• Tel: 858.663.9055
  • SeparatorEmail: info@nsjbio.com
  • Tel: 858.663.9055
  • Email: info@nsjbio.com
Home >> Antibodies >> Intestinal FABP Antibody / Intestinal fatty acid-binding protein

Intestinal FABP Antibody / Intestinal fatty acid-binding protein [clone FABP2/6345] (V5887)

  Catalog No Formulation Size Price (USD)  
Image V5887-100UG 0.2 mg/ml in 1X PBS with 0.05% BSA, 0.05% sodium azide 100 ug 559
Image
V5887-20UG 0.2 mg/ml in 1X PBS with 0.05% BSA, 0.05% sodium azide 20 ug 259
Image
V5887SAF-100UG 1 mg/ml in 1X PBS; BSA free, sodium azide free 100 ug 559
Microvalidated
Bulk quote request
Intestinal FABP Antibody Multi-Species Intestine WB. Western blot analysis of FABP2 in intestinal tissues. Western blot analysis was performed using tissue lysates from human intestine, mouse intestine, rat intestine, hamster intestine, guinea pig intestine, and rabbit intestine probed with Intestinal FABP/Intestinal fatty acid-binding protein antibody (clone FABP2/6345). A distinct immunoreactive band is observed at the predicted molecular weight of FABP2 across all intestinal samples, consistent with conserved expression of Intestinal FABP in absorptive intestinal epithelium. Predicted molecular weight ~15 kDa.
Analysis of Protein Array containing more than 19,000 full-length human proteins using Intestinal FABP/Intestinal fatty acid-binding protein antibody (clone FABP2/6345). Z- and S- Score: The Z-score represents the strength of a signal that a monoclonal antibody (MAb) (in combination with a fluorescently-tagged anti-IgG secondary antibody) produces when binding to a particular protein on the HuProtTM array. Z-scores are described in units of standard deviations (SD's) above the mean value of all signals generated on that array. If targets on HuProtTM are arranged in descending order of the Z-score, the S-score is the difference (also in units of SD's) between the Z-score. S-score therefore represents the relative target specificity of a MAb to its intended target. A MAb is considered to specific to its intended target, if the MAb has an S-score of at least 2.5. For example, if a MAb binds to protein X with a Z-score of 43 and to protein Y with a Z-score of 14, then the S-score for the binding of that MAb to protein X is equal to 29.
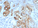
Intestinal FABP Antibody IHC. Immunohistochemistry analysis of formalin-fixed, paraffin-embedded human kidney tissue stained with Intestinal FABP/Intestinal fatty acid-binding protein antibody (clone FABP2/6345). Brown chromogenic signal indicates FABP2-positive epithelial cells, while surrounding stromal cells show minimal staining. Inset shows PBS in place of the primary antibody as a secondary-only negative control. Antigen retrieval was performed by heating tissue sections in 10mM Tris with 1mM EDTA, pH 9.0, for 45 minutes at 95oC followed by cooling at room temperature for 20 minutes.
Intestinal FABP Antibody Small Intestine WB. Western blot analysis of human small intestine tissue lysate using Intestinal FABP/Intestinal fatty acid-binding protein antibody (FABP2/6345).
Intestinal FABP Antibody Human Mouse Rat Intestine WB. Western blot analysis of Human Intestine, Mouse Intestine and Rat Intestinal FABP/Intestinal fatty acid-binding protein antibody (FABP2/6345).
SDS-PAGE Analysis of purified Intestinal FABP/Intestinal fatty acid-binding protein antibody (FABP2/6345). Confirmation of Purity and Integrity of Antibody.
Intestinal FABP Antibody Human Intestine WB. Western blot analysis of human small intestine tissue lysate using Intestinal FABP/Intestinal fatty acid-binding protein antibody (FABP2/6345).
Species Reactivity Guinea Pig, Hamster, Human, Mouse, Rabbit, Rat
Format Purified
Host Mouse
Clonality Monoclonal (mouse origin)
Isotype Mouse IgG2, kappa
Clone Name FABP2/6345
UniProt P12104
Localization Cytoplasm
Applications Immunohistochemistry (FFPE) : 1-2ug/ml
Western Blot : 2-4ug/ml
Limitations This Intestinal FABP/Intestinal fatty acid-binding protein antibody is available for research use only.
Review this product on BioCompare and get a $20 Amazon gift card

