• Tel: 858.663.9055
  • SeparatorEmail: info@nsjbio.com
  • Tel: 858.663.9055
  • Email: info@nsjbio.com
Home >> Antibodies >> JIK Antibody

JIK Antibody (R33245)

  Catalog No Formulation Size Price (USD)  
Image R33245-100UG 0.5 mg/ml in 1X TBS, pH7.3, with 0.5% BSA (US sourced) and 0.02% sodium azide 100 ug 475
Bulk quote request
Western blot testing of human liver lysate with JIK antibody at 0.1ug/ml. Predicted molecular weight: ~105kDa.
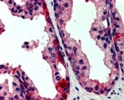
IHC staining of FFPE human prostate with JIK antibody at 2.5ug/ml. HIER: steamed with pH6 citrate buffer, AP-staining.
Availability 1-3 business days
Species Reactivity Human
Predicted Reactivity Cow, Dog, Mouse, Rat
Format Antigen affinity purified
Host Goat
Clonality Polyclonal (goat origin)
Isotype Goat Ig
Purity Antigen affinity
Gene ID 51347
Applications Western Blot : 0.3-1.0 ug/ml
Immunohistochemistry (FFPE) : 2-3ug/ml
ELISA (peptide) LOD : 1:32000
Limitations This JIK antibody is available for research use only.
Review this product on BioCompare and get a $20 Amazon gift card

Description

Additional name(s) for this target protein: JNK/SAPK-inhibitory kinase; TAOK3

Application Notes

Optimal dilution of the JIK antibody should be determined by the researcher.

Immunogen

Amino acids CHKKDHVFIRDEAGHGD were used as the immunogen for this JIK antibody.

Storage

Aliquot and store the JIK antibody at -20oC.

Cross
Bulk Quote Request Form
Name*:
Organization*:
Email*:
Phone Number*:
Catalog No.*:
Comments and Specifics(amount, formulation, etc.)*:
Validation code: Captchapackage Image


Can't read the image? click here to refresh.
    *required field

Your bulk quote request has been submitted successfully!

Please contact us if you have any questions.