• Tel: 858.663.9055
  • SeparatorEmail: info@nsjbio.com
  • Tel: 858.663.9055
  • Email: info@nsjbio.com
Home >> Antibodies >> IVNS1ABP Antibody / Influenza virus NS1A-binding protein

IVNS1ABP Antibody / Influenza virus NS1A-binding protein (FY12468)

  Catalog No Formulation Size Price (USD)  
Image FY12468 Adding 0.2 ml of distilled water will yield a concentration of 500 ug/ml 100 ug 449
Bulk quote request
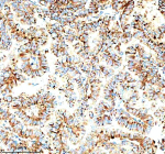
Immunohistochemical staining of IVNS1ABP using anti-IVNS1ABP antibody. IVNS1ABP was detected in a paraffin-embedded section of human ovarian cancer tissue. Heat mediated antigen retrieval was performed in EDTA buffer (pH 8.0, epitope retrieval solution). The tissue section was blocked with 10% goat serum. The tissue section was then incubated with 2 ug/ml rabbit anti-IVNS1ABP antibody overnight at 4oC. Peroxidase Conjugated Goat Anti-rabbit IgG was used as secondary antibody and incubated for 30 minutes at 37oC. The tissue section was developed using an HRP secondary and DAB substrate.
Western blot analysis of IVNS1ABP using anti-IVNS1ABP antibody. Electrophoresis was performed on a 10% SDS-PAGE gel at 80V (Stacking gel) / 120V (Resolving gel) for 2 hours. Lane 1: human SH-SY5Y whole cell lysates, Lane 2: human U251 whole cell lysates, Lane 3: human Hela whole cell lysates, Lane 4: rat kidney tissue lysates, Lane 5: rat brain tissue lysates, Lane 6: mouse kidney tissue lysates, Lane 7: mouse brain tissue lysates. After electrophoresis, proteins were transferred to a nitrocellulose membrane at 150 mA for 50-90 minutes. Blocked the membrane with 5% non-fat milk/TBS for 1.5 hour at RT. The membrane was incubated with rabbit anti-IVNS1ABP antibody at 0.5 ug/ml overnight at 4oC, then washed with TBS-0.1%Tween 3 times with 5 minutes each and probed with a goat anti-rabbit IgG-HRP secondary antibody at a dilution of 1:5000 for 1.5 hour at RT. The signal was developed using an ECL Plus Western Blotting Substrate. The expected molecular weight of IVNS1ABP is ~72 kDa.
Immunohistochemical staining of IVNS1ABP using anti-IVNS1ABP antibody. IVNS1ABP was detected in a paraffin-embedded section of human glioma tissue. Heat mediated antigen retrieval was performed in EDTA buffer (pH 8.0, epitope retrieval solution). The tissue section was blocked with 10% goat serum. The tissue section was then incubated with 2 ug/ml rabbit anti-IVNS1ABP antibody overnight at 4oC. Peroxidase Conjugated Goat Anti-rabbit IgG was used as secondary antibody and incubated for 30 minutes at 37oC. The tissue section was developed using an HRP secondary and DAB substrate.
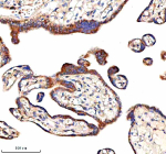
Immunohistochemical staining of IVNS1ABP using anti-IVNS1ABP antibody. IVNS1ABP was detected in a paraffin-embedded section of human placenta tissue. Heat mediated antigen retrieval was performed in EDTA buffer (pH 8.0, epitope retrieval solution). The tissue section was blocked with 10% goat serum. The tissue section was then incubated with 2 ug/ml rabbit anti-IVNS1ABP antibody overnight at 4oC. Peroxidase Conjugated Goat Anti-rabbit IgG was used as secondary antibody and incubated for 30 minutes at 37oC. The tissue section was developed using an HRP secondary and DAB substrate.
Immunohistochemical staining of IVNS1ABP using anti-IVNS1ABP antibody. IVNS1ABP was detected in a paraffin-embedded section of human lymphoma tissue. Heat mediated antigen retrieval was performed in EDTA buffer (pH 8.0, epitope retrieval solution). The tissue section was blocked with 10% goat serum. The tissue section was then incubated with 2 ug/ml rabbit anti-IVNS1ABP antibody overnight at 4oC. Peroxidase Conjugated Goat Anti-rabbit IgG was used as secondary antibody and incubated for 30 minutes at 37oC. The tissue section was developed using an HRP secondary and DAB substrate.
