• Tel: 858.663.9055
  • SeparatorEmail: info@nsjbio.com
  • Tel: 858.663.9055
  • Email: info@nsjbio.com
Home >> Antibodies >> ITPA Antibody / Inosine triphosphate pyrophosphatase / ITPase

ITPA Antibody / Inosine triphosphate pyrophosphatase / ITPase (RQ8653)

  Catalog No Formulation Size Price (USD)  
Image RQ8653 0.5mg/ml if reconstituted with 0.2ml sterile DI water 100 ug 449
Bulk quote request
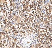
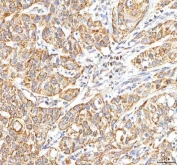
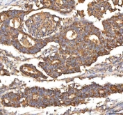
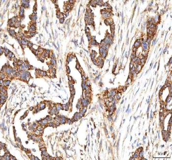
IHC staining of FFPE human pancreas ductal adenocarcinoma tissue with ITPA antibody. HIER: boil tissue sections in pH8 EDTA for 20 min and allow to cool before testing.
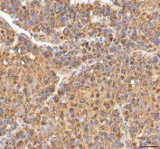
IHC staining of FFPE human testicular seminoma tissue with ITPA antibody. HIER: boil tissue sections in pH8 EDTA for 20 min and allow to cool before testing.
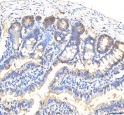
IHC staining of FFPE human colon adenocarcinoma tissue with ITPA antibody. HIER: boil tissue sections in pH8 EDTA for 20 min and allow to cool before testing.
IHC staining of FFPE human lung cancer tissue with ITPA antibody. HIER: boil tissue sections in pH8 EDTA for 20 min and allow to cool before testing.
IHC staining of FFPE human liver cancer tissue with ITPA antibody. HIER: boil tissue sections in pH8 EDTA for 20 min and allow to cool before testing.
IHC staining of FFPE human urothelial carcinoma tissue with ITPA antibody. HIER: boil tissue sections in pH8 EDTA for 20 min and allow to cool before testing.
IHC staining of FFPE human glioblastoma tissue with ITPA antibody. HIER: boil tissue sections in pH8 EDTA for 20 min and allow to cool before testing.
IHC staining of FFPE rat colon tissue with ITPA antibody. HIER: boil tissue sections in pH8 EDTA for 20 min and allow to cool before testing.
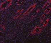
Immunofluorescent staining of FFPE human intestinal cancer tissue with ITPA antibody (red) and DAPI nuclear stain (blue). HIER: steam section in pH8 EDTA buffer for 20 min.
Western blot testing of 1) human K562, 2) human HepG2, 3) human HeLa, 4) human A549, 5) rat liver and 6) mouse liver tissue lysate with ITPA antibody. Predicted molecular weight ~21 kDa.
Flow cytometry testing of fixed and permeabilized human K562 cells with ITPA antibody at 1ug/million cells (blocked with goat sera); Red=cells alone, Green=isotype control, Blue= ITPA antibody.
Availability 1-3 days
Species Reactivity Human, Mouse, Rat
Format Antigen affinity purified
Host Rabbit
Clonality Polyclonal (rabbit origin)
Isotype Rabbit IgG
Purity Antigen affinity chromatography
Buffer Lyophilized from 1X PBS with 2% Trehalose
UniProt Q9BY32
Localization Cytoplasm
Applications Western Blot : 1-2ug/ml
Immunohistochemistry (FFPE) : 2-5ug/ml
Flow Cytometry : 1-3ug/million cells
ELISA : 0.1-0.5ug/ml
Limitations This ITPA antibody is available for research use only.
Review this product on BioCompare and get a $20 Amazon gift card

Related Products

Description

Inosine triphosphate pyrophosphatase is an enzyme that in humans is encoded by the ITPA gene, by the rdgB gene in bacteria E.coli and the HAM1 gene in yeast S. cerevisiae; the protein is also encoded by some RNA viruses of the Potyviridae family. This gene encodes an inosine triphosphate pyrophosphohydrolase. The encoded protein hydrolyzes inosine triphosphate and deoxyinosine triphosphate to the monophosphate nucleotide and diphosphate. This protein, which is a member of the HAM1 NTPase protein family, is found in the cytoplasm and acts as a homodimer. Defects in the encoded protein can result in inosine triphosphate pyrophosphorylase deficiency which causes an accumulation of ITP in red blood cells. Alternate splicing results in multiple transcript variants.

Application Notes

Optimal dilution of the ITPA antibody should be determined by the researcher.

Immunogen

An E.coli-derived human recombinant protein (amino acids M1-A194) was used as the immunogen for the ITPA antibody.

Storage

After reconstitution, the ITPA Antibody can be stored for up to one month at 4oC. For long-term, aliquot and store at -20oC. Avoid repeated freezing and thawing.

Cross
Bulk Quote Request Form
Name*:
Organization*:
Email*:
Phone Number*:
Catalog No.*:
Comments and Specifics(amount, formulation, etc.)*:
Validation code: Captchapackage Image


Can't read the image? click here to refresh.
    *required field

Your bulk quote request has been submitted successfully!

Please contact us if you have any questions.