• Tel: 858.663.9055
  • SeparatorEmail: info@nsjbio.com
  • Tel: 858.663.9055
  • Email: info@nsjbio.com
Home >> Antibodies >> IQGAP1 Antibody

IQGAP1 Antibody (RQ5586)

  Catalog No Formulation Size Price (USD)  
Image RQ5586 0.5mg/ml if reconstituted with 0.2ml sterile DI water 100 ug 449
Bulk quote request
Immunofluorescent staining of human A431 cells with IQGAP1 antibody (green) and DAPI nuclear stain (blue). HIER: boil tissue sections in pH6, 10mM citrate buffer, for 20 min and allow to cool before testing.
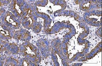
IHC staining of FFPE human ovarian cancer with IQGAP1 antibody. HIER: boil tissue sections in pH8 EDTA for 20 min and allow to cool before testing.
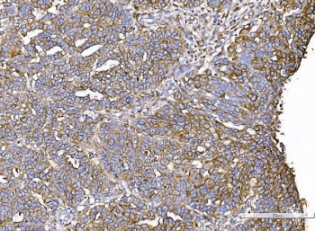
IHC staining of FFPE human endometrial adenocarcinoma with IQGAP1 antibody. HIER: boil tissue sections in pH8 EDTA for 20 min and allow to cool before testing.
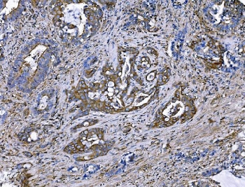
IHC staining of FFPE human gallbladder squamous cell carcinoma with IQGAP1 antibody. HIER: boil tissue sections in pH8 EDTA for 20 min and allow to cool before testing.
Western blot testing of human 1) U-87 MG, 2) SW620, 3) U-2 OS, 4) HEK293, 5) K562 and 6) HepG2 cell lysate with IQGAP1 antibody. Predicted molecular weight ~189 kDa.
Western blot testing of human 1) U-87 MG, 2) HL-60, 3) HeLa, 4) U-2 OS and 5) Caco-2 lysate with IQGAP1 antibody. Predicted molecular weight ~189 kDa.
Flow cytometry testing of human A431 cells with IQGAP1 antibody at 1ug/million cells (blocked with goat sera); Red=cells alone, Green=isotype control, Blue= IQGAP1 antibody.
Availability 1-3 business days
Species Reactivity Human
Format Antigen affinity purified
Host Rabbit
Clonality Polyclonal (rabbit origin)
Isotype Rabbit IgG
Purity Affinity purified
Buffer Lyophilized from 1X PBS with 2% Trehalose
UniProt P46940
Localization Cytoplasmic, nuclear, membrane
Applications Western Blot : 0.25-0.5ug/ml
Immunohistochemistry (FFPE) : 1-2ug/ml
Flow Cytometry : 1-3ug/million cells
Immunofluorescence : 5ug/ml
Direct ELISA : 0.1-0.5ug/ml
Limitations This IQGAP1 antibody is available for research use only.
Review this product on BioCompare and get a $20 Amazon gift card

Related Products

  • Applications : WB, ELISA
    Reactivity : Human
  • Applications : WB, ELISA (peptide)
    Reactivity : Human
    Pred. Reactivity : Mouse, Rat
  • Applications : WB, IHC-P, IF/ICC, FACS, Direct ELISA
    Reactivity : Human

Description

Ras GTPase-activating-like protein (IQGAP1) also known as p195 is a ubiquitously expressed protein that in humans is encoded by the IQGAP1 gene. It is mapped to 15q26.1. This gene encodes a member of the IQGAP family. The protein contains four IQ domains, one calponin homology domain, one Ras-GAP domain and one WW domain. It interacts with components of the cytoskeleton, with cell adhesion molecules, and with several signaling molecules to regulate cell morphology and motility. Expression of the protein is upregulated by gene amplification in two gastric cancer cell lines.

Application Notes

Optimal dilution of the IQGAP1 antibody should be determined by the researcher.

Immunogen

A human recombinant protein (amino acids S2-H578) was used as the immunogen for the IQGAP1 antibody.

Storage

After reconstitution, the IQGAP1 antibody can be stored for up to one month at 4oC. For long-term, aliquot and store at -20oC. Avoid repeated freezing and thawing.

Cross
Bulk Quote Request Form
Name*:
Organization*:
Email*:
Phone Number*:
Catalog No.*:
Comments and Specifics(amount, formulation, etc.)*:
Validation code: Captchapackage Image


Can't read the image? click here to refresh.
    *required field

Your bulk quote request has been submitted successfully!

Please contact us if you have any questions.