Immunohistochemical staining of IVNS1ABP using anti-IVNS1ABP antibody. IVNS1ABP was detected in a paraffin-embedded section of human thyroid cancer tissue. Heat mediated antigen retrieval was performed in EDTA buffer (pH 8.0, epitope retrieval solution). The tissue section was blocked with 10% goat serum. The tissue section was then incubated with 2 ug/ml rabbit anti-IVNS1ABP antibody overnight at 4oC. Peroxidase Conjugated Goat Anti-rabbit IgG was used as secondary antibody and incubated for 30 minutes at 37oC. The tissue section was developed using an HRP secondary and DAB substrate.
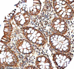
Immunohistochemical staining of IVNS1ABP using anti-IVNS1ABP antibody. IVNS1ABP was detected in a paraffin-embedded section of human colon tissue. Heat mediated antigen retrieval was performed in EDTA buffer (pH 8.0, epitope retrieval solution). The tissue section was blocked with 10% goat serum. The tissue section was then incubated with 2 ug/ml rabbit anti-IVNS1ABP antibody overnight at 4oC. Peroxidase Conjugated Goat Anti-rabbit IgG was used as secondary antibody and incubated for 30 minutes at 37oC. The tissue section was developed using an HRP secondary and DAB substrate.
Immunohistochemical staining of IVNS1ABP using anti-IVNS1ABP antibody. IVNS1ABP was detected in a paraffin-embedded section of human colon cancer tissue. Heat mediated antigen retrieval was performed in EDTA buffer (pH 8.0, epitope retrieval solution). The tissue section was blocked with 10% goat serum. The tissue section was then incubated with 2 ug/ml rabbit anti-IVNS1ABP antibody overnight at 4oC. Peroxidase Conjugated Goat Anti-rabbit IgG was used as secondary antibody and incubated for 30 minutes at 37oC. The tissue section was developed using an HRP secondary and DAB substrate.
Immunofluorescent staining of IVNS1ABP using anti-IVNS1ABP antibody (red). IVNS1ABP was detected in a paraffin-embedded section of human colon cancer tissue. Heat mediated antigen retrieval was performed in EDTA buffer (pH 8.0, epitope retrieval solution). The tissue section was blocked with 10% goat serum. The tissue section was then incubated with 5 ug/ml rabbit anti-IVNS1ABP antibody overnight at 4oC. Biotin conjugated goat anti-rabbit IgG was used as secondary antibody and incubated for 30 minutes at 37oC. The tissue section was developed using Cy3-conjugated Anti-rabbit IgG Secondary antibody (red). The section was counterstained with DAPI nuclear stain (blue). Visualize using a fluorescence microscope and filter sets appropriate for the label used.
Immunofluorescent staining of IVNS1ABP using anti-IVNS1ABP antibody (red). IVNS1ABP was detected in an immunocytochemical section of cells. Enzyme antigen retrieval was performed using IHC enzyme antigen retrieval reagent for 15 mins. The cells were blocked with 10% goat serum. And then incubated with 5 ug/ml rabbit anti-IVNS1ABP antibody overnight at 4oC. Cy3-conjugated Anti-rabbit IgG Secondary antibody (red) was used as secondary antibody at 1:500 dilution and incubated for 30 minutes at 37oC. The section was counterstained with DAPI nuclear stain (blue). Visualize using a fluorescence microscope and filter sets appropriate for the label used.
Flow cytometry analysis of fixed and permeabilized human HeLa cells with IVNS1ABP antibody at 1ug/million cells (blocked with goat sera); Red=cells alone, Green=isotype control, Blue= IVNS1ABP antibody.
Availability 1-2 days
Species Reactivity Human, Mouse, Rat
Format Lyophilized
Host Rabbit
Clonality Polyclonal (rabbit origin)
Isotype Rabbit IgG
Purity Immunogen affinity purified
Buffer Each vial contains 4 mg Trehalose, 0.9 mg NaCl, 0.2 mg Na2HPO4.
UniProt Q9Y6Y0
Localization Cytoplasmic, Nuclear
Applications Western Blot : 0.25-0.5ug/ml
Immunohistochemistry : 2-5ug/ml
Immunofluorescence : 5ug/ml
Immunocytochemistry/Immunofluorescence : 5ug/ml
Flow Cytometry : 1-3ug/million cells
ELISA : 0.1-0.5ug/ml
Limitations This IVNS1ABP antibody is available for research use only.
Review this product on BioCompare and get a $20 Amazon gift card

