2 (F54901)

  Catalog No Formulation Size Price (USD)  
Image F54901-0.4ML In 1X PBS, pH 7.4, with 0.09% sodium azide 0.4 ml 439
Image
F54901-0.08ML In 1X PBS, pH 7.4, with 0.09% sodium azide 0.08 ml 205
Bulk quote request
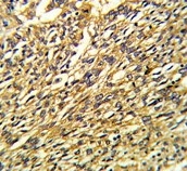
IHC testing of FFPE human lung carcinoma tissue with KCNJ2 antibody. HIER: steam section in pH6 citrate buffer for 20 min and allow to cool prior to staining.
Western blot testing of human brain lysate with KCNJ2 antibody. Predicted molecular weight ~48 kDa.
Flow cytometry testing of human NCI-H460 cells with KCNJ2 antibody; Blue=isotype control, Green= KCNJ2 antibody.
Availability 1-3 business days
Species Reactivity Human
Format Purified
Host Rabbit
Clonality Polyclonal (rabbit origin)
Isotype Rabbit Ig
Purity Antigen affinity purified
UniProt P63252
Applications Flow Cytometry : 1:25 (1x10e6 cells)
Immunohistochemistry (FFPE) : 1:25
Western Blot : 1:500-1:2000
Limitations This KCNJ2 antibody is available for research use only.
Review this product on BioCompare and get a $20 Amazon gift card

Description

Potassium channels are present in most mammalian cells, where they participate in a wide range of physiologic responses. This protein is an integral membrane protein and inward-rectifier type potassium channel. This protein, which has a greater tendency to allow potassium to flow into a cell rather than out of a cell, probably participates in establishing action potential waveform and excitability of neuronal and muscle tissues. Mutations in this gene have been associated with Andersen syndrome, which is racterized by periodic paralysis, cardiac arrhythmias, and dysmorphic features.

Application Notes

The stated application concentrations are suggested starting points. Titration of the KCNJ2 antibody may be required due to differences in protocols and secondary/substrate sensitivity.

Immunogen

A portion of amino acids 401-427 from the human protein was used as the immunogen for the KCNJ2 antibody.

Storage

Aliquot the KCNJ2 antibody and store frozen at -20oC or colder. Avoid repeated freeze-thaw cycles.

Cross
Bulk Quote Request Form
Name*:
Organization*:
Email*:
Phone Number*:
Catalog No.*:
Comments and Specifics(amount, formulation, etc.)*:
Validation code: Captchapackage Image


Can't read the image? click here to refresh.
    *required field

Your bulk quote request has been submitted successfully!

Please contact us if you have any questions.