• Tel: 858.663.9055
  • SeparatorEmail: info@nsjbio.com
  • Tel: 858.663.9055
  • Email: info@nsjbio.com
Home >> Antibodies >> IRF2BP1 Antibody / Interferon regulatory factor 2-binding protein 1

IRF2BP1 Antibody / Interferon regulatory factor 2-binding protein 1 (FY12763)

  Catalog No Formulation Size Price (USD)  
Image FY12763 Adding 0.2 ml of distilled water will yield a concentration of 500 ug/ml 100 ug 449
Bulk quote request
Immunohistochemical staining of IRF2BP1 using anti-IRF2BP1 antibody. IRF2BP1 was detected in a paraffin-embedded section of human ovarian cancer tissue. Heat mediated antigen retrieval was performed in EDTA buffer (pH 8.0, epitope retrieval solution). The tissue section was blocked with 10% goat serum. The tissue section was then incubated with 2 ug/ml rabbit anti-IRF2BP1 antibody overnight at 4oC. Peroxidase Conjugated Goat Anti-rabbit IgG was used as secondary antibody and incubated for 30 minutes at 37oC. The tissue section was developed using an HRP secondary and DAB substrate.
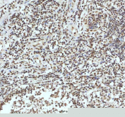
Immunohistochemical staining of IRF2BP1 using anti-IRF2BP1 antibody. IRF2BP1 was detected in a paraffin-embedded section of human tonsil tissue. Heat mediated antigen retrieval was performed in EDTA buffer (pH 8.0, epitope retrieval solution). The tissue section was blocked with 10% goat serum. The tissue section was then incubated with 2 ug/ml rabbit anti-IRF2BP1 antibody overnight at 4oC. Peroxidase Conjugated Goat Anti-rabbit IgG was used as secondary antibody and incubated for 30 minutes at 37oC. The tissue section was developed using an HRP secondary and DAB substrate.
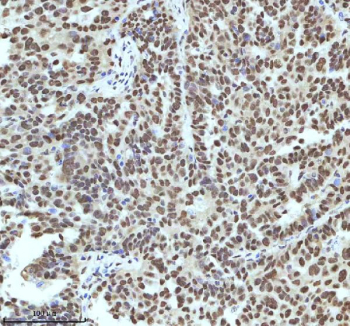
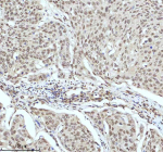
Immunohistochemical staining of IRF2BP1 using anti-IRF2BP1 antibody. IRF2BP1 was detected in a paraffin-embedded section of human acinic cell carcinoma of parotid cancer tissue. Heat mediated antigen retrieval was performed in EDTA buffer (pH 8.0, epitope retrieval solution). The tissue section was blocked with 10% goat serum. The tissue section was then incubated with 2 ug/ml rabbit anti-IRF2BP1 antibody overnight at 4oC. Peroxidase Conjugated Goat Anti-rabbit IgG was used as secondary antibody and incubated for 30 minutes at 37oC. The tissue section was developed using an HRP secondary and DAB substrate.
Immunohistochemical staining of IRF2BP1 using anti-IRF2BP1 antibody. IRF2BP1 was detected in a paraffin-embedded section of human placental tissue. Heat mediated antigen retrieval was performed in EDTA buffer (pH 8.0, epitope retrieval solution). The tissue section was blocked with 10% goat serum. The tissue section was then incubated with 2 ug/ml rabbit anti-IRF2BP1 antibody overnight at 4oC. Peroxidase Conjugated Goat Anti-rabbit IgG was used as secondary antibody and incubated for 30 minutes at 37oC. The tissue section was developed using an HRP secondary and DAB substrate.
Immunohistochemical staining of IRF2BP1 using anti-IRF2BP1 antibody. IRF2BP1 was detected in a paraffin-embedded section of human cervical cancer tissue. Heat mediated antigen retrieval was performed in EDTA buffer (pH 8.0, epitope retrieval solution). The tissue section was blocked with 10% goat serum. The tissue section was then incubated with 2 ug/ml rabbit anti-IRF2BP1 antibody overnight at 4oC. Peroxidase Conjugated Goat Anti-rabbit IgG was used as secondary antibody and incubated for 30 minutes at 37oC. The tissue section was developed using an HRP secondary and DAB substrate.
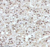
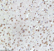
Immunohistochemical staining of IRF2BP1 using anti-IRF2BP1 antibody. IRF2BP1 was detected in a paraffin-embedded section of mouse brain tissue. Heat mediated antigen retrieval was performed in EDTA buffer (pH 8.0, epitope retrieval solution). The tissue section was blocked with 10% goat serum. The tissue section was then incubated with 2 ug/ml rabbit anti-IRF2BP1 antibody overnight at 4oC. Peroxidase Conjugated Goat Anti-rabbit IgG was used as secondary antibody and incubated for 30 minutes at 37oC. The tissue section was developed using an HRP secondary and DAB substrate.
Immunohistochemical staining of IRF2BP1 using anti-IRF2BP1 antibody. IRF2BP1 was detected in a paraffin-embedded section of human clear cell renal carcinoma tissue. Heat mediated antigen retrieval was performed in EDTA buffer (pH 8.0, epitope retrieval solution). The tissue section was blocked with 10% goat serum. The tissue section was then incubated with 2 ug/ml rabbit anti-IRF2BP1 antibody overnight at 4oC. Peroxidase Conjugated Goat Anti-rabbit IgG was used as secondary antibody and incubated for 30 minutes at 37oC. The tissue section was developed using an HRP secondary and DAB substrate.
