• Tel: 858.663.9055
  • SeparatorEmail: info@nsjbio.com
  • Tel: 858.663.9055
  • Email: info@nsjbio.com
Home >> Antibodies >> JHDM1D Antibody / KDM7A

JHDM1D Antibody / KDM7A (F54415)

  Catalog No Formulation Size Price (USD)  
Image F54415-0.4ML In 1X PBS, pH 7.4, with 0.09% sodium azide 0.4 ml 439
Image
F54415-0.08ML In 1X PBS, pH 7.4, with 0.09% sodium azide 0.08 ml 205
Bulk quote request
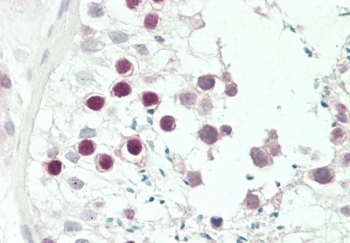
IHC testing of FFPE human testis tissue with JHDM1D antibody. HIER: steam section in pH6 citrate buffer for 20 min and allow to cool prior to staining.
Western blot testing of human HEK293 cell lysate with JHDM1D antibody.
Flow cytometry testing of fixed and permeabilized human HEK293 cells with JHDM1D antibody; Blue=isotype control, Green= JHDM1D antibody.
Availability 1-3 business days
Species Reactivity Human
Format Purified
Host Rabbit
Clonality Polyclonal (rabbit origin)
Isotype Rabbit Ig
Purity Antigen affinity purified
UniProt Q6ZMT4
Localization Nuclear
Applications Flow Cytometry : 1:25 (1x10e6 cells)
Immunohistochemistry (FFPE) : 1:25
Western Blot : 1:500-1:2000
Limitations This JHDM1D antibody is available for research use only.
Review this product on BioCompare and get a $20 Amazon gift card

Description

JHDM1D histone demethylase that specifically demethylates dimethylated 'Lys-9' and 'Lys-27' (H3K9me2 and H3K27me2, respectively) of histone H3, thereby playing a central role in histone code. This specifically binds trimethylated 'Lys-4' of histone H3 (H3K4me3), affecting histone demethylase specificity: in presence of H3K4me3, it has no demethylase activity toward H3K9me2, while it has high activity toward H3K27me2. This demethylates H3K9me2 in absence of H3K4me3.

Application Notes

The stated application concentrations are suggested starting points. Titration of the JHDM1D antibody may be required due to differences in protocols and secondary/substrate sensitivity.

Immunogen

A portion of amino acids 290-316 from the human protein was used as the immunogen for the JHDM1D antibody.

Storage

Aliquot the JHDM1D antibody and store frozen at -20oC or colder. Avoid repeated freeze-thaw cycles.

Cross
Bulk Quote Request Form
Name*:
Organization*:
Email*:
Phone Number*:
Catalog No.*:
Comments and Specifics(amount, formulation, etc.)*:
Validation code: Captchapackage Image


Can't read the image? click here to refresh.
    *required field

Your bulk quote request has been submitted successfully!

Please contact us if you have any questions.