• Tel: 858.663.9055
  • SeparatorEmail: info@nsjbio.com
  • Tel: 858.663.9055
  • Email: info@nsjbio.com
Home >> Antibodies >> Kallikrein 7 Antibody / KLK7

Kallikrein 7 Antibody / KLK7 [clone KLK7/4692] (V4650)

  Catalog No Formulation Size Price (USD)  
Image V4650-100UG 0.2 mg/ml in 1X PBS with 0.1 mg/ml BSA (US sourced), 0.05% sodium azide 100 ug 559
Image
V4650-20UG 0.2 mg/ml in 1X PBS with 0.1 mg/ml BSA (US sourced), 0.05% sodium azide 20 ug 259
Image
V4650SAF-100UG 1 mg/ml in 1X PBS; BSA free, sodium azide free 100 ug 559
Microvalidated
Bulk quote request
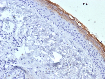
Kallikrein 7 Antibody immunohistochemistry analysis of KLK7 in human skin tissue using clone KLK7/4692. FFPE human skin tissue was stained with Kallikrein 7 antibody clone KLK7/4692 following heat induced epitope retrieval by boiling tissue sections in pH 9 Tris-EDTA buffer (10mM Tris, 1mM EDTA) for 20 minutes prior to cooling and staining. HRP-DAB brown chromogenic signal highlights strong staining along the outer epidermal layers near the stratum corneum, consistent with the known localization of Kallikrein 7 (KLK7), also known as stratum corneum chymotryptic enzyme, in differentiated keratinocytes involved in epidermal turnover and desquamation. Detection of KLK7 expression by immunohistochemistry supports studies of epidermal differentiation and keratinocyte biology using Kallikrein 7 Antibody / KLK7 (clone KLK7/4692).
SDS-PAGE analysis of purified, BSA-free Kallikrein 7 antibody (clone KLK7/4692) as confirmation of integrity and purity.
KLK7 Antibody protein microarray specificity analysis using Kallikrein 7 antibody clone KLK7/4692. A HuProt(TM) protein microarray containing more than 19,000 full-length human proteins was probed using KLK7 antibody clone KLK7/4692 followed by a fluorescently labeled anti-IgG secondary antibody to evaluate target specificity. Signal strength is represented by the Z-score, which reflects the number of standard deviations above the mean signal intensity across the entire array. Targets are ranked by descending Z-score to identify the strongest antibody-protein interactions. The S-score represents the difference in Z-scores between the top-ranked protein and the next highest signal, providing a measure of target specificity. In this analysis, KLK7 produced the highest Z-score and a strong S-score separation relative to other detected proteins, indicating highly specific binding of the antibody to Kallikrein 7 (KLK7). These results support the specificity of Kallikrein 7 Antibody / KLK7 (clone KLK7/4692) for detecting KLK7 in proteomic and immunodetection studies.
KLK7 Antibody for WB western blot analysis of Kallikrein 7 in human tissue lysates. Lane 1: human liver lysate, Lane 2: human skin lysate. Samples were resolved by SDS-PAGE and probed with Kallikrein 7 antibody clone KLK7/4692 followed by detection with an appropriate secondary antibody. A band is detected at approximately 28-30 kDa, consistent with the predicted molecular weight of Kallikrein 7 (KLK7), a secreted serine protease also known as stratum corneum chymotryptic enzyme that is primarily expressed in epidermal keratinocytes. The stronger signal observed in human skin lysate aligns with the known enrichment of KLK7 in epidermal tissue involved in skin barrier function and desquamation. Detection of KLK7 expression supports use of Kallikrein 7 Antibody / KLK7 (clone KLK7/4692) for western blot analysis of KLK7 protein in human tissue samples.
Availability 1-3 business days
Species Reactivity Human
Format Purified
Host Mouse
Clonality Monoclonal (mouse origin)
Isotype Mouse IgG2b, kappa
Clone Name KLK7/4692
Purity Protein A/G affinity
UniProt P49862
Localization Secreted
Applications Immunohistochemistry (FFPE) : 1-2ug/ml for 30 min at RT
Western Blot : 2-4ug/ml
Limitations This Kallikrein 7 antibody is available for research use only.
Review this product on BioCompare and get a $20 Amazon gift card

Related Products

Description

Kallikrein related peptidase 7 (KLK7) is a secreted serine protease belonging to the human kallikrein family of trypsin-like enzymes and plays a central role in epidermal homeostasis. KLK7 is highly expressed in differentiated keratinocytes of the epidermis and participates in the regulated degradation of corneodesmosomal proteins that maintain adhesion between corneocytes. Through this activity, KLK7 contributes to the physiological process of desquamation, enabling the controlled shedding of cells from the outermost layer of the skin. Kallikrein 7 Antibody / KLK7 clone KLK7/4692 recognizes this epidermal protease and enables detection of KLK7 expression in studies examining skin biology and epithelial differentiation.

KLK7 is also commonly referred to as stratum corneum chymotryptic enzyme (SCCE), reflecting its proteolytic activity within the outer layers of the epidermis. Expression of KLK7 is primarily localized to the upper epidermal layers where terminal differentiation of keratinocytes occurs. Proteolytic cleavage of structural proteins by KLK7 contributes to the separation of corneocytes and supports normal turnover of the stratum corneum. Antibodies targeting KLK7 therefore serve as useful tools for studying epidermal maturation, keratinocyte biology, and mechanisms governing skin barrier integrity.

Kallikrein 7 has been implicated in several dermatological conditions in which epidermal barrier function and protease regulation are disrupted. Altered KLK7 activity has been associated with inflammatory skin diseases and disorders characterized by abnormal desquamation. Because of its biological role in epidermal physiology, detection of KLK7 expression is valuable in research examining epidermal differentiation pathways and the molecular mechanisms underlying skin disease.

Kallikrein 7 Antibody / KLK7 clone KLK7/4692 is a mouse monoclonal antibody developed to recognize KLK7 in epithelial tissues and biological samples used in dermatological and epithelial research. Specificity of the antibody was evaluated using large scale protein microarray screening to assess potential off target binding across thousands of human proteins. This validation approach supports selective recognition of the KLK7 protein and helps confirm antibody specificity at the proteome level.

Detection of KLK7 using Kallikrein 7 Antibody / KLK7 (clone KLK7/4692) supports investigations of epidermal protease activity, keratinocyte maturation, and molecular regulation of desquamation. Analysis of KLK7 expression provides insight into skin barrier biology and epithelial tissue remodeling in both normal epidermis and dermatological disease models.

Application Notes

Optimal dilution of the Kallikrein 7 antibody should be determined by the researcher.

Immunogen

A recombinant fragment of human KLK7 protein (within amino acids 1-200) was used as the immunogen for the Kallikrein 7 antibody.

Storage

Aliquot the Kallikrein 7 antibody and store frozen at -20oC or colder. Avoid repeated freeze-thaw cycles.

Alternate Names

Stratum corneum chymotryptic enzyme antibody, SCCE antibody, Human kallikrein 7 antibody, PRSS6 antibody, Kallikrein related peptidase 7 antibody

Cross
Bulk Quote Request Form
Name*:
Organization*:
Email*:
Phone Number*:
Catalog No.*:
Comments and Specifics(amount, formulation, etc.)*:
Validation code: Captchapackage Image


Can't read the image? click here to refresh.
    *required field

Your bulk quote request has been submitted successfully!

Please contact us if you have any questions.