• Tel: 858.663.9055
  • SeparatorEmail: info@nsjbio.com
  • Tel: 858.663.9055
  • Email: info@nsjbio.com
Home >> Antibodies >> Kallikrein-2 Antibody

Kallikrein-2 Antibody (R30708)

  Catalog No Formulation Size Price (USD)  
Image R30708 0.5mg/ml if reconstituted with 0.2ml sterile DI water 100 ug 449
Bulk quote request
Western blot testing of Kallikrein-2 antibody and Lane 1: PANC; 2: HeLa; 3: 293T cell lysate. Predicted molecular weight: 17-29 kDa (multiple isoforms).
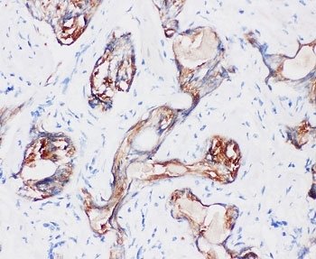
IHC-P: Kallikrein-2 antibody testing of human prostatic cancer tissue. HIER: boil tissue sections in pH8 EDTA for 20 min and allow to cool before testing.
Availability 1-3 business days
Species Reactivity Human
Format Antigen affinity purified
Host Rabbit
Clonality Polyclonal (rabbit origin)
Isotype Rabbit IgG
Purity Antigen affinity
Buffer Lyophilized from 1X PBS with 2.5% BSA and 0.025% sodium azide/thimerosal
UniProt P20151
Localization Cytoplasmic
Applications Western Blot : 0.5-1ug/ml
Immunohistochemistry (FFPE) : 2-5ug/ml
Limitations This Kallikrein-2 antibody is available for research use only.
Review this product on BioCompare and get a $20 Amazon gift card

Related Products

Description

Kallikrein-2, also called KLK2, is a protein that in humans is encoded by the KLK2 gene, and is particularly associated with prostatic tissue. It is a member of glandular kallikrein gene family that comprises 25 to 30 highly homologous genes that encode specific proteases involved in the processing of biologically active peptides. An alternative KLK2 transcript, call KLK2-linked molecule (KLM), arises from the use of an alternate donor site within intron one. KLM shares only the N-terminal 15-amino acid signal peptide with the original KLK2 protein; the mature proteins display no similarity.

Application Notes

The stated application concentrations are suggested starting amounts. Titration of the Kallikrein-2 antibody may be required due to differences in protocols and secondary/substrate sensitivity.

Immunogen

An amino acid sequence from the C-terminus of human Kallikrein-2 (243-261aa YTKVVHYRKWIKDTIAANP) was used as the immunogen for this Kallikrein-2 antibody.

Storage

After reconstitution, the Kallikrein-2 antibody can be stored for up to one month at 4oC. For long-term, aliquot and store at -20oC. Avoid repeated freezing and thawing.

Cross
Bulk Quote Request Form
Name*:
Organization*:
Email*:
Phone Number*:
Catalog No.*:
Comments and Specifics(amount, formulation, etc.)*:
Validation code: Captchapackage Image


Can't read the image? click here to refresh.
    *required field

Your bulk quote request has been submitted successfully!

Please contact us if you have any questions.