• Tel: 858.663.9055
  • SeparatorEmail: info@nsjbio.com
  • Tel: 858.663.9055
  • Email: info@nsjbio.com
Home >> Antibodies >> J Chain Antibody / Plasma Cell and Secretory Immunoglobulin Marker Antibody

J Chain Antibody / Plasma Cell and Secretory Immunoglobulin Marker Antibody (RQ8487)

  Catalog No Formulation Size Price (USD)  
Image RQ8487 0.5mg/ml if reconstituted with 0.2ml sterile DI water 100 ug 449
Bulk quote request
J Chain Antibody U-2 OS IF. Immunofluorescence analysis of FFPE human U-2 OS cells using J Chain antibody (green) shows diffuse cytoplasmic staining consistent with intracellular localization of JCHAIN / IGJ, a secretory immunoglobulin-associated protein involved in polymeric antibody assembly, while nuclei are counterstained with DAPI (blue). HIER: steam sections in pH6 citrate buffer for 20 min.
J Chain Antibody Liver Cancer IHC. Immunohistochemistry of FFPE human liver carcinoma tissue using J Chain antibody demonstrates granular HRP-DAB brown cytoplasmic staining in scattered tumor-associated and immune-associated cell populations, consistent with JCHAIN / IGJ expression linked to secretory immunoglobulin production and plasma cell-associated immune activity. HIER: boil tissue sections in pH8 EDTA for 20 min and allow to cool before testing.
J Chain Antibody Thyroid Cancer IHC. Immunohistochemistry of FFPE human thyroid carcinoma tissue using J Chain antibody shows focal HRP-DAB brown cytoplasmic staining in scattered immune-associated cell populations within the tumor microenvironment, consistent with JCHAIN / IGJ expression in plasma cell-associated secretory immunoglobulin-producing cells. HIER: boil tissue sections in pH8 EDTA for 20 min and allow to cool before testing.
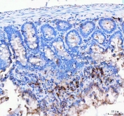
J Chain Antibody Rat Colon IHC. Immunohistochemistry of FFPE rat colon tissue using J Chain antibody demonstrates focal HRP-DAB brown cytoplasmic staining in scattered lamina propria immune cells and mucosal-associated plasma cell populations, consistent with JCHAIN / IGJ expression involved in secretory immunoglobulin production and mucosal immune defense. HIER: boil tissue sections in pH8 EDTA for 20 min and allow to cool before testing.
J Chain Antibody Rodent Immune Tissue WB. Western blot analysis of 1) rat small intestine and 2) mouse spleen tissue lysates using J Chain antibody detects bands at approximately 18-22 kDa, consistent with the predicted molecular weight of JCHAIN / IGJ, a secretory immunoglobulin-associated protein involved in polymeric IgA and IgM assembly. Apparent molecular weight may vary due to glycosylation and secretory immunoglobulin-associated processing.
J Chain Antibody A431 FACS. Flow cytometry analysis of fixed and permeabilized human A431 cells using J Chain antibody demonstrates a rightward shift in fluorescence intensity compared to the isotype control, consistent with intracellular detection of JCHAIN / IGJ, a secretory immunoglobulin-associated protein involved in plasma cell biology and polymeric antibody assembly; red histogram represents cells alone, green histogram represents isotype control, and blue histogram represents J Chain antibody staining.
Availability 1-3 days
Species Reactivity Human, Mouse, Rat
Format Antigen affinity purified
Host Rabbit
Clonality Polyclonal (rabbit origin)
Isotype Rabbit IgG
Purity Antigen affinity purified
Buffer Lyophilized from 1X PBS with 2% Trehalose
UniProt P01591
Applications Western Blot : 0.5-1ug/ml
Immunohistochemistry (FFPE) : 2-5ug/ml
Immunofluorescence : 5ug/ml
Flow Cytometry : 1-3ug/million cells
ELISA : 0.1-0.5ug/ml
Limitations This J Chain Antibody / Plasma Cell and Secretory Immunoglobulin Marker Antibody is available for research use only.
Review this product on BioCompare and get a $20 Amazon gift card

Related Products

Description

J Chain, encoded by the JCHAIN (IGJ) gene, is a small immunoglobulin-associated polypeptide required for assembly and secretion of polymeric IgA and pentameric IgM antibodies. J Chain functions as a linking component that promotes immunoglobulin multimerization and facilitates transport of secretory antibodies across mucosal epithelial barriers through interaction with the polymeric immunoglobulin receptor. This role makes J Chain an important component of mucosal immunity and antibody-mediated immune defense.

J Chain antibody, also referred to as JCHAIN antibody, IGJ antibody, and Immunoglobulin J chain antibody in the literature, recognizes a protein expressed predominantly in plasma cells and antibody-secreting B lineage cells. J Chain expression is closely associated with mature plasma cell differentiation and active immunoglobulin secretion, particularly in mucosal-associated lymphoid tissues and secretory immune environments. Because of this restricted expression pattern, J Chain serves as a valuable marker for identifying plasma cell populations and secretory immunoglobulin-producing cells.

This J Chain Antibody / Plasma Cell and Secretory Immunoglobulin Marker Antibody is uniquely positioned for studies of plasma cell biology, mucosal immunity, and immunoglobulin secretion pathways. J Chain expression is commonly observed in plasma cell-rich tissues including tonsil, spleen, bone marrow, and mucosal lymphoid compartments. In tissue-based analyses, J Chain-positive cells typically display cytoplasmic staining consistent with active immunoglobulin synthesis and secretory antibody assembly.

J Chain-mediated polymerization of IgA and IgM is essential for formation of secretory antibodies involved in mucosal immune protection. Through interaction with the polymeric immunoglobulin receptor, J Chain-containing immunoglobulins can be transported across epithelial surfaces into secretions such as saliva, intestinal fluid, and respiratory mucosa. This pathway supports immune defense against pathogens at mucosal interfaces and contributes to maintenance of immune homeostasis within barrier tissues.

Expression of JCHAIN has also been investigated in plasma cell neoplasms, lymphoid malignancies, and immune-associated inflammatory conditions where altered antibody secretion or plasma cell differentiation occurs. Because J Chain expression is tightly linked to secretory immunoglobulin production, it serves as a useful marker for evaluating plasma cell maturation and antibody-producing immune cell populations.

A J Chain antibody is suitable for detecting JCHAIN / IGJ expression in studies of plasma cell biology, mucosal immunity, secretory IgA and IgM assembly, and immunoglobulin-producing immune cell populations.

For broader exploration of antibody-producing immune cell markers and secretory immunoglobulin biology, visit our Immunoglobulin Antibodies page.

Application Notes

Optimal dilution of the J Chain Antibody / Plasma Cell and Secretory Immunoglobulin Marker Antibody should be determined by the researcher.

Immunogen

An E.coli-derived human recombinant protein (amino acids Q23-D159) was used as the immunogen for the JCHAIN / J Chain antibody.

Storage

After reconstitution, the JCHAIN / J Chain antibody can be stored for up to one month at 4oC. For long-term, aliquot and store at -20oC. Avoid repeated freezing and thawing.

Alternate Names

J Chain antibody, JCHAIN antibody, IGJ antibody, Immunoglobulin J chain antibody, Joining chain antibody

Cross
Bulk Quote Request Form
Name*:
Organization*:
Email*:
Phone Number*:
Catalog No.*:
Comments and Specifics(amount, formulation, etc.)*:
Validation code: Captchapackage Image


Can't read the image? click here to refresh.
    *required field

Your bulk quote request has been submitted successfully!

Please contact us if you have any questions.