• Tel: 858.663.9055
  • SeparatorEmail: info@nsjbio.com
  • Tel: 858.663.9055
  • Email: info@nsjbio.com
Home >> Antibodies >> ITGB2 Antibody / CD18 / LFA-1

ITGB2 Antibody / CD18 / LFA-1 [clone AAIH-9] (RQ5103)

  Catalog No Formulation Size Price (USD)  
Image RQ5103 Antibody in PBS with 0.02% sodium azide, 50% glycerol and 0.4-0.5mg/ml BSA 100 ul 449
Microvalidated Rab Mono Image
Bulk quote request
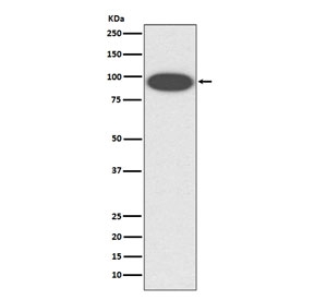
Western blot testing of human K562 cell lysate with ITGB2 antibody. Expected molecular weight: 85~95 kDa depending on glycosylation level.
Availability 1-2 weeks
Species Reactivity Human
Format Purified
Host Rabbit
Clonality Rabbit Monoclonal
Isotype Rabbit IgG
Clone Name AAIH-9
Purity Affinity purified
UniProt P05107
Applications Western Blot : 1:500-1:2000
Limitations This ITGB2 antibody is available for research use only.
Review this product on BioCompare and get a $20 Amazon gift card

Related Products

Description

This gene encodes an integrin beta chain, which combines with multiple different alpha chains to form different integrin heterodimers. Integrins are integral cell-surface proteins that participate in cell adhesion as well as cell-surface mediated signalling. Integrin beta 2 plays an important role in immune response and defects in this gene cause leukocyte adhesion deficiency. Alternative splicing results in multiple transcript variants. [RefSeq]

Application Notes

Optimal dilution of the ITGB2 antibody should be determined by the researcher.

Immunogen

A synthetic peptide specific to human Integrin beta 2 was used as the immunogen for the ITGB2 antibody.

Storage

Store the ITGB2 antibody at -20oC.

Cross
Bulk Quote Request Form
Name*:
Organization*:
Email*:
Phone Number*:
Catalog No.*:
Comments and Specifics(amount, formulation, etc.)*:
Validation code: Captchapackage Image


Can't read the image? click here to refresh.
    *required field

Your bulk quote request has been submitted successfully!

Please contact us if you have any questions.