• Tel: 858.663.9055
  • SeparatorEmail: info@nsjbio.com
  • Tel: 858.663.9055
  • Email: info@nsjbio.com
Home >> Antibodies >> ITGB7 Antibody / Integrin beta 7

ITGB7 Antibody / Integrin beta 7 [clone 32I45] (FY12548)

  Catalog No Formulation Size Price (USD)  
Image FY12548 Rabbit IgG in phosphate buffered saline, pH 7.4, 150mM NaCl, 0.02% sodium azide and 50% glycerol, 0.4-0.5mg/ml BSA 100 ul 449
Microvalidated Recrabbitmono
Bulk quote request
Immunohistochemical staining of ITGB7 using anti-ITGB7 antibody. ITGB7 was detected in a paraffin-embedded section of human colon tissue. Heat mediated antigen retrieval was performed in EDTA buffer (pH 8.0, epitope retrieval solution). The tissue section was blocked with 10% goat serum. The tissue section was then incubated with 1:50 rabbit anti-ITGB7 antibody overnight at 4oC. Peroxidase Conjugated Goat Anti-rabbit IgG was used as secondary antibody and incubated for 30 minutes at 37oC. The tissue section was developed using an HRP secondary and DAB substrate.
ITGB7 antibody at 1:2000 dilution for 1 hour at room temperature used to test human Raji cell lysate. ITGB7 (~87 kDa predicted) was detected at ~120-130 kDa, consistent with the mature, heavily N-glycosylated form of the Beta-7 integrin subunit commonly observed in lymphoid and epithelial tissues.
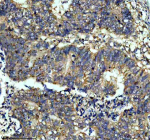
Immunohistochemical staining of ITGB7 using anti-ITGB7 antibody. ITGB7 was detected in a paraffin-embedded section of human colon cancer tissue. Heat mediated antigen retrieval was performed in EDTA buffer (pH 8.0, epitope retrieval solution). The tissue section was blocked with 10% goat serum. The tissue section was then incubated with 1:50 rabbit anti-ITGB7 antibody overnight at 4oC. Peroxidase Conjugated Goat Anti-rabbit IgG was used as secondary antibody and incubated for 30 minutes at 37oC. The tissue section was developed using an HRP secondary and DAB substrate.
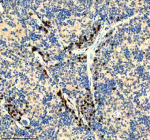
Immunohistochemical staining of ITGB7 using anti-ITGB7 antibody. ITGB7 was detected in a paraffin-embedded section of human lymphoma tissue. Heat mediated antigen retrieval was performed in EDTA buffer (pH 8.0, epitope retrieval solution). The tissue section was blocked with 10% goat serum. The tissue section was then incubated with 1:50 rabbit anti-ITGB7 antibody overnight at 4oC. Peroxidase Conjugated Goat Anti-rabbit IgG was used as secondary antibody and incubated for 30 minutes at 37oC. The tissue section was developed using an HRP secondary and DAB substrate.
Immunohistochemical staining of ITGB7 using anti-ITGB7 antibody. ITGB7 was detected in a paraffin-embedded section of mouse spleen tissue. Heat mediated antigen retrieval was performed in EDTA buffer (pH 8.0, epitope retrieval solution). The tissue section was blocked with 10% goat serum. The tissue section was then incubated with 1:50 rabbit anti-ITGB7 antibody overnight at 4oC. Peroxidase Conjugated Goat Anti-rabbit IgG was used as secondary antibody and incubated for 30 minutes at 37oC. The tissue section was developed using an HRP secondary and DAB substrate.
Availability 2-3 weeks
Species Reactivity Human
Format Liquid
Host Rabbit
Clonality Recombinant Rabbit Monoclonal
Isotype Rabbit IgG
Clone Name 32I45
Purity Affinity-chromatography
Buffer Rabbit IgG in phosphate buffered saline, pH 7.4, 150mM NaCl, 0.02% sodium azide and 50% glycerol, 0.4-0.5mg/ml BSA.
UniProt P26010
Localization Cytoplasm, cell membrane
Applications Western Blot : 1:500-1:2000
Limitations This ITGB7 antibody is available for research use only.
Review this product on BioCompare and get a $20 Amazon gift card

Related Products

Description

ITGB7 antibody detects integrin beta 7, a transmembrane receptor subunit encoded by the ITGB7 gene. Integrins are heterodimeric receptors composed of alpha and beta chains that mediate cell adhesion, migration, and signaling. Integrin beta 7 pairs with alpha 4 or alpha E chains to form integrin alpha4beta7 and integrin alphaEbeta7. These receptors are critical for immune cell trafficking, mucosal homing, and lymphocyte adhesion to epithelial cells.

ITGB7 antibody is widely applied in immunology and inflammation research. Integrin alpha4beta7 directs lymphocytes to gut associated lymphoid tissues by binding to MAdCAM 1 on endothelial cells, while integrin alphaEbeta7 binds to E cadherin, supporting retention of lymphocytes in epithelial layers. By detecting ITGB7, researchers can study how integrins regulate lymphocyte homing and immune surveillance in mucosal tissues.

In flow cytometry, ITGB7 antibody quantifies surface expression on lymphocytes, distinguishing subsets involved in mucosal immunity. Immunohistochemistry maps ITGB7 expression in gut and lymphoid tissues, while immunofluorescence highlights cell surface localization. Western blotting detects integrin beta 7 protein in immune cell lysates, providing complementary analysis across platforms.

ITGB7 is a therapeutic target in inflammatory bowel disease. Antibodies blocking integrin alpha4beta7 reduce lymphocyte trafficking to the gut and alleviate inflammation. Altered ITGB7 expression is also observed in autoimmune diseases and certain cancers, linking it to pathogenesis. By applying ITGB7 antibody, scientists can explore integrin biology in health and disease and evaluate therapeutic strategies targeting lymphocyte migration.

Beyond mucosal immunity, integrin beta 7 contributes to immune responses in reproductive tissues, respiratory mucosa, and skin. It also participates in cytotoxic lymphocyte interactions with epithelial cells, influencing immune defense and tolerance. ITGB7 antibody therefore supports a wide range of studies in immunology, oncology, and inflammation.

ITGB7 antibody from NSJ Bioreagents delivers reliable specificity for detecting integrin beta 7 across multiple methods. Its performance supports both basic research and translational studies into immune cell trafficking and integrin targeted therapies.

Application Notes

Optimal dilution of the ITGB7 antibody should be determined by the researcher.

Immunogen

A synthesized peptide derived from human Integrin beta 7 was used as the immunogen for the ITGB7 antibody.

Storage

Store the ITGB7 antibody at -20oC.

Cross
Bulk Quote Request Form
Name*:
Organization*:
Email*:
Phone Number*:
Catalog No.*:
Comments and Specifics(amount, formulation, etc.)*:
Validation code: Captchapackage Image


Can't read the image? click here to refresh.
    *required field

Your bulk quote request has been submitted successfully!

Please contact us if you have any questions.