- Tel: 858.663.9055
- 
									 Email: info@nsjbio.com Email: info@nsjbio.com
- Tel: 858.663.9055
- Email: info@nsjbio.com
 Email: info@nsjbio.com
Email: info@nsjbio.com
								IRF2BPL antibody detects Interferon regulatory factor 2 binding protein-like, encoded by the IRF2BPL gene on chromosome 14q24.23. IRF2BPL antibody is widely used to investigate this nuclear protein, which has roles in transcriptional regulation, neurodevelopment, and protein stability. IRF2BPL was originally identified due to similarity with IRF2BP family members, functioning as a transcriptional regulator through its C-terminal RING finger-like domain. Unlike IRF2BP1 and IRF2BP2, IRF2BPL is not limited to interferon signaling but participates in broader cellular pathways. The protein has been implicated in neuronal maintenance and synaptic integrity, and mutations in IRF2BPL are directly linked to neurological disorders including neurodevelopmental regression syndromes.
Structurally, IRF2BPL contains a coiled-coil N-terminal region for protein-protein interactions and a C-terminal RING-like zinc finger domain associated with ubiquitin ligase activity. These features suggest that IRF2BPL may act as a transcriptional repressor as well as a regulator of protein degradation pathways. Its ability to interact with transcription factors and chromatin remodelers positions it as a versatile nuclear protein. Animal studies demonstrate that loss of IRF2BPL impairs neuronal survival, while overexpression is toxic, highlighting the importance of tightly regulated protein levels.
Clinically, heterozygous mutations in IRF2BPL cause a progressive neurological disorder known as NEDAMSS (neurodevelopmental disorder with regression, abnormal movements, loss of speech, and seizures). Patients present with developmental regression, epilepsy, ataxia, and movement disorders. These phenotypes confirm the essential role of IRF2BPL in maintaining neuronal health. Beyond rare genetic disorders, IRF2BPL dysregulation may contribute to neurodegenerative diseases and cancer. Transcriptomic studies suggest altered expression in breast cancer and colorectal cancer, where its potential tumor suppressor role is being investigated. IRF2BPL antibody provides a key reagent to explore both developmental neurobiology and oncogenesis.
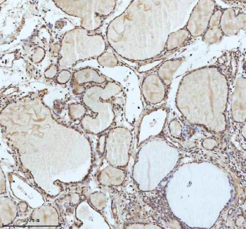
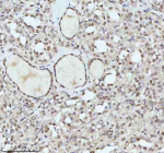
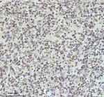
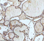
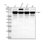
Experimentally, IRF2BPL antibody is applied in western blotting to detect its ~95 kDa band, in immunofluorescence to visualize nuclear localization, and in immunohistochemistry to analyze expression in brain and tumor tissue. Researchers use it to track protein levels in patient-derived cells, study subcellular distribution, and identify binding partners. NSJ Bioreagents offers IRF2BPL antibody as a validated tool to support investigations into neurogenetics, transcriptional control, and disease mechanisms.
Optimal dilution of the IRF2BPL antibody should be determined by the researcher.
E.coli-derived human IRF2BPL recombinant protein (Position: R472-R721) was used as the immunogen for the IRF2BPL antibody.
After reconstitution, the IRF2BPL antibody can be stored for up to one month at 4oC. For long-term, aliquot and store at -20oC. Avoid repeated freezing and thawing.
 
Your bulk quote request has been submitted successfully!
Please contact us if you have any questions.