• Tel: 858.663.9055
  • SeparatorEmail: info@nsjbio.com
  • Tel: 858.663.9055
  • Email: info@nsjbio.com
Home >> Antibodies >> IRP2 Antibody

IRP2 Antibody (R35925)

  Catalog No Formulation Size Price (USD)  
Image R35925-100UG 0.5 mg/ml in 1X TBS, pH7.3, with 0.5% BSA (US sourced) and 0.02% sodium azide 100 ug 475
Bulk quote request
Western blot testing of human liver lysate with IRP2 antibody at 0.3ug/ml in the A) absence and B) presence of immunizing peptide. Predicted molecular weight ~105kDa. The ~60kDa band is likely a breakdown product of the protein.
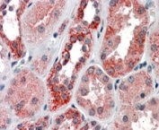
IHC staining of FFPE human kidney with IRP2 antibody at 4ug/ml. HIER: steamed with pH6 citrate buffer, AP-staining.
Availability 1-3 business days
Species Reactivity Human
Predicted Reactivity Mouse, Rat
Format Antigen affinity purified
Host Goat
Clonality Polyclonal (goat origin)
Isotype Goat Ig
Purity Antigen affinity
Gene ID 3658
Applications Western Blot : 1-3ug/ml
Immunohistochemistry (FFPE) : 3-6ug/ml
ELISA (peptide) LOD : 1:32000
Limitations This IRP2 antibody is available for research use only.
Review this product on BioCompare and get a $20 Amazon gift card

Description

Additional name(s) for this target protein: Iron-responsive element binding protein 2; IREB2

Application Notes

Optimal dilution of the IRP2 antibody should be determined by the researcher.

Immunogen

Amino acids SIHYEGSEYKLSHGS were used as the immunogen for this IRP2 antibody.

Storage

Aliquot and store the IRP2 antibody at -20oC.

Cross
Bulk Quote Request Form
Name*:
Organization*:
Email*:
Phone Number*:
Catalog No.*:
Comments and Specifics(amount, formulation, etc.)*:
Validation code: Captchapackage Image


Can't read the image? click here to refresh.
    *required field

Your bulk quote request has been submitted successfully!

Please contact us if you have any questions.