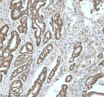
Immunohistochemical staining of IRF2BP1 using anti-IRF2BP1 antibody. IRF2BP1 was detected in a paraffin-embedded section of human colon adenocarcinoma tissue. Heat mediated antigen retrieval was performed in EDTA buffer (pH 8.0, epitope retrieval solution). The tissue section was blocked with 10% goat serum. The tissue section was then incubated with 2 ug/ml rabbit anti-IRF2BP1 antibody overnight at 4oC. Peroxidase Conjugated Goat Anti-rabbit IgG was used as secondary antibody and incubated for 30 minutes at 37oC. The tissue section was developed using an HRP secondary and DAB substrate.
Immunohistochemical staining of IRF2BP1 using anti-IRF2BP1 antibody. IRF2BP1 was detected in a paraffin-embedded section of human colon adenocarcinoma tissue. Heat mediated antigen retrieval was performed in EDTA buffer (pH 8.0, epitope retrieval solution). The tissue section was blocked with 10% goat serum. The tissue section was then incubated with 2 ug/ml rabbit anti-IRF2BP1 antibody overnight at 4oC. Peroxidase Conjugated Goat Anti-rabbit IgG was used as secondary antibody and incubated for 30 minutes at 37oC. The tissue section was developed using an HRP secondary and DAB substrate.
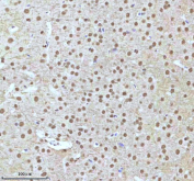
Immunohistochemical staining of IRF2BP1 using anti-IRF2BP1 antibody. IRF2BP1 was detected in a paraffin-embedded section of human liver cancer tissue. Heat mediated antigen retrieval was performed in EDTA buffer (pH 8.0, epitope retrieval solution). The tissue section was blocked with 10% goat serum. The tissue section was then incubated with 2 ug/ml rabbit anti-IRF2BP1 antibody overnight at 4oC. Peroxidase Conjugated Goat Anti-rabbit IgG was used as secondary antibody and incubated for 30 minutes at 37oC. The tissue section was developed using an HRP secondary and DAB substrate.
Immunohistochemical staining of IRF2BP1 using anti-IRF2BP1 antibody. IRF2BP1 was detected in a paraffin-embedded section of rat brain tissue. Heat mediated antigen retrieval was performed in EDTA buffer (pH 8.0, epitope retrieval solution). The tissue section was blocked with 10% goat serum. The tissue section was then incubated with 2 ug/ml rabbit anti-IRF2BP1 antibody overnight at 4oC. Peroxidase Conjugated Goat Anti-rabbit IgG was used as secondary antibody and incubated for 30 minutes at 37oC. The tissue section was developed using an HRP secondary and DAB substrate.
Western blot analysis of IRF2BP1 using anti-IRF2BP1 antibody. Lane 1: human Hela whole cell lysates, Lane 2: human 293T whole cell lysates, Lane 3: human Jurkat whole cell lysates, Lane 4: human HepG2 whole cell lysates, Lane 5: rat brain tissue lysates, Lane 6: rat liver tissue lysates, Lane 7: mouse brain tissue lysates, Lane 8: mouse liver tissue lysates. After electrophoresis, proteins were transferred to a nitrocellulose membrane at 150 mA for 50-90 minutes. Blocked the membrane with 5% non-fat milk/TBS for 1.5 hour at RT. The membrane was incubated with rabbit anti-IRF2BP1 antibody at 0.5 ug/ml overnight at 4oC, then washed with TBS-0.1%Tween 3 times with 5 minutes each and probed with a goat anti-rabbit IgG-HRP secondary antibody at a dilution of 1:5000 for 1.5 hour at RT. The signal was developed using enhanced chemiluminescent. A dominant band is observed at approximately 70-72 kDa, consistent with the known electrophoretic mobility of phosphorylated full-length IRF2BP1 (predicted ~62 kDa).
Immunoprecipitation of IRF2BP1 protein from 500ug of human HepG2 whole cell lysate with 2ug of IRF2BP1 antibody. A band is observed at approximately 70-72 kDa, consistent with the known electrophoretic mobility of phosphorylated full-length IRF2BP1 (predicted ~62 kDa).
Immunofluorescent staining of FFPE human TPC-1 cells with IRF2BP1 antibody (green). HIER: steam section in pH6 citrate buffer for 20 min.
Flow cytometry analysis of fixed and permeabilized human HEL cells with IRF2BP1 antibody at 1ug/million cells (blocked with goat sera); Red=cells alone, Green=isotype control, Blue= IRF2BP1 antibody.
Availability 1-2 days
Species Reactivity Human, Mouse, Rat
Format Lyophilized
Host Rabbit
Clonality Polyclonal (rabbit origin)
Isotype Rabbit IgG
Purity Immunogen affinity purified
Buffer Each vial contains 4 mg Trehalose, 0.9 mg NaCl, 0.2 mg Na2HPO4.
UniProt Q8IU81
Localization Nuclear
Applications ELISA : 0.1-0.5ug/ml
Flow Cytometry : 1-3ug/million cells
Immunoprecipitation : 2-4ug/500ug of lysate
Immunofluorescence : 5ug/ml
Immunohistochemistry : 2-5ug/ml
Immunocytochemistry : 5ug/ml
Western Blot : 0.25-0.5ug/ml
Limitations This IRF2BP1 antibody is available for research use only.
Review this product on BioCompare and get a $20 Amazon gift card

