• Tel: 858.663.9055
  • SeparatorEmail: info@nsjbio.com
  • Tel: 858.663.9055
  • Email: info@nsjbio.com
Home >> Antibodies >> Josephin 2 Antibody / JOSD2

Josephin 2 Antibody / JOSD2 (RQ8573)

  Catalog No Formulation Size Price (USD)  
Image RQ8573 0.5mg/ml if reconstituted with 0.2ml sterile DI water 100 ug 449
Bulk quote request
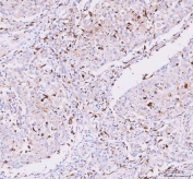
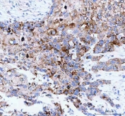
IHC staining of FFPE human thyroid papillary carcinoma tissue with Josephin 2 antibody. HIER: boil tissue sections in pH8 EDTA for 20 min and allow to cool before testing.
IHC staining of FFPE human esophageal squamous carcinoma tissue with Josephin 2 antibody. HIER: boil tissue sections in pH8 EDTA for 20 min and allow to cool before testing.
IHC staining of FFPE human lung cancer tissue with Josephin 2 antibody. HIER: boil tissue sections in pH8 EDTA for 20 min and allow to cool before testing.
Western blot testing of 1) human A549, 2) human PC-3, 3) human MCF7, 4) rat liver and 5) mouse liver tissue lysate with Josephin 2 antibody. Predicted molecular weight ~21 kDa.
Flow cytometry testing of fixed and permeabilized human HEL cells with Josephin 2 antibody at 1ug/million cells (blocked with goat sera); Red=cells alone, Green=isotype control, Blue= Josephin 2 antibody.
Availability 1-3 days
Species Reactivity Human, Mouse, Rat
Format Antigen affinity purified
Host Rabbit
Clonality Polyclonal (rabbit origin)
Isotype Rabbit IgG
Purity Antigen affinity purified
Buffer Lyophilized from 1X PBS with 2% Trehalose
UniProt Q8TAC2
Localization Cytoplasm
Applications Western Blot : 0.5-1ug/ml
Immunohistochemistry (FFPE) : 2-5ug/ml
Flow Cytometry : 1-3ug/million cells
ELISA : 0.1-0.5ug/ml
Limitations This Josephin 2 antibody is available for research use only.
Review this product on BioCompare and get a $20 Amazon gift card

Description

JOSD2 (Josephin-2) is a member of the Machado-Joseph Domain (MJD) deubiquitinating enzyme family. Other family members include: Ataxin-3, Ataxin-3L, and JOSD1. JOSD2 preferentially cleaves K63-linked ubiquitin chains, with much weaker activity toward K48-linked ubiquitin chains in vitro.

Application Notes

Optimal dilution of the Josephin 2 antibody should be determined by the researcher.

Immunogen

An E.coli-derived human recombinant protein (amino acids M1-D188) was used as the immunogen for the Josephin 2 antibody.

Storage

After reconstitution, the Josephin 2 antibody can be stored for up to one month at 4oC. For long-term, aliquot and store at -20oC. Avoid repeated freezing and thawing.

Cross
Bulk Quote Request Form
Name*:
Organization*:
Email*:
Phone Number*:
Catalog No.*:
Comments and Specifics(amount, formulation, etc.)*:
Validation code: Captchapackage Image


Can't read the image? click here to refresh.
    *required field

Your bulk quote request has been submitted successfully!

Please contact us if you have any questions.