• Tel: 858.663.9055
  • SeparatorEmail: info@nsjbio.com
  • Tel: 858.663.9055
  • Email: info@nsjbio.com
Home >> Antibodies >> Islet 1 Antibody / ISL1

Islet 1 Antibody / ISL1 (RQ8706)

  Catalog No Formulation Size Price (USD)  
Image RQ8706 0.5mg/ml if reconstituted with 0.2ml sterile DI water 100 ug 449
Bulk quote request
Immunofluorescent staining of FFPE rat brain tissue with Islet 1 antibody (green). HIER: steam section in pH8 EDTA buffer for 20 min.
Immunofluorescent staining of FFPE mouse brain tissue with Islet 1 antibody (green). HIER: steam section in pH8 EDTA buffer for 20 min.
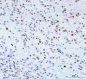
IHC staining of FFPE rat brain tissue with Islet 1 antibody. HIER: boil tissue sections in pH8 EDTA for 20 min and allow to cool before testing.
IHC staining of FFPE mouse brain tissue with Islet 1 antibody. HIER: boil tissue sections in pH8 EDTA for 20 min and allow to cool before testing.
Immunofluorescent staining of FFPE human A549 cells with Islet 1 antibody (red) and Beta Tubulin mAb (green). HIER: steam section in pH6 citrate buffer for 20 min.
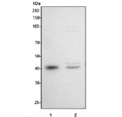
Western blot testing of human 1) SH-SY5Y and 2) HepG2 cell lysate with Islet 1 antibody. Predicted molecular weight ~39 kDa.
Availability 1-3 days
Species Reactivity Human, Mouse, Rat
Format Antigen affinity purified
Host Rabbit
Clonality Polyclonal (rabbit origin)
Isotype Rabbit IgG
Purity Antigen affinity chromatography
Buffer Lyophilized from 1X PBS with 2% Trehalose
UniProt P61371
Localization Nuclear
Applications Western Blot : 1-2ug/ml
Immunofluorescence : 5ug/ml
Immunohistochemistry (FFPE) : 2-5ug/ml
ELISA : 0.1-0.5ug/ml
Limitations This Islet 1 antibody is available for research use only.
Review this product on BioCompare and get a $20 Amazon gift card

Related Products

  • Applications : WB, IHC
    Reactivity : Human, Mouse, Rat
    Recrabbitmono
  • Applications : WB, ELISA
    Reactivity : Human, Mouse
    Pred. Reactivity : Chicken, Rat, Zebrafish
  • Applications : WB, ELISA
    Reactivity : Rat
    Pred. Reactivity : Human, Chicken, Zebrafish
  • Applications : WB, IHC-P
    Reactivity : Human, Rat
  • Applications : WB, ELISA
    Reactivity : Human

Description

Insulin gene enhancer protein ISL-1 is a protein that in humans is encoded by the isl1 gene. This gene encodes a member of the LIM/homeodomain family of transcription factors. The encoded protein binds to the enhancer region of the insulin gene, among others, and may play an important role in regulating insulin gene expression. The encoded protein is central to the development of pancreatic cell lineages and may also be required for motor neuron generation. Mutations in this gene have been associated with maturity-onset diabetes of the young.

Application Notes

Optimal dilution of the Islet 1 antibody should be determined by the researcher.

Immunogen

An E.coli-derived human recombinant protein (amino acids D118-E161) was used as the immunogen for the Islet 1 antibody.

Storage

After reconstitution, the Islet 1 antibody can be stored for up to one month at 4oC. For long-term, aliquot and store at -20oC. Avoid repeated freezing and thawing.

Cross
Bulk Quote Request Form
Name*:
Organization*:
Email*:
Phone Number*:
Catalog No.*:
Comments and Specifics(amount, formulation, etc.)*:
Validation code: Captchapackage Image


Can't read the image? click here to refresh.
    *required field

Your bulk quote request has been submitted successfully!

Please contact us if you have any questions.