Related Products

  • Applications : WB, ELISA (peptide)
    Reactivity : Human, Mouse
    Pred. Reactivity : Dog, Rat
  • Applications : WB, ELISA (peptide)
    Reactivity : Human, Mouse, Rat
    Pred. Reactivity : Cow, Dog, Pig

Description

IRF2BP1 antibody detects Interferon regulatory factor 2-binding protein 1, a transcriptional corepressor that modulates interferon signaling and immune gene expression. Encoded by the IRF2BP1 gene on chromosome 19q13.11, this protein functions as a transcriptional regulator by binding and repressing the activity of interferon regulatory factor 2 (IRF2). IRF2BP1 contains a C-terminal zinc finger domain that mediates DNA and protein interactions, as well as an N-terminal coiled-coil region that enables homo- and heterodimerization. It acts as a transcriptional corepressor by recruiting histone deacetylases and other chromatin-modifying enzymes to interferon-stimulated gene promoters.

IRF2BP1 plays an essential role in maintaining immune homeostasis and regulating the magnitude of antiviral and inflammatory responses. By modulating IRF2 and IRF1 target genes, it fine-tunes the balance between transcriptional activation and repression in interferon signaling pathways. IRF2BP1 also participates in the negative regulation of p53 and NF-?B target genes, thereby linking interferon signaling to cell survival and immune control. Its activity is regulated through post-translational modifications such as phosphorylation and SUMOylation, which alter subcellular localization and cofactor binding.

The IRF2BP1 antibody is widely used in immunology, virology, and transcriptional regulation studies to detect IRF2BP1 expression and nuclear localization. Western blot analysis typically identifies a 58 kilodalton band, and immunofluorescence reveals nuclear and perinuclear distribution patterns consistent with its function as a transcriptional repressor. This antibody enables researchers to examine the interplay between interferon signaling and chromatin regulation, as well as transcriptional repression during immune activation.

Dysregulation of IRF2BP1 expression has been associated with aberrant immune responses, chronic inflammation, and oncogenesis. It acts as a checkpoint that restrains excessive interferon responses, preventing autoimmunity. NSJ Bioreagents provides the IRF2BP1 antibody validated for western blotting, immunofluorescence, and immunohistochemistry, supporting high-quality detection of this transcriptional regulator in both normal and disease contexts.

Application Notes

Optimal dilution of the IRF2BP1 antibody should be determined by the researcher.

Immunogen

E.coli-derived human IRF2BP1 recombinant protein (Position: A71-D439) was used as the immunogen for the IRF2BP1 antibody.

Storage

After reconstitution, the IRF2BP1 antibody can be stored for up to one month at 4oC. For long-term, aliquot and store at -20oC. Avoid repeated freezing and thawing.

Cross
Bulk Quote Request Form
Name*:
Organization*:
Email*:
Phone Number*:
Catalog No.*:
Comments and Specifics(amount, formulation, etc.)*:
Validation code: Captchapackage Image


Can't read the image? click here to refresh.
    *required field

Your bulk quote request has been submitted successfully!

Please contact us if you have any questions.