• Tel: 858.663.9055
  • SeparatorEmail: info@nsjbio.com
  • Tel: 858.663.9055
  • Email: info@nsjbio.com
Home >> Antibodies >> ITPK1 Antibody / Inositol-tetrakisphosphate 1-kinase

ITPK1 Antibody / Inositol-tetrakisphosphate 1-kinase (RQ8662)

  Catalog No Formulation Size Price (USD)  
Image RQ8662 0.5mg/ml if reconstituted with 0.2ml sterile DI water 100 ug 449
Bulk quote request
Flow cytometry testing of fixed and permeabilized human MCF-7 cells with ITPK1 antibody at 1ug/million cells (blocked with goat sera); Red=cells alone, Green=isotype control, Blue= ITPK1 antibody.
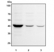
Western blot testing of human 1) MCF7, 2) 293T and 3) U-251 cell lysate with ITPK1 antibody. Predicted molecular weight ~46 kDa.
Availability 1-3 days
Species Reactivity Human
Format Antigen affinity purified
Host Rabbit
Clonality Polyclonal (rabbit origin)
Isotype Rabbit IgG
Purity Antigen affinity chromatography
Buffer Lyophilized from 1X PBS with 2% Trehalose
UniProt Q13572
Applications Western Blot : 1-2ug/ml
Flow Cytometry : 1-3ug/million cells
ELISA : 0.1-0.5ug/ml
Limitations This ITPK1 antibody is available for research use only.
Review this product on BioCompare and get a $20 Amazon gift card

Related Products

Description

Inositol-tetrakisphosphate 1-kinase is an enzyme that in humans is encoded by the ITPK1 gene. This gene encodes an enzyme that belongs to the inositol 1,3,4-trisphosphate 5/6-kinase family. This enzyme regulates the synthesis of inositol tetraphosphate, and downstream products, inositol pentakisphosphate and inositol hexakisphosphate. Inositol metabolism plays a role in the development of the neural tube. Disruptions in this gene are thought to be associated with neural tube defects. A pseudogene of this gene has been identified on chromosome X.

Application Notes

Optimal dilution of the ITPK1 antibody should be determined by the researcher.

Immunogen

An E.coli-derived human recombinant protein (amino acids Q25-Q414) was used as the immunogen for the ITPK1 antibody.

Storage

After reconstitution, the ITPK1 Antibody can be stored for up to one month at 4oC. For long-term, aliquot and store at -20oC. Avoid repeated freezing and thawing.

Cross
Bulk Quote Request Form
Name*:
Organization*:
Email*:
Phone Number*:
Catalog No.*:
Comments and Specifics(amount, formulation, etc.)*:
Validation code: Captchapackage Image


Can't read the image? click here to refresh.
    *required field

Your bulk quote request has been submitted successfully!

Please contact us if you have any questions.