• Tel: 858.663.9055
  • SeparatorEmail: info@nsjbio.com
  • Tel: 858.663.9055
  • Email: info@nsjbio.com
Home >> Antibodies >> IRF4 Antibody (MUM1)

IRF4 Antibody (MUM1) (R31635)

  Catalog No Formulation Size Price (USD)  
Image R31635 0.5mg/ml if reconstituted with 0.2ml sterile DI water 100 ug 449
Bulk quote request
Western blot testing of IRF4 antibody and Lane 1: HeLa; 2: Jurkat lysate; Predicted molecular weight ~51 kDa, observed here at ~40 kDa.
Western blot testing of IRF4 antibody and recombinant human protein (0.5ng).
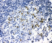
IHC-P: IRF4 antibody testing of human tonsil tissue.
Availability 1-3 business days
Species Reactivity Human
Format Antigen affinity purified
Host Rabbit
Clonality Polyclonal (rabbit origin)
Isotype Rabbit IgG
Purity Antigen affinity
Buffer Lyophilized from 1X PBS with 2.5% BSA, 0.025% sodium azide
Gene ID 3662
Localization Nuclear
Applications Western Blot : 0.5-1ug/ml
IHC (FFPE) : 0.5-1ug/ml
Limitations This IRF4 antibody is available for research use only.
Review this product on BioCompare and get a $20 Amazon gift card

Related Products

Description

Interferon regulatory factor 4, also known as MUM1, is a protein that in humans is encoded by the IRF4 gene. It is located on 6p25.3. IRF4 is a transcription factor, and it is essential for the development of T helper-2 (Th2) cells, IL17 -producing Th17 cells, and IL9 -producing Th9 cells. In melanocytic cells, the gene may be regulated by MITF. IRF4 is a transcription factor that has been implicated in acute leukemia. This gene is strongly associated with pigmentation, sensitivity of skin to sun exposure, freckles, blue eyes, and brown hair color. Additionally, IRF4 inhibition is toxic to myeloma cell lines, regardless of transforming oncogenic mechanism.

Application Notes

The stated application concentrations are suggested starting amounts. Titration of the IRF4 antibody may be required due to differences in protocols and secondary/substrate sensitivity.

Immunogen

Human partial recombinant protein (AA 272-451) was used as the immunogen for this IRF4 antibody.

Storage

After reconstitution, the IRF4 antibody can be stored for up to one month at 4oC. For long-term, aliquot and store at -20oC. Avoid repeated freezing and thawing.

Cross
Bulk Quote Request Form
Name*:
Organization*:
Email*:
Phone Number*:
Catalog No.*:
Comments and Specifics(amount, formulation, etc.)*:
Validation code: Captchapackage Image


Can't read the image? click here to refresh.
    *required field

Your bulk quote request has been submitted successfully!

Please contact us if you have any questions.