• Tel: 858.663.9055
  • SeparatorEmail: info@nsjbio.com
  • Tel: 858.663.9055
  • Email: info@nsjbio.com
Home >> Antibodies >> IRAK4 Antibody

IRAK4 Antibody (F53765)

  Catalog No Formulation Size Price (USD)  
Image F53765-0.4ML In 1X PBS, pH 7.4, with 0.09% sodium azide 0.4 ml 439
Image
F53765-0.08ML In 1X PBS, pH 7.4, with 0.09% sodium azide 0.08 ml 205
Bulk quote request
Western blot analysis of IRAK4 antibody and 293 cell lysate either nontransfected (Lane 1) or transiently transfected (2) with the IRAK4 gene. Predicted molecular weight 52/37 kDa (isoforms 1/2).
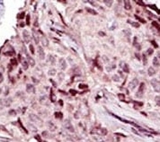
IHC analysis of FFPE human breast carcinoma tissue stained with the IRAK4 antibody
Availability 1-3 business days
Species Reactivity Human
Predicted Reactivity Bovine, Mouse
Format Antigen affinity purified
Host Rabbit
Clonality Polyclonal (rabbit origin)
Isotype Rabbit Ig
Purity Antigen affinity
UniProt Q9NWZ3
Applications Western Blot : 1:1000
IHC (Paraffin) : 1:50-1:100
Limitations This IRAK4 antibody is available for research use only.
Review this product on BioCompare and get a $20 Amazon gift card

Related Products

  • Applications : WB
    Reactivity : Human, Mouse, Rat
  • Applications : WB, ELISA
    Reactivity : Human
    Pred. Reactivity : Mouse, Bovine
  • Applications : WB, ELISA
    Reactivity : Human
  • Applications : WB, IHC-P, ELISA (peptide)
    Reactivity : Human, Mouse
  • Applications : WB, ELISA
    Reactivity : Human

Description

Protein kinases are enzymes that transfer a phosphate group from a phosphate donor, generally the g phosphate of ATP, onto an acceptor amino acid in a substrate protein. By this basic mechanism, protein kinases mediate most of the signal transduction in eukaryotic cells, regulating cellular metabolism, transcription, cell cycle progression, cytoskeletal rearrangement and cell movement, apoptosis, and differentiation. With more than 500 gene products, the protein kinase family is one of the largest families of proteins in eukaryotes. The family has been classified in 8 major groups based on sequence comparison of their tyrosine (PTK) or serine/threonine (STK) kinase catalytic domains. The tyrosine-like kinase (TLK) group consists of 40 tyrosine and serine-threonine kinases such as MLK (mixed-lineage kinase), LISK (LIMK/TESK), IRAK (interleukin-1 receptor-associated kinase), Raf, RIPK (receptor-interacting protein kinase), and STRK (activin and TGF-beta receptors) families.

Application Notes

Titration of the IRAK4 antibody may be required due to differences in protocols and secondary/substrate sensitivity.

Immunogen

A portion of amino acids 5-36 from the human protein was used as the immunogen for this IRAK4 antibody.

Storage

Aliquot the IRAK4 antibody and store frozen at -20oC or colder. Avoid repeated freeze-thaw cycles.

Cross
Bulk Quote Request Form
Name*:
Organization*:
Email*:
Phone Number*:
Catalog No.*:
Comments and Specifics(amount, formulation, etc.)*:
Validation code: Captchapackage Image


Can't read the image? click here to refresh.
    *required field

Your bulk quote request has been submitted successfully!

Please contact us if you have any questions.