• Tel: 858.663.9055
  • SeparatorEmail: info@nsjbio.com
  • Tel: 858.663.9055
  • Email: info@nsjbio.com
Home >> Antibodies >> ITLN1 Antibody / Intelectin-1

ITLN1 Antibody / Intelectin-1 (R32441)

  Catalog No Formulation Size Price (USD)  
Image R32441 0.5mg/ml if reconstituted with 0.2ml sterile DI water 100 ug 449
Bulk quote request
Immunofluorescent staining of FFPE human U-2 OS cells with ITLN1 antibody (green) and DAPI nuclear stain (blue). HIER: steam section in pH6 citrate buffer for 20 min.
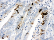
IHC testing of FFPE human intestinal cancer tissue with ITLN1 antibody at 1ug/ml. HIER: steam in pH6 citrate buffer and allow to cool prior to staining.
Western blot testing of human SW620 cell lysate with ITLN1 antibody at 0.5ug/ml. Expected molecular weight: 35-40 kDa.
Flow cytometry testing of human U937 cells with ITLN1 antibody at 1ug/million cells (blocked with goat sera); Red=cells alone, Green=isotype control, Blue= ITLN1 antibody.
Availability 1-3 business days
Species Reactivity Human
Format Antigen affinity purified
Host Rabbit
Clonality Polyclonal (rabbit origin)
Isotype Rabbit IgG
Purity Antigen affinity
Buffer Lyophilized from 1X PBS with 2.5% BSA and 0.025% sodium azide
UniProt Q8WWA0
Localization Cytoplasmic
Applications Western Blot : 0.5-1ug/ml
Immunohistochemistry (FFPE) : 1-2ug/ml
Immunofluorescence (FFPE) : 2-4ug/ml
Flow Cytometry : 1-3ug/million cells
Limitations This ITLN1 antibody is available for research use only.
Review this product on BioCompare and get a $20 Amazon gift card

Related Products

Description

Intelectin-1, also known as omentin, is an intelectin encoded in humans by the ITLN1 gene. This gene is mapped to chromosome 1q21.3-q22 by genomic sequence analysis. It is expressed on multiple cell types and appears to participate in insulin signaling and microbe recognition. Intelectin-1 functions both as a receptor for bacterial arabinogalactans and for lactoferrin. Having conserved ligand binding site residues, both human and mouse intelectin-1 bind the exocyclic vicinal diol of carbohydrate ligands such as galactofuranose.

Application Notes

Optimal dilution of the ITLN1 antibody should be determined by the researcher.

Immunogen

Amino acids TDEANTYFKEWTCSSSPSLPRSCKEIKDECPSAFDGLYFLR were used as the immunogen for the ITLN1 antibody.

Storage

Prior to reconstitution, store at 4oC. After reconstitution, the ITLN1 antibody can be stored for up to one month at 4oC. For long-term, aliquot and store at -20oC. Avoid repeated freezing and thawing.

Cross
Bulk Quote Request Form
Name*:
Organization*:
Email*:
Phone Number*:
Catalog No.*:
Comments and Specifics(amount, formulation, etc.)*:
Validation code: Captchapackage Image


Can't read the image? click here to refresh.
    *required field

Your bulk quote request has been submitted successfully!

Please contact us if you have any questions.