• Tel: 858.663.9055
  • SeparatorEmail: info@nsjbio.com
  • Tel: 858.663.9055
  • Email: info@nsjbio.com
Home >> Antibodies >> Islet 1 Antibody / ISL1

Islet 1 Antibody / ISL1 [clone EHO-9] (FY13403)

  Catalog No Formulation Size Price (USD)  
Image FY13403 Rabbit IgG in phosphate buffered saline, pH 7.4, 150mM NaCl, 0.02% sodium azide and 50% glycerol, 0.4-0.5mg/ml BSA 100 ul 449
Microvalidated Recrabbitmono
Bulk quote request
Immunohistochemical staining of FFPE mouse brain tissue with Islet 1 antibody, HRP-secondary and DAB substrate. HIER: boil tissue sections in pH8 EDTA for 20 min and allow to cool before testing.
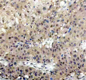
Immunohistochemical staining of FFPE human liver tissue with Islet 1 antibody, HRP-secondary and DAB substrate. HIER: boil tissue sections in pH8 EDTA for 20 min and allow to cool before testing.
Immunohistochemical staining of FFPE rat brain tissue with Islet 1 antibody, HRP-secondary and DAB substrate. HIER: boil tissue sections in pH8 EDTA for 20 min and allow to cool before testing.
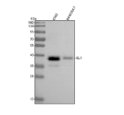
Western blot testing of 1) human K562 and 2) mouse RAW264.7 cell lysate with Islet 1 antibody. Predicted molecular weight ~39 kDa.
Availability 1-2 days
Species Reactivity Human, Mouse, Rat
Format Liquid
Host Rabbit
Clonality Recombinant Rabbit Monoclonal
Isotype Rabbit IgG
Clone Name EHO-9
Purity Affinity chromatography
Buffer Rabbit IgG in phosphate buffered saline, pH 7.4, 150mM NaCl, 0.02% sodium azide and 50% glycerol, 0.4-0.5mg/ml BSA.
UniProt P61371
Localization Nuclear
Applications Western Blot : 1:500-1:2000
Immunohistochemistry : 1:50-1:200
Limitations This Islet 1 antibody is available for research use only.
Review this product on BioCompare and get a $20 Amazon gift card

Related Products

  • Applications : WB, ELISA
    Reactivity : Human, Mouse
    Pred. Reactivity : Chicken, Rat, Zebrafish
  • Applications : WB, ELISA
    Reactivity : Rat
    Pred. Reactivity : Human, Chicken, Zebrafish
  • Applications : WB, IHC-P
    Reactivity : Human, Rat
  • Applications : WB, IF, IHC-P, ELISA
    Reactivity : Human, Mouse, Rat
  • Applications : WB, ELISA
    Reactivity : Human

Description

Islet 1 antibody targets Islet 1 (ISL1), a LIM homeobox transcription factor that plays a critical role in embryonic development, cell fate specification, and tissue differentiation. ISL1 localizes predominantly to the nucleus, where it regulates gene expression programs required for the development of multiple organ systems. It is a member of the LIM homeodomain family of transcription factors, characterized by two LIM domains that mediate protein-protein interactions and a homeobox DNA-binding domain that enables sequence-specific transcriptional control.

Functionally, ISL1 is essential for the development of pancreatic endocrine cells, motor neurons, and cardiac progenitor populations. In the pancreas, ISL1 is required for differentiation and maintenance of insulin-producing beta cells and other endocrine lineages, making it a widely used marker for pancreatic progenitors and mature endocrine cells. In the nervous system, ISL1 is involved in motor neuron identity and axonal pathfinding, while in the heart it contributes to the specification and proliferation of second heart field progenitors. An Islet 1 antibody supports studies examining developmental gene regulation and lineage specification.

ISL1 expression is tightly regulated in a spatially and temporal manner during development and is largely restricted in adult tissues to specific cell populations. Its nuclear localization and lineage-specific expression pattern make ISL1 a valuable marker in developmental biology and stem cell research. Changes in ISL1 expression can influence differentiation trajectories and tissue organization, reflecting its central role in coordinating complex developmental programs across organ systems.

From a biological and disease-relevance perspective, ISL1 has been studied extensively in the context of congenital heart defects, pancreatic dysfunction, and neurodevelopmental disorders. In cancer research, ISL1 expression has been reported in certain neuroendocrine tumors, where it is used as a diagnostic marker reflecting lineage origin. Understanding ISL1 expression and regulation provides insight into mechanisms that govern cell identity and developmental plasticity.

At the molecular level, ISL1 is encoded by the ISL1 gene and produces a protein of approximately 349 amino acids. The LIM domains facilitate assembly of transcriptional complexes, while the homeodomain mediates DNA binding and transcriptional regulation. ISL1 activity is modulated through interactions with cofactors and developmental signaling pathways. An Islet 1 antibody supports research applications focused on developmental biology, transcriptional regulation, and lineage-specific marker analysis, with NSJ Bioreagents providing reagents intended for research use.

Application Notes

Optimal dilution of the Islet 1 antibody should be determined by the researcher.

Immunogen

A synthesized peptide derived from human Islet 1 protein was used as the immunogen for the Islet 1 antibody.

Storage

Store the Islet 1 antibody at -20oC.

Cross
Bulk Quote Request Form
Name*:
Organization*:
Email*:
Phone Number*:
Catalog No.*:
Comments and Specifics(amount, formulation, etc.)*:
Validation code: Captchapackage Image


Can't read the image? click here to refresh.
    *required field

Your bulk quote request has been submitted successfully!

Please contact us if you have any questions.