• Tel: 858.663.9055
  • SeparatorEmail: info@nsjbio.com
  • Tel: 858.663.9055
  • Email: info@nsjbio.com
Home >> Antibodies >> IQSEC2 Antibody / IQ motif and Sec7 domain-containing protein 2

IQSEC2 Antibody / IQ motif and Sec7 domain-containing protein 2 (FY12344)

  Catalog No Formulation Size Price (USD)  
Image FY12344 Adding 0.2 ml of distilled water will yield a concentration of 500 ug/ml 100 ug 449
Bulk quote request
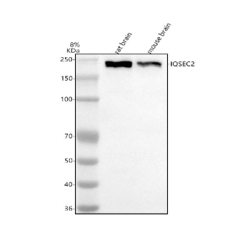
Western blot analysis of IQSEC2 using anti-IQSEC2 antibody. Electrophoresis was performed on a 8% SDS-PAGE gel at 80V (Stacking gel) / 120V (Resolving gel) for 2 hours. Lane 1: rat brain tissue lysates, Lane 2: mouse brain tissue lysates. After electrophoresis, proteins were transferred to a nitrocellulose membrane at 150 mA for 50-90 minutes. Blocked the membrane with 5% non-fat milk/TBS for 1.5 hour at RT. The membrane was incubated with rabbit anti-IQSEC2 antibody at 0.5 ug/ml overnight at 4oC, then washed with TBS-0.1%Tween 3 times with 5 minutes each and probed with a goat anti-rabbit IgG-HRP secondary antibody at a dilution of 1:5000 for 1.5 hour at RT. The signal was developed using an ECL Plus Western Blotting Substrate. IQSEC2 (~163 kDa predicted) was detected at ~200 kDa, consistent with the full-length, phosphorylated form reported in neuronal lysates.
Availability 1-2 days
Species Reactivity Mouse, Rat
Format Lyophilized
Host Rabbit
Clonality Polyclonal (rabbit origin)
Isotype Rabbit IgG
Purity Immunogen affinity purified
Buffer Each vial contains 4 mg Trehalose, 0.9 mg NaCl, 0.2 mg Na2HPO4.
UniProt Q5JU85
Applications Western Blot : 0.25-0.5ug/ml
ELISA : 0.1-0.5ug/ml
Limitations This IQSEC2 antibody is available for research use only.
Review this product on BioCompare and get a $20 Amazon gift card

Description

The IQSEC2 antibody targets IQ motif and Sec7 domain-containing protein 2, a guanine nucleotide exchange factor (GEF) encoded by the IQSEC2 gene. This multidomain protein belongs to the IQSEC/BRAG family of Arf GEFs, which regulate small GTPases of the ADP-ribosylation factor (Arf) family. IQ motif and Sec7 domain-containing protein 2 is primarily expressed in the brain, where it contributes to synaptic signaling, dendritic spine morphogenesis, and neuronal communication. The IQSEC2 antibody provides a reliable tool to examine the localization, regulation, and signaling roles of this neuron-specific exchange factor.

IQ motif and Sec7 domain-containing protein 2 contains an IQ motif that binds calmodulin and a Sec7 catalytic domain responsible for activating Arf6. Through these structural features, IQSEC2 regulates membrane trafficking and actin cytoskeleton dynamics at excitatory synapses. Its activity influences AMPA receptor endocytosis, synaptic plasticity, and overall neuronal connectivity. The IQSEC2 antibody enables researchers to visualize these molecular processes, helping clarify how alterations in Arf6 activation impact synaptic function and brain development.

Mutations in IQSEC2 are associated with X-linked intellectual disability, autism spectrum disorder, and epileptic encephalopathy. These pathogenic variants disrupt GEF activity or protein stability, resulting in abnormal neuronal signaling and synapse formation. By using the IQSEC2 antibody, investigators can detect wild-type and mutant protein forms in patient-derived cells, animal models, or neuronal cultures to better understand the molecular pathology underlying neurodevelopmental disorders. Analysis of IQ motif and Sec7 domain-containing protein 2 expression using this antibody provides insight into how altered GTPase signaling contributes to cognitive impairment and epilepsy.

The IQSEC2 antibody is suitable for western blotting, immunocytochemistry, and immunohistochemistry applications. It reveals strong neuronal localization, particularly in the postsynaptic density and dendritic compartments. The reagent supports studies on synaptic vesicle recycling, endocytic trafficking, and Arf-dependent signaling. Combined with electrophysiology or live-cell imaging, the IQSEC2 antibody allows correlation of protein expression with functional outcomes in neuronal communication and plasticity.

Beyond neuroscience, IQ motif and Sec7 domain-containing protein 2 may influence cytoskeletal remodeling in other cell types, including epithelial and immune cells, suggesting broader physiological relevance. NSJ Bioreagents provides the IQSEC2 antibody to facilitate ongoing exploration of how this key regulatory enzyme integrates calcium signaling, actin dynamics, and membrane trafficking. Its validated specificity ensures accurate quantification and localization across multiple experimental systems. The availability of this antibody supports research into synaptic biology, cognitive function, and mechanisms of neurodevelopmental disease.

Application Notes

Optimal dilution of the IQSEC2 antibody should be determined by the researcher.

Immunogen

E.coli-derived human IQSEC2 recombinant protein (Position: A122-M1396) was used as the immunogen for the IQSEC2 antibody.

Storage

After reconstitution, the IQSEC2 antibody can be stored for up to one month at 4oC. For long-term, aliquot and store at -20oC. Avoid repeated freezing and thawing.

Cross
Bulk Quote Request Form
Name*:
Organization*:
Email*:
Phone Number*:
Catalog No.*:
Comments and Specifics(amount, formulation, etc.)*:
Validation code: Captchapackage Image


Can't read the image? click here to refresh.
    *required field

Your bulk quote request has been submitted successfully!

Please contact us if you have any questions.