• Tel: 858.663.9055
  • SeparatorEmail: info@nsjbio.com
  • Tel: 858.663.9055
  • Email: info@nsjbio.com
Home >> Antibodies >> ITPKC Antibody / Inositol-trisphosphate 3-kinase C

ITPKC Antibody / Inositol-trisphosphate 3-kinase C (FY12625)

  Catalog No Formulation Size Price (USD)  
Image FY12625 Adding 0.2 ml of distilled water will yield a concentration of 500 ug/ml 100 ug 449
Bulk quote request
Flow Cytometry analysis of Caco-2 cells using anti-ITPKC antibody. Overlay histogram showing Caco-2 cells stained with (Blue line). To facilitate intracellular staining, cells were fixed with 4% paraformaldehyde and permeabilized with permeabilization buffer. The cells were blocked with 10% normal goat serum. And then incubated with rabbit anti-ITPKC antibody (1 ug/million cells) for 30 min at 20oC. DyLight 488 conjugated goat anti-rabbit IgG (5-10 ug/million cells) was used as secondary antibody for 30 minutes at 20oC. Isotype control antibody (Green line) was rabbit IgG (1 ug/million cells) used under the same conditions. Unlabelled sample without incubation with primary antibody and secondary antibody (Red line) was used as a blank control.
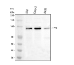
Western blot analysis of ITPKC using anti-ITPKC antibody. Lane 1: human RT4 whole cell lysates, Lane 2: human Caco-2 whole cell lysates, Lane 3: human whole cell lysates. After electrophoresis, proteins were transferred to a nitrocellulose membrane at 150 mA for 50-90 minutes. Blocked the membrane with 5% non-fat milk/TBS for 1.5 hour at RT. The membrane was incubated with rabbit anti-ITPKC antibody at 0.5 ug/ml overnight at 4oC, then washed with TBS-0.1%Tween 3 times with 5 minutes each and probed with a goat anti-rabbit IgG-HRP secondary antibody at a dilution of 1:5000 for 1.5 hour at RT. Western blot probed with anti-ITPKC shows a dominant band at ~90 kDa, higher than the predicted ~75 kDa, consistent with phosphorylated forms of ITPKC. A faint band near 100 kDa likely represents a hyperphosphorylated or sumoylated variant of the kinase.
Availability 1-2 days
Species Reactivity Human
Format Lyophilized
Host Rabbit
Clonality Polyclonal (rabbit origin)
Isotype Rabbit IgG
Purity Immunogen affinity purified
Buffer Each vial contains 4 mg Trehalose, 0.9 mg NaCl, 0.2 mg Na2HPO4.
UniProt Q96DU7
Applications ELISA : 0.1-0.5ug/ml
Flow Cytometry : 1-3ug/million cells
Western Blot : 0.25-0.5ug/ml
Limitations This ITPKC antibody is available for research use only.
Review this product on BioCompare and get a $20 Amazon gift card

Description

ITPKC antibody detects Inositol-trisphosphate 3-kinase C, a signaling enzyme that phosphorylates inositol 1,4,5-trisphosphate (IP3) to generate inositol 1,3,4,5-tetrakisphosphate (IP4). ITPKC serves as a critical regulator of intracellular calcium signaling, immune activation, and vascular inflammation. The ITPKC antibody is widely used in immunology, signal transduction, and cardiovascular research to study calcium homeostasis and immune cell regulation.

ITPKC is encoded by the ITPKC gene located on human chromosome 19q13.2. The protein is approximately 461 amino acids long and localizes to the cytoplasm, where it modulates calcium flux by regulating IP3 metabolism. Through phosphorylation of IP3, ITPKC reduces calcium release from the endoplasmic reticulum, thereby attenuating NFAT activation and T-cell proliferation.

The ITPKC antibody detects a 52 kilodalton band by western blot and exhibits diffuse cytoplasmic staining under fluorescence microscopy. ITPKC plays a pivotal role in immune regulation, particularly in T-cell receptor signaling. Genetic variants of ITPKC are associated with Kawasaki disease, an inflammatory vascular disorder, due to dysregulated calcium-dependent immune activation.

Beyond immunity, ITPKC influences endothelial barrier function and smooth muscle contraction, linking it to cardiovascular homeostasis. It also interacts with other kinases and phosphatases in the phosphoinositide signaling pathway, integrating metabolic and signaling cues. In cancer cells, ITPKC expression affects proliferation and angiogenesis by controlling intracellular calcium oscillations.

Because of its dual role in immune and vascular signaling, ITPKC is a key enzyme at the crossroads of inflammation and calcium dynamics. NSJ Bioreagents provides a validated ITPKC antibody optimized for its applications, supporting research into immune regulation, vascular biology, and phosphoinositide metabolism.

Application Notes

Optimal dilution of the ITPKC antibody should be determined by the researcher.

Immunogen

E.coli-derived human ITPKC recombinant protein (Position: D292-E607) was used as the immunogen for the ITPKC antibody.

Storage

After reconstitution, the ITPKC antibody can be stored for up to one month at 4oC. For long-term, aliquot and store at -20oC. Avoid repeated freezing and thawing.

Cross
Bulk Quote Request Form
Name*:
Organization*:
Email*:
Phone Number*:
Catalog No.*:
Comments and Specifics(amount, formulation, etc.)*:
Validation code: Captchapackage Image


Can't read the image? click here to refresh.
    *required field

Your bulk quote request has been submitted successfully!

Please contact us if you have any questions.