• Tel: 858.663.9055
  • SeparatorEmail: info@nsjbio.com
  • Tel: 858.663.9055
  • Email: info@nsjbio.com
Home >> Antibodies >> ITGB2 Antibody / CD18

ITGB2 Antibody / CD18 [clone 1A3/2A10] (RQ4511)

  Catalog No Formulation Size Price (USD)  
Image RQ4511 0.5mg/ml if reconstituted with 0.2ml sterile DI water 100 ug 449
Bulk quote request
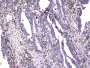
IHC testing of FFPE human tonsil tissue with ITGB2 antibody at 2ug/ml. HIER: boil tissue sections in pH6, 10mM citrate buffer, for 10-20 min followed by cooling at RT for 20 min.
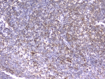
IHC testing of FFPE human rectal cancer with ITGB2 antibody at 2ug/ml. HIER: boil tissue sections in pH6, 10mM citrate buffer, for 10-20 min followed by cooling at RT for 20 min.
Western blot testing of human placental lysate with ITGB2 antibody at 1ug/ml. Expected molecular weight: 85~95 kDa depending on glycosylation level.
Availability 1-3 business days
Species Reactivity Human
Format Purified
Host Mouse
Clonality Monoclonal
Isotype Mouse IgG1
Clone Name 1A3/2A10
Purity Protein G affinity
Buffer Lyophilized from 1X PBS with 2% Trehalose and 0.025% sodium azide
UniProt P05107
Localization Cell membrane, cytoplasm
Applications Western Blot : 0.5-1ug/ml
Immunohistochemistry (FFPE) : 1-2ug/ml
Limitations This ITGB2 antibody is available for research use only.
Review this product on BioCompare and get a $20 Amazon gift card

Related Products

Description

ITGB2 (Integrin beta-2), also known as CD18, is a protein that in humans is encoded by the ITGB2 gene. ITGB2 is an integrin protein that belongs to the class of cell membrane glycoproteins. The beta-2 integrin chain gene is designated ITGB2 and the leukocyte antigen has been designated CD18. The ITGB2 gene is mapped to 21q22.3. The expression of CD18 is increased in lymphoblastoid cells from persons with Down syndrome, consistent with the location of the gene on chromosome 21. In humans lack of ITGB2 causes Leukocyte Adhesion Deficiency, a disease defined by a lack of leukocyte extravasation from blood into tissues. Although ITGB2 is expressed on the cell surface at normal levels and is capable of function following extracellular stimulation, it could not be activated via the 'inside-out' signaling pathways.

Application Notes

Optimal dilution of the ITGB2 antibody should be determined by the researcher.

Immunogen

Human CD18 recombinant protein (amino acids Q404-S769) was used as the immunogen for the ITGB2 antibody.

Storage

After reconstitution, the ITGB2 antibody can be stored for up to one month at 4oC. For long-term, aliquot and store at -20oC. Avoid repeated freezing and thawing.

Cross
Bulk Quote Request Form
Name*:
Organization*:
Email*:
Phone Number*:
Catalog No.*:
Comments and Specifics(amount, formulation, etc.)*:
Validation code: Captchapackage Image


Can't read the image? click here to refresh.
    *required field

Your bulk quote request has been submitted successfully!

Please contact us if you have any questions.