• Tel: 858.663.9055
  • SeparatorEmail: info@nsjbio.com
  • Tel: 858.663.9055
  • Email: info@nsjbio.com
Home >> Antibodies >> INTS13 Antibody / Integrator complex subunit 13

INTS13 Antibody / Integrator complex subunit 13 (RQ8785)

  Catalog No Formulation Size Price (USD)  
Image RQ8785 0.5mg/ml if reconstituted with 0.2ml sterile DI water 100 ug 449
Bulk quote request
Immunofluorescent staining of FFPE human U-2 OS cells with INTS13 antibody (red) and Beta Tubulin mAb (green). HIER: steam section in pH6 citrate buffer for 20 min.
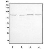
Western blot testing of human 1) HeLa, 2) PC-3, 3) A549 and 4) K562 cell lysate with INTS13 antibody. Predicted molecular weight ~80 kDa.
Availability 1-3 days
Species Reactivity Human
Format Antigen affinity purified
Host Rabbit
Clonality Polyclonal (rabbit origin)
Isotype Rabbit IgG
Purity Antigen affinity chromatography
Buffer Lyophilized from 1X PBS with 2% Trehalose
UniProt Q9NVM9
Localization Nuclear, cytoplasmic
Applications Western Blot : 1-2ug/ml
Immunofluorescence : 5ug/ml
ELISA : 0.1-0.5ug/ml
Limitations This INTS13 antibody is available for research use only.
Review this product on BioCompare and get a $20 Amazon gift card

Description

Integrator Complex Subunit 13 Protein, also known as INTS13, is a subunit of the Integrator complex, which plays a critical role in the 3' end processing of small nuclear RNAs (snRNAs). This complex is responsible for the cleavage and polyadenylation of snRNAs, which are essential for the splicing of pre-mRNA. INTS13 is specifically involved in the cleavage step of snRNA processing, highlighting its importance in gene expression regulation.

Application Notes

Optimal dilution of the INTS13 antibody should be determined by the researcher.

Immunogen

An E.coli-derived human recombinant protein (amino acids M1-H254) was used as the immunogen for the INTS13 antibody.

Storage

After reconstitution, the INTS13 Antibody can be stored for up to one month at 4oC. For long-term, aliquot and store at -20oC. Avoid repeated freezing and thawing.

Cross
Bulk Quote Request Form
Name*:
Organization*:
Email*:
Phone Number*:
Catalog No.*:
Comments and Specifics(amount, formulation, etc.)*:
Validation code: Captchapackage Image


Can't read the image? click here to refresh.
    *required field

Your bulk quote request has been submitted successfully!

Please contact us if you have any questions.