Related Products

Description

Intestinal FABP antibody targets Fatty acid-binding protein 2, a small cytoplasmic lipid-binding protein encoded by the FABP2 gene and predominantly expressed in intestinal epithelial cells. Fatty acid-binding protein 2 is also widely known as intestinal fatty acid-binding protein, intestinal FABP, and I-FABP, reflecting its highly restricted localization to mature enterocytes lining the small intestine. This protein belongs to the fatty acid-binding protein family, a group of intracellular lipid chaperones that regulate fatty acid uptake, trafficking, and metabolic signaling within cells.

Fatty acid-binding protein 2 is localized primarily to the cytoplasm of absorptive intestinal epithelial cells, where it binds long-chain fatty acids derived from dietary lipids. By facilitating intracellular lipid transport, intestinal FABP supports efficient fatty acid absorption and coordinates downstream metabolic pathways involved in energy homeostasis. Its expression is strongest in the jejunum and ileum, aligning with regions of maximal nutrient uptake, and is minimal or absent in most extraintestinal tissues, making it a highly specific marker of enterocyte differentiation.

Beyond its physiological role in lipid handling, intestinal fatty acid-binding protein has gained importance as a biomarker of intestinal epithelial integrity. Cellular injury, ischemia, inflammation, or increased intestinal permeability can result in the release of FABP2 into circulation, where it serves as a sensitive indicator of enterocyte damage. As a result, Intestinal FABP antibody reagents are frequently used in research investigating gastrointestinal disorders, including inflammatory bowel disease, celiac disease, intestinal ischemia, sepsis-associated gut injury, and metabolic conditions linked to altered lipid absorption.

The FABP2 gene is located on human chromosome 4q28-q31 and produces a single major protein isoform with well-characterized lipid-binding domains. Structurally, Fatty acid-binding protein 2 adopts a beta-barrel fold typical of FABP family members, forming a hydrophobic pocket that accommodates fatty acid ligands. This conserved architecture allows precise interaction with fatty acids while maintaining specificity for intestinal epithelial expression patterns.

Intestinal FABP antibody clone FABP2/6345 is designed to recognize Fatty acid-binding protein 2 and is suitable for detecting FABP2 expression in relevant research applications. The clone FABP2/6345 enables clear visualization of enterocyte-associated FABP2 localization in tissue-based studies and supports investigations into intestinal metabolism, epithelial differentiation, and disease-associated epithelial injury.

Researchers seeking a broadly validated FABP2 antibody for intestinal epithelial biology and lipid absorption studies may also be interested in our HuProt-validated FABP2 antibody clone FABP2/6344, supported by western blot, immunohistochemistry, and protein microarray specificity data.

Application Notes

Optimal dilution of the Intestinal FABP/Intestinal fatty acid-binding protein antibody should be determined by the researcher.

Immunogen

A recombinant fragment (around amino acids 1-132) of human FABP2 protein (exact sequence is proprietary) was used as the immunogen for the Intestinal FABP/Intestinal fatty acid-binding protein antibody.

Storage

Intestinal FABP/Intestinal fatty acid-binding protein antibody with sodium azide - store at 2 to 8oC; antibody without sodium azide - store at -20 to -80oC.

Cross
Bulk Quote Request Form
Name*:
Organization*:
Email*:
Phone Number*:
Catalog No.*:
Comments and Specifics(amount, formulation, etc.)*:
Validation code: Captchapackage Image


Can't read the image? click here to refresh.
    *required field

Your bulk quote request has been submitted successfully!

Please contact us if you have any questions.