• Tel: 858.663.9055
  • SeparatorEmail: info@nsjbio.com
  • Tel: 858.663.9055
  • Email: info@nsjbio.com
Home >> Antibodies >> KCNA6 Antibody / Potassium voltage-gated channel subfamily A member 6

KCNA6 Antibody / Potassium voltage-gated channel subfamily A member 6 (FY12098)

  Catalog No Formulation Size Price (USD)  
Image FY12098 Adding 0.2 ml of distilled water will yield a concentration of 500 ug/ml 100 ug 449
Bulk quote request
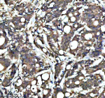
IHC analysis of KCNA6 using anti-KCNA6 antibody. KCNA6 was detected in a paraffin-embedded section of human liver cancer tissue. Heat mediated antigen retrieval was performed in EDTA buffer (pH 8.0, epitope retrieval solution). The tissue section was blocked with 10% goat serum. The tissue section was then incubated with 2 ug/ml rabbit anti-KCNA6 antibody overnight at 4oC. Peroxidase Conjugated Goat Anti-rabbit IgG was used as secondary antibody and incubated for 30 minutes at 37oC. The tissue section was developed using an HRP secondary and DAB substrate.
Western blot analysis of KCNA6 using anti-KCNA6 antibody. Electrophoresis was performed on a 10% SDS-PAGE gel at 80V (Stacking gel) / 120V (Resolving gel) for 2 hours. Lane 1: rat brain tissue lysates, Lane 2: mouse brain tissue lysates. After electrophoresis, proteins were transferred to a nitrocellulose membrane at 150 mA for 50-90 minutes. Blocked the membrane with 5% non-fat milk/TBS for 1.5 hour at RT. The membrane was incubated with rabbit anti-KCNA6 antibody at 0.5 ug/ml overnight at 4oC, then washed with TBS-0.1%Tween 3 times with 5 minutes each and probed with a goat anti-rabbit IgG-HRP secondary antibody at a dilution of 1:5000 for 1.5 hour at RT. The signal was developed using an ECL Plus Western Blotting Substrate. A specific band was detected for KCNA6 at approximately 59 kDa. The expected band size for KCNA6 is at 59 kDa.
IHC analysis of KCNA6 using anti-KCNA6 antibody. KCNA6 was detected in a paraffin-embedded section of human glioma tissue. Heat mediated antigen retrieval was performed in EDTA buffer (pH 8.0, epitope retrieval solution). The tissue section was blocked with 10% goat serum. The tissue section was then incubated with 2 ug/ml rabbit anti-KCNA6 antibody overnight at 4oC. Peroxidase Conjugated Goat Anti-rabbit IgG was used as secondary antibody and incubated for 30 minutes at 37oC. The tissue section was developed using an HRP secondary and DAB substrate.
IHC analysis of KCNA6 using anti-KCNA6 antibody. KCNA6 was detected in a paraffin-embedded section of human testis cancer tissue. Heat mediated antigen retrieval was performed in EDTA buffer (pH 8.0, epitope retrieval solution). The tissue section was blocked with 10% goat serum. The tissue section was then incubated with 2 ug/ml rabbit anti-KCNA6 antibody overnight at 4oC. Peroxidase Conjugated Goat Anti-rabbit IgG was used as secondary antibody and incubated for 30 minutes at 37oC. The tissue section was developed using an HRP secondary and DAB substrate.
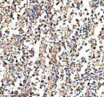
IHC analysis of KCNA6 using anti-KCNA6 antibody. KCNA6 was detected in a paraffin-embedded section of human renal cancer tissue. Heat mediated antigen retrieval was performed in EDTA buffer (pH 8.0, epitope retrieval solution). The tissue section was blocked with 10% goat serum. The tissue section was then incubated with 2 ug/ml rabbit anti-KCNA6 antibody overnight at 4oC. Peroxidase Conjugated Goat Anti-rabbit IgG was used as secondary antibody and incubated for 30 minutes at 37oC. The tissue section was developed using an HRP secondary and DAB substrate.
IHC analysis of KCNA6 using anti-KCNA6 antibody. KCNA6 was detected in a paraffin-embedded section of human colon cancer tissue. Heat mediated antigen retrieval was performed in EDTA buffer (pH 8.0, epitope retrieval solution). The tissue section was blocked with 10% goat serum. The tissue section was then incubated with 2 ug/ml rabbit anti-KCNA6 antibody overnight at 4oC. Peroxidase Conjugated Goat Anti-rabbit IgG was used as secondary antibody and incubated for 30 minutes at 37oC. The tissue section was developed using an HRP secondary and DAB substrate.
IHC analysis of KCNA6 using anti-KCNA6 antibody. KCNA6 was detected in a paraffin-embedded section of mouse brain tissue. Heat mediated antigen retrieval was performed in EDTA buffer (pH 8.0, epitope retrieval solution). The tissue section was blocked with 10% goat serum. The tissue section was then incubated with 2 ug/ml rabbit anti-KCNA6 antibody overnight at 4oC. Peroxidase Conjugated Goat Anti-rabbit IgG was used as secondary antibody and incubated for 30 minutes at 37oC. The tissue section was developed using an HRP secondary and DAB substrate.
IHC analysis of KCNA6 using anti-KCNA6 antibody. KCNA6 was detected in a paraffin-embedded section of rat brain tissue. Heat mediated antigen retrieval was performed in EDTA buffer (pH 8.0, epitope retrieval solution). The tissue section was blocked with 10% goat serum. The tissue section was then incubated with 2 ug/ml rabbit anti-KCNA6 antibody overnight at 4oC. Peroxidase Conjugated Goat Anti-rabbit IgG was used as secondary antibody and incubated for 30 minutes at 37oC. The tissue section was developed using an HRP secondary and DAB substrate.
Flow Cytometry analysis of HEL cells using anti-KCNA6 antibody. Overlay histogram showing HEL cells stained with (Blue line). The cells were fixed with 4% paraformaldehyde and blocked with 10% normal goat serum. And then incubated with rabbit anti-KCNA6 antibody (1 ug/million cells) for 30 min at 20oC. DyLight 488 conjugated goat anti-rabbit IgG (5-10 ug/million cells) was used as secondary antibody for 30 minutes at 20oC. Isotype control antibody (Green line) was rabbit IgG (1 ug/million cells) used under the same conditions. Unlabelled sample without incubation with primary antibody and secondary antibody (Red line) was used as a blank control.
Availability 1-2 days
Species Reactivity Human, Mouse, Rat
Format Lyophilized
Host Rabbit
Clonality Polyclonal (rabbit origin)
Isotype Rabbit IgG
Purity Immunogen affinity purified
Buffer Each vial contains 4 mg Trehalose, 0.9 mg NaCl, 0.2 mg Na2HPO4.
UniProt P17658
Applications Western Blot : 0.25-0.5ug/ml
Immunohistochemistry : 2-5ug/ml
Flow Cytometry : 1-3ug/million cells
Limitations This KCNA6 antibody is available for research use only.
Review this product on BioCompare and get a $20 Amazon gift card

