• Tel: 858.663.9055
  • SeparatorEmail: info@nsjbio.com
  • Tel: 858.663.9055
  • Email: info@nsjbio.com
Home >> Antibodies >> IRAK1 Antibody

IRAK1 Antibody (RQ5587)

  Catalog No Formulation Size Price (USD)  
Image RQ5587 0.5mg/ml if reconstituted with 0.2ml sterile DI water 100 ug 439
Bulk quote request
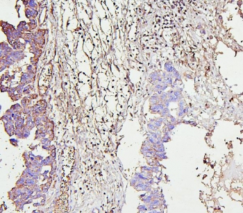
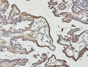
IHC staining of FFPE human ovarian cancer with IRAK1 antibody. HIER: boil tissue sections in pH6, 10mM citrate buffer, for 20 min and allow to cool before testing.
IHC staining of FFPE human ovarian cancer with IRAK1 antibody. HIER: boil tissue sections in pH6, 10mM citrate buffer, for 20 min and allow to cool before testing.
Western blot testing of human 1) PC-3, 2) U-2 OS, 3) HEK293 and 4) K562 cell lysate with IRAK1 antibody. Predicted molecular weight 68-76 kDa.
Western blot testing of 1) rat brain, 2) rat liver, 3) mouse brain and 4) mouse Neuro-2a lysate with IRAK1 antibody. Predicted molecular weight 68-76 kDa.
Flow cytometry testing of human A549 cells with IRAK1 antibody at 1ug/million cells (blocked with goat sera); Red=cells alone, Green=isotype control, Blue= IRAK1 antibody.
Immunofluorescent staining of FFPE human K562 cells with IRAK1 antibody (red) and DAPI nuclear stain (blue). HIER: steam section in pH6 citrate buffer for 20 min.
Availability 1-3 business days
Species Reactivity Human, Mouse, Rat
Format Antigen affinity purified
Clonality Polyclonal (rabbit origin)
Isotype Rabbit IgG
Purity Affinity purified
Buffer Lyophilized from 1X PBS with 2% Trehalose and 0.025% sodium azide
UniProt P51617
Applications Western Blot : 0.25-0.5ug/ml
Immunohistochemistry (FFPE) : 1-2ug/ml
Flow Cytometry : 1-3ug/million cells
Immunofluorescence : 2-4ug/ml
Limitations This IRAK1 antibody is available for research use only.
Review this product on BioCompare and get a $20 Amazon gift card

Related Products

  • Applications : WB
    Reactivity : Human, Mouse, Rat
  • Applications : WB, IHC, ELISA
    Reactivity : Human
  • Applications : WB, FACS, ELISA
    Reactivity : Mouse
  • Applications : WB
    Reactivity : Human
  • Applications : WB, IF, FACS, ELISA
    Reactivity : Human

Description

Interleukin-1 receptor-associated kinase 1, also called IRAK1, is an enzyme that in humans is encoded by the IRAK1 gene. By radiation hybrid analysis, this gene is mapped to chromosome Xq28. Serine/threonine-protein kinase plays a critical role in initiating innate immune response against foreign pathogens. This gene involved in Toll-like receptor (TLR) and IL-1R signaling pathways. This gene encodes the interleukin-1 receptor-associated kinase 1, one of two putative serine/threonine kinases that become associated with the interleukin-1 receptor (IL1R) upon stimulation. This gene is partially responsible for IL1-induced upregulation of the transcription factor NF-kappa B.

Application Notes

Optimal dilution of the IRAK1 antibody should be determined by the researcher.

Immunogen

Amino acids NRNARVADLVHILTHLQLLRARD were used as the immunogen for the IRAK1 antibody.

Storage

After reconstitution, the IRAK1 antibody can be stored for up to one month at 4oC. For long-term, aliquot and store at -20oC. Avoid repeated freezing and thawing.

Cross
Bulk Quote Request Form
Name*:
Organization*:
Email*:
Phone Number*:
Catalog No.*:
Comments and Specifics(amount, formulation, etc.)*:
Validation code: Captchapackage Image


Can't read the image? click here to refresh.
    *required field

Your bulk quote request has been submitted successfully!

Please contact us if you have any questions.