• Tel: 858.663.9055
  • SeparatorEmail: info@nsjbio.com
  • Tel: 858.663.9055
  • Email: info@nsjbio.com
Home >> Antibodies >> INTU Antibody / Protein Inturned

INTU Antibody / Protein Inturned (RQ8841)

  Catalog No Formulation Size Price (USD)  
Image RQ8841 0.5mg/ml if reconstituted with 0.2ml sterile DI water 100 ug 449
Bulk quote request
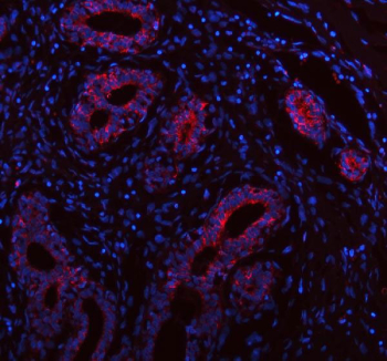
Immunofluorescent staining of FFPE human breast cancer tissue with INTU antibody (red) and DAPI nuclear stain (blue). HIER: steam section in pH8 EDTA buffer for 20 min.
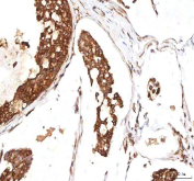
IHC staining of FFPE human breast cancer tissue with INTU antibody. HIER: boil tissue sections in pH8 EDTA for 20 min and allow to cool before testing.
IHC staining of FFPE human breast cancer tissue with INTU antibody. HIER: boil tissue sections in pH8 EDTA for 20 min and allow to cool before testing.
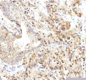
IHC staining of FFPE human prostate cancer tissue with INTU antibody. HIER: boil tissue sections in pH8 EDTA for 20 min and allow to cool before testing.
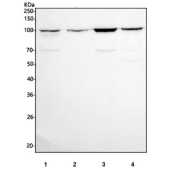
Western blot testing of human 1) K562, 2) SH-SY5Y, 3) SiHa and 4) A431 cell lysate with INTU antibody. Predicted molecular weight ~106 kDa.
Flow cytometry testing of fixed and permeabilized human MCF7 cells with INTU antibody at 1ug/million cells (blocked with goat sera); Red=cells alone, Green=isotype control, Blue= INTU antibody.
Availability 1-3 days
Species Reactivity Human
Format Antigen affinity purified
Host Rabbit
Clonality Polyclonal (rabbit origin)
Isotype Rabbit IgG
Purity Antigen affinity chromatography
Buffer Lyophilized from 1X PBS with 2% Trehalose
UniProt Q9ULD6
Localization Cytoplasm
Applications Western Blot : 1-2ug/ml
Immunohistochemistry (FFPE) : 2-5ug/ml
Flow Cytometry : 1-3ug/million cells
Immunofluorescence : 5ug/ml
ELISA : 0.1-0.5ug/ml
Limitations This INTU antibody is available for research use only.
Review this product on BioCompare and get a $20 Amazon gift card

Description

INTU plays a key role in ciliogenesis and embryonic development. INTU is a regulator of cilia formation by controlling the organization of the apical actin cytoskeleton and the positioning of the basal bodies at the apical cell surface, which in turn is essential for the normal orientation of elongating ciliary microtubules. It plays a key role in definition of cell polarity via its role in ciliogenesis but not via conversion extension and has an indirect effect on hedgehog signaling.

Application Notes

Optimal dilution of the INTU antibody should be determined by the researcher.

Immunogen

An E.coli-derived human recombinant protein (amino acids Q224-K935) was used as the immunogen for the INTU antibody.

Storage

After reconstitution, the INTU antibody can be stored for up to one month at 4oC. For long-term, aliquot and store at -20oC. Avoid repeated freezing and thawing.

Cross
Bulk Quote Request Form
Name*:
Organization*:
Email*:
Phone Number*:
Catalog No.*:
Comments and Specifics(amount, formulation, etc.)*:
Validation code: Captchapackage Image


Can't read the image? click here to refresh.
    *required field

Your bulk quote request has been submitted successfully!

Please contact us if you have any questions.