Description

IVNS1ABP antibody detects Influenza virus NS1A-binding protein, a multifunctional nuclear protein involved in RNA processing, chromatin remodeling, and stress responses. IVNS1ABP interacts with the influenza virus NS1A protein, modulating viral replication, but also has critical host cellular functions in normal physiology. It associates with transcriptional and splicing machinery, influences ribonucleoprotein complex assembly, and regulates cell growth and differentiation. The IVNS1ABP antibody is widely employed in studies of host-virus interactions, RNA metabolism, and nuclear architecture.

IVNS1ABP is encoded by the IVNS1ABP gene on human chromosome 1p13.3 and produces a protein of approximately 72 kDa. The protein contains multiple WD40 repeats that mediate protein-protein interactions and a nuclear localization signal that directs it to nucleoplasmic and speckle regions. IVNS1ABP interacts with heterogeneous nuclear ribonucleoproteins (hnRNPs), transcriptional regulators, and chromatin remodelers such as BRG1. Its diverse set of interactions positions it as a hub protein coordinating mRNA maturation and transport.

Research using the IVNS1ABP antibody shows that it contributes to the regulation of pre-mRNA splicing, ribosome biogenesis, and stress granule dynamics. Upon viral infection, IVNS1ABP binds to influenza NS1A protein, enhancing viral mRNA processing and nuclear export. However, under normal conditions, it supports cell survival and proliferation through stabilization of specific RNA-protein complexes. Western blot analysis typically identifies a band near 90 kDa, while immunofluorescence reveals nuclear and nucleolar staining. Loss of IVNS1ABP disrupts splicing patterns and increases sensitivity to stress-induced apoptosis.

Beyond viral interactions, IVNS1ABP is linked to cell differentiation and cytoskeletal organization. It modulates actin dynamics by interacting with profilin and other actin-binding proteins, connecting nuclear signaling with cytoplasmic architecture. Dysregulation of IVNS1ABP has been implicated in developmental disorders and certain cancers. NSJ Bioreagents provides a validated IVNS1ABP antibody optimized for western blot, immunofluorescence, and co-immunoprecipitation applications. This reagent enables researchers to explore RNA processing, host-pathogen interactions, and transcriptional control mediated by this multifunctional nuclear protein.

Application Notes

Optimal dilution of the IVNS1ABP antibody should be determined by the researcher.

Immunogen

E.coli-derived human IVNS1ABP recombinant protein (Position: Q30-D580) was used as the immunogen for the IVNS1ABP antibody.

Storage

After reconstitution, the IVNS1ABP antibody can be stored for up to one month at 4oC. For long-term, aliquot and store at -20oC. Avoid repeated freezing and thawing.

Cross
Bulk Quote Request Form
Name*:
Organization*:
Email*:
Phone Number*:
Catalog No.*:
Comments and Specifics(amount, formulation, etc.)*:
Validation code: Captchapackage Image


Can't read the image? click here to refresh.
    *required field

Your bulk quote request has been submitted successfully!

Please contact us if you have any questions.