Description

KCNA6 antibody detects Potassium voltage-gated channel subfamily A member 6, encoded by the KCNA6 gene. Potassium voltage-gated channel subfamily A member 6 is a transmembrane protein that forms part of the delayed rectifier type potassium channels responsible for repolarization of excitable membranes. KCNA6 antibody provides researchers with a specialized reagent for studying neuronal excitability, cardiac electrophysiology, and potassium channel regulation.

Potassium voltage-gated channel subfamily A member 6 belongs to the Shaker-related family of potassium channels. Research using KCNA6 antibody has shown that it contributes to outward potassium currents that shape the duration of action potentials in neurons and muscle. The channel contains six transmembrane segments and a voltage-sensing domain, allowing it to respond dynamically to changes in membrane potential.

Studies with KCNA6 antibody have revealed that the channel is expressed in brain, heart, and skeletal muscle, where it helps regulate excitability and electrical signaling. Its role in shaping action potentials makes it essential for synaptic transmission, muscle contraction, and rhythmic heart activity.

Dysregulation of Potassium voltage-gated channel subfamily A member 6 has been linked to neurological and cardiovascular disorders. Research using KCNA6 antibody has shown that altered expression may contribute to epilepsy, arrhythmia, and neuropathic pain. Because potassium channels influence neuronal firing thresholds and cardiac rhythm, even small changes in KCNA6 activity can have significant physiological effects.

Beyond disease associations, KCNA6 plays roles in developmental biology. Research using KCNA6 antibody has suggested contributions to neuronal differentiation, synaptic maturation, and circuit refinement. These functions underscore its importance in both physiology and pathology.

KCNA6 antibody is widely applied in patch-clamp electrophysiology studies, western blotting, and immunohistochemistry. Electrophysiology demonstrates functional channel currents, western blotting quantifies expression in tissues, and immunohistochemistry highlights localization in neurons and cardiac tissue. These applications make KCNA6 antibody indispensable in neurophysiology and cardiovascular research.

By providing validated KCNA6 antibody reagents, NSJ Bioreagents supports studies into excitability, channel physiology, and disease. Detection of Potassium voltage-gated channel subfamily A member 6 provides researchers with insight into how voltage-gated potassium channels regulate action potential duration and signaling.

Application Notes

Optimal dilution of the KCNA6 antibody should be determined by the researcher.

Immunogen

A synthetic peptide corresponding to a sequence at the C-terminus of human KCNA6 was used as the immunogen for the KCNA6 antibody.

Storage

After reconstitution, the KCNA6 antibody can be stored for up to one month at 4oC. For long-term, aliquot and store at -20oC. Avoid repeated freezing and thawing.

Cross
Bulk Quote Request Form
Name*:
Organization*:
Email*:
Phone Number*:
Catalog No.*:
Comments and Specifics(amount, formulation, etc.)*:
Validation code: Captchapackage Image


Can't read the image? click here to refresh.
    *required field

Your bulk quote request has been submitted successfully!

Please contact us if you have any questions.