• Tel: 858.663.9055
  • SeparatorEmail: info@nsjbio.com
  • Tel: 858.663.9055
  • Email: info@nsjbio.com
Home >> Antibodies >> IP3R Antibody

IP3R Antibody (R31638)

  Catalog No Formulation Size Price (USD)  
Image R31638 0.5mg/ml if reconstituted with 0.2ml sterile DI water 100 ug 449
Bulk quote request
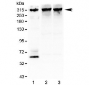
Western blot testing of 1) human SHG-44 (glioma), 2) rat brain and 3) mouse brain lysate with IP3R antibody at 1ug/ml. Predicted molecular weight ~314 kDa.
Western blot testing of 1) human HeLa, 2) rat brain and 3) mouse brain lysate with IP3R antibody at 1ug/ml. Predicted molecular weight ~314 kDa.
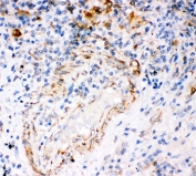
IHC-P: IP3R antibody testing of human lung cancer tissue. HIER: steam section in pH6 citrate buffer for 20 min.
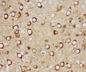
IHC-P: IP3R antibody testing of mouse brain tissue. HIER: steam section in pH6 citrate buffer for 20 min.
IHC-P testing of rat brain tissue. HIER: steam section in pH6 citrate buffer for 20 min.
Immunofluorescent staining of FFPE human U-2 OS cells with IP3R antibody (green) and DAPI nuclear stain (blue). HIER: steam section in pH6 citrate buffer for 20 min.
Flow cytometry testing of human U-87 MG cells with IP3R antibody at 1ug/million cells (blocked with goat sera); Red=cells alone, Green=isotype control, Blue= IP3R antibody.
Availability 1-3 business days
Species Reactivity Human, Mouse, Rat
Format Antigen affinity purified
Host Rabbit
Clonality Polyclonal (rabbit origin)
Isotype Rabbit IgG
Purity Antigen affinity
Buffer Lyophilized from 1X PBS with 2.5% BSA and 0.025% sodium azide
UniProt Q14643
Gene ID 3708
Applications Western Blot : 0.5-1ug/ml
Immunohistochemistry (FFPE) : 0.5-1ug/ml
Immunofluorescence (FFPE) : 2-4ug/ml
Flow Cytometry : 1-3ug/million cells
Limitations This IP3R antibody is available for research use only.
Review this product on BioCompare and get a $20 Amazon gift card

Description

Inositol 1,4,5-trisphosphate receptor type 1, also known as IP3R or IP3R1, is a protein that in humans is encoded by the ITPR1 gene. It is mapped to 3p26.1. The product of the ITPR1 gene is predominantly enriched in cerebellar Purkinje cells but is also concentrated in neurons in the hippocampal CA1 region, caudate-putamen, and cerebral cortex. IP3R is an intracellular IP3-gated calcium channel that modulates intracellular calcium signaling. Upon stimulation by inositol 1,4,5-trisphosphate, this receptor mediates calcium release from the endoplasmic reticulum. Mutations in the gene cause spinocerebellar ataxia type 15, a disease associated with an heterogeneous group of cerebellar disorders.

Application Notes

The stated application concentrations are suggested starting amounts. Titration of the IP3R antibody may be required due to differences in protocols and secondary/substrate sensitivity.

Immunogen

Human partial recombinant protein (AA 2411-2758) was used as the immunogen for this IP3R antibody.

Storage

After reconstitution, the IP3R antibody can be stored for up to one month at 4oC. For long-term, aliquot and store at -20oC. Avoid repeated freezing and thawing.

Cross
Bulk Quote Request Form
Name*:
Organization*:
Email*:
Phone Number*:
Catalog No.*:
Comments and Specifics(amount, formulation, etc.)*:
Validation code: Captchapackage Image


Can't read the image? click here to refresh.
    *required field

Your bulk quote request has been submitted successfully!

Please contact us if you have any questions.