• Tel: 858.663.9055
  • SeparatorEmail: info@nsjbio.com
  • Tel: 858.663.9055
  • Email: info@nsjbio.com
Home >> Antibodies >> KCNIP2 Antibody / KChIP2

KCNIP2 Antibody / KChIP2 [clone KCNIP2/7588] (V4120)

  Catalog No Formulation Size Price (USD)  
Image V4120-100UG 0.2 mg/ml in 1X PBS with 0.1 mg/ml BSA (US sourced), 0.05% sodium azide 100 ug 559
Image
V4120-20UG 0.2 mg/ml in 1X PBS with 0.1 mg/ml BSA (US sourced), 0.05% sodium azide 20 ug 259
Image
V4120SAF-100UG 1 mg/ml in 1X PBS; BSA free, sodium azide free 100 ug 559
Bulk quote request
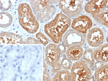
IHC staining of FFPE human kidney tissue with KCNIP2 antibody (clone KCNIP2/7588). Inset: PBS used in place of primary Ab (secondary Ab negative control). HIER: boil tissue sections in pH 9 10mM Tris with 1mM EDTA for 20 min and allow to cool before testing.
SDS-PAGE analysis of purified, BSA-free KCNIP2 antibody (clone KCNIP2/7588) as confirmation of integrity and purity.
Availability 1-3 business days
Species Reactivity Human
Format Purified
Host Mouse
Clonality Monoclonal (mouse origin)
Isotype Mouse IgG1, kappa
Clone Name KCNIP2/7588
Purity Protein A/G affinity
UniProt Q9NS61
Localization Cell membrane
Applications Immunohistochemistry (FFPE) : 1-2ug/ml for 30 minutes at RT
Limitations This KCNIP2 antibody is available for research use only.
Review this product on BioCompare and get a $20 Amazon gift card

Related Products

Description

In the brain and heart, rapidly inactivating (A-type) voltage-gated potassium (Kv) currents control the excitability of neurons and cardiac myocytes. KChIPs are Kv channel-interacting proteins that bind to the cytoplasmic amino termini of Kv4Alpha-subunits and are integral components of native Kv4 channel complexes. KChIP family members include KChIP1 expressed in brain, KChIP2 (KCNIP2) expressed in heart, brain, and lung, and KChIP3 (previously identified as calsenilin) expressed in brain and testis. In rat brain, KChIP1 colocalizes with Kv4.3 in granule cells and KChIP2 colocalizes with Kv4.2 in both neocoritcal and subcortical structures. The KChIPs are members of the recoverin/neuronal calcium sensor-1 subfamily of calcium-binding proteins and show 99% nucleotide homology to DREAM, suggesting that KChIPs may have activity beyond modulation of Kv4 channels.

Application Notes

Optimal dilution of the KCNIP2 antibody should be determined by the researcher.

Immunogen

A recombinant partial protein (within amino acids 1-270) from the human protein was used as the immunogen for the KCNIP2 antibody.

Storage

Aliquot the KCNIP2 antibody and store frozen at -20oC or colder. Avoid repeated freeze-thaw cycles.

Cross
Bulk Quote Request Form
Name*:
Organization*:
Email*:
Phone Number*:
Catalog No.*:
Comments and Specifics(amount, formulation, etc.)*:
Validation code: Captchapackage Image


Can't read the image? click here to refresh.
    *required field

Your bulk quote request has been submitted successfully!

Please contact us if you have any questions.