• Tel: 858.663.9055
  • SeparatorEmail: info@nsjbio.com
  • Tel: 858.663.9055
  • Email: info@nsjbio.com
Home >> Antibodies >> IPO9 Antibody / Importin 9

IPO9 Antibody / Importin 9 (RQ8836)

  Catalog No Formulation Size Price (USD)  
Image RQ8836 0.5mg/ml if reconstituted with 0.2ml sterile DI water 100 ug 449
Bulk quote request
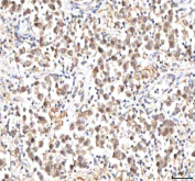
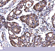
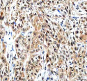
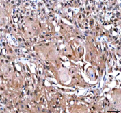
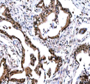
IHC staining of FFPE human lung cancer tissue with IPO9 antibody. HIER: boil tissue sections in pH8 EDTA for 20 min and allow to cool before testing.
IHC staining of FFPE human pancreas ductal adenocarcinoma tissue with IPO9 antibody. HIER: boil tissue sections in pH8 EDTA for 20 min and allow to cool before testing.
IHC staining of FFPE human colon adenocarcinoma tissue with IPO9 antibody. HIER: boil tissue sections in pH8 EDTA for 20 min and allow to cool before testing.
IHC staining of FFPE human testicular seminoma tissue with IPO9 antibody. HIER: boil tissue sections in pH8 EDTA for 20 min and allow to cool before testing.
IHC staining of FFPE human urothelial carcinoma tissue with IPO9 antibody. HIER: boil tissue sections in pH8 EDTA for 20 min and allow to cool before testing.
IHC staining of FFPE human urothelial carcinoma tissue with IPO9 antibody. HIER: boil tissue sections in pH8 EDTA for 20 min and allow to cool before testing.
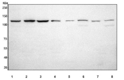
Western blot testing of 1) human SiHa, 2) human HeLa, 3) human Caco-2, 4) human RT4, 5) rat liver, 6) rat brain, 7) mouse liver and 8) mouse brain tissue lysate with IPO9 antibody. Predicted molecular weight ~116 kDa, but it is often observed at higher molecular weights due to protein complexing.
Flow cytometry testing of fixed and permeabilized human SH-SY5Y cells with IPO9 antibody at 1ug/million cells (blocked with goat sera); Red=cells alone, Green=isotype control, Blue= IPO9 antibody.
Flow cytometry testing of fixed and permeabilized human HeLa cells with IPO9 antibody at 1ug/million cells (blocked with goat sera); Red=cells alone, Green=isotype control, Blue= IPO9 antibody.
Availability 1-3 days
Species Reactivity Human, Mouse, Rat
Format Antigen affinity purified
Host Rabbit
Clonality Polyclonal (rabbit origin)
Isotype Rabbit IgG
Purity Antigen affinity chromatography
Buffer Lyophilized from 1X PBS with 2% Trehalose
UniProt Q96P70
Localization Cytoplasm, Nucleus
Applications Western Blot : 1-2ug/ml
Immunohistochemistry (FFPE) : 2-5ug/ml
Flow Cytometry : 1-3ug/million cells
ELISA : 0.1-0.5ug/ml
Limitations This IPO9 antibody is available for research use only.
Review this product on BioCompare and get a $20 Amazon gift card

Related Products

Description

Importin-9 is a protein that in humans is encoded by the IPO9 gene. This gene encodes a protein that binds RAN, a small GTP binding protein belonging to the RAS superfamily that is essential for the translocation of RNA and proteins through the nuclear pore complex. The protein encoded by this gene has also been shown to interact with several other proteins, including met proto-oncogene, homeodomain interacting protein kinase 2, androgen receptor, and cyclin-dependent kinase 11.

Application Notes

Optimal dilution of the IPO9 antibody should be determined by the researcher.

Immunogen

An E.coli-derived human recombinant protein (amino acids Q37-I1041) was used as the immunogen for the IPO9 antibody.

Storage

After reconstitution, the IPO9 antibody can be stored for up to one month at 4oC. For long-term, aliquot and store at -20oC. Avoid repeated freezing and thawing.

Cross
Bulk Quote Request Form
Name*:
Organization*:
Email*:
Phone Number*:
Catalog No.*:
Comments and Specifics(amount, formulation, etc.)*:
Validation code: Captchapackage Image


Can't read the image? click here to refresh.
    *required field

Your bulk quote request has been submitted successfully!

Please contact us if you have any questions.