• Tel: 858.663.9055
  • SeparatorEmail: info@nsjbio.com
  • Tel: 858.663.9055
  • Email: info@nsjbio.com
Home >> Antibodies >> Interleukin 5 Antibody / IL5

Interleukin 5 Antibody / IL5 [clone IL5/4161] (V9534)

  Catalog No Formulation Size Price (USD)  
Image V9534-100UG 0.2 mg/ml in 1X PBS with 0.1 mg/ml BSA (US sourced), 0.05% sodium azide 100 ug 559
Image
V9534-20UG 0.2 mg/ml in 1X PBS with 0.1 mg/ml BSA (US sourced), 0.05% sodium azide 20 ug 259
Image
V9534SAF-100UG 1 mg/ml in 1X PBS; BSA free, sodium azide free 100 ug 559
Microvalidated
Bulk quote request
Analysis of HuProt(TM) microarray containing more than 19,000 full-length human proteins using Interleukin 5 antibody (clone IL5/4161). These results demonstrate the foremost specificity of the IL5/4161 mAb. Z- and S- score: The Z-score represents the strength of a signal that an antibody (in combination with a fluorescently-tagged anti-IgG secondary Ab) produces when binding to a particular protein on the HuProt(TM) array. Z-scores are described in units of standard deviations (SD's) above the mean value of all signals generated on that array. If the targets on the HuProt(TM) are arranged in descending order of the Z-score, the S-score is the difference (also in units of SD's) between the Z-scores. The S-score therefore represents the relative target specificity of an Ab to its intended target.
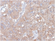
IHC staining of FFPE human adrenal gland tissue with Interleukin 5 antibody (clone IL5/4161). HIER: boil tissue sections in pH 9 10mM Tris with 1mM EDTA for 20 min and allow to cool before testing.
SDS-PAGE analysis of purified, BSA-free Interleukin 5 antibody (clone IL5/4161) as confirmation of integrity and purity.
Availability 1-3 business days
Species Reactivity Human
Format Purified
Host Mouse
Clonality Monoclonal (mouse origin)
Isotype Mouse IgG2b, kappa
Clone Name IL5/4161
Purity Protein A/G affinity
UniProt P05113
Localization Secreted, Extracellular
Applications Immunohistochemistry (FFPE) : 1-2ug/ml
Limitations This Interleukin 5 antibody is available for research use only.
Review this product on BioCompare and get a $20 Amazon gift card

Description

Interleukin-5, or IL-5, was originally discovered as a soluble T cell-derived factor, called T cell-replacing factor (TRF), that induced T cell-depleted activated B cells to secrete immunoglobulin. Native IL-5 is a disulfide-linked homodimer. IL-5 is initially synthesized as a precursor with a 19 amino acid signal peptide which is cleaved to form a 112 amino acid mature protein. Murine and human IL-5 exhibit 70% sequence identity at the amino acid level. IL-5 exerts its biological activity through the IL-5 receptor (IL-5R), which is composed of at least two chains: an chain that binds IL-5 with low affinity and a chain that does not bind IL-5, but together with the IL-5 a chain, constitutes the high affinity IL-5 receptor. The chain is common to the IL-3, IL-5 and GM-CSF receptors and has been shown to signal through the JAK/Stat pathway.

Application Notes

Optimal dilution of the Interleukin 5 antibody should be determined by the researcher.

Immunogen

A recombinant fragment of human IL5 protein corresponding to the mature protein sequence was used as the immunogen for the Interleukin 5 antibody.

Storage

Aliquot the Interleukin 5 antibody and store frozen at -20oC or colder. Avoid repeated freeze-thaw cycles.

Cross
Bulk Quote Request Form
Name*:
Organization*:
Email*:
Phone Number*:
Catalog No.*:
Comments and Specifics(amount, formulation, etc.)*:
Validation code: Captchapackage Image


Can't read the image? click here to refresh.
    *required field

Your bulk quote request has been submitted successfully!

Please contact us if you have any questions.