• Tel: 858.663.9055
  • SeparatorEmail: info@nsjbio.com
  • Tel: 858.663.9055
  • Email: info@nsjbio.com
Home >> Antibodies >> Interleukin 18 Antibody / IL-18

Interleukin 18 Antibody / IL-18 [clone IL18/4623] (V5596)

  Catalog No Formulation Size Price (USD)  
Image V5596-100UG 0.2 mg/ml in 1X PBS with 0.1 mg/ml BSA (US sourced), 0.05% sodium azide 100 ug 539
Image
V5596-20UG 0.2 mg/ml in 1X PBS with 0.1 mg/ml BSA (US sourced), 0.05% sodium azide 20 ug 249
Image
V5596SAF-100UG 1 mg/ml in 1X PBS; BSA free, sodium azide free 100 ug 539
Microvalidated
Bulk quote request
Western blot testing of human A549 cell lysate with Interleukin 18 antibody. Predicted molecular weight ~22 kDa.
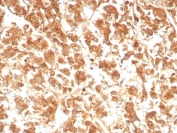
IHC staining of FFPE human adrenal gland tissue with Interleukin 18 antibody (clone IL18/4623). HIER: boil tissue sections in pH 9 10mM Tris with 1mM EDTA for 20 min and allow to cool before testing.
Analysis of HuProt(TM) microarray containing more than 19,000 full-length human proteins using Interleukin 18 antibody (clone IL18/4623). These results demonstrate the foremost specificity of the IL18/4623 mAb. Z- and S- Score: The Z-score represents the strength of a signal that a monoclonal antibody (clone MAb) (in combination with a fluorescently-tagged anti-IgG secondary antibody) produces when binding to a particular protein on the HuProt(TM) array. Z-scores are described in units of standard deviations (SD's) above the mean value of all signals generated on that array. If targets on HuProt(TM) are arranged in descending order of the Z-score, the S-score is the difference (also in units of SD's) between the Z-score. S-score therefore represents the relative target specificity of a MAb to its intended target. A MAb is considered to specific to its intended target, if the MAb has an S-score of at least 2.5. For example, if a MAb binds to protein X with a Z-score of 43 and to protein Y with a Z-score of 14, then the S-score for the binding of that MAb to protein X is equal to 29.
SDS-PAGE analysis of purified, BSA-free Interleukin 18 antibody (clone IL18/4623) as confirmation of integrity and purity.
Availability 1-3 business days
Species Reactivity Human
Format Purified
Clonality Monoclonal (mouse origin)
Isotype Mouse IgG2a, kappa
Clone Name IL18/4623
Purity Protein A/G affinity
UniProt Q14116
Localization Secreted
Applications Immunohistochemistry (FFPE) : 1-2ug/ml
Western Blot : 2-4ug/ml
Limitations This Interleukin 18 antibody is available for research use only.
Review this product on BioCompare and get a $20 Amazon gift card

Related Products

  • Applications : IHC-P, WB
    Reactivity : Human
    Microvalidated
  • Applications : IHC-P
    Reactivity : Human
    Microvalidated
  • Applications : IHC-P, WB
    Reactivity : Human
    Microvalidated
  • Applications : IHC-P, WB
    Reactivity : Human
  • Applications : IHC-P
    Reactivity : Human
  • Applications : WB, IHC-P, ELISA (protein)
    Reactivity : Mouse
  • Applications : WB
    Reactivity : Human
  • Applications : WB, IHC-P
    Reactivity : Human
  • Applications : WB, FACS, IHC-P
    Reactivity : Rat, Mouse
  • Applications : WB
    Reactivity : Mouse
  • Applications : WB, ELISA (peptide)
    Reactivity : Human

Description

Four structurally related IL-1 receptor ligands have been described. These include three agonists designated IL-1a, IL-1b and IL-1g/IL-18 and a specific receptor antagonist, IL-1Ra. IL-1a and IL-1b play critical roles in the regulation of the immune response and inflammation, serving as activators of T and B lymphocytes and NK (natural killer) cells. IL-18 (also referred to as IL-1g) has been shown to augment the secretion of IFN-g from T lymphocytes and increase NK cell activity in spleen cells. IL-18 exhibits 19% and 12% identity with IL-1a and IL-1b respectively over the 12 beta-strands of the beta-trefoil fold domain, which is a signature feature of the IL-1 family. The unusual leader sequence of IL-18 may be analogous to the IL-1b pro-domain which must be cleaved by the serine protease ICE for optimal secretion and biological activity. Originally described as IGIF (IFN-g-inducing factor), IL-18 is induced by mouse liver subsequent to challenge with lipopolysaccharide (LPS).

Application Notes

Optimal dilution of the Interleukin 18 antibody should be determined by the researcher.

Immunogen

A recombinant fragment (within amino acids 1-193) of human IL-18 protein was used as the immunogen for the Interleukin 18 antibody.

Storage

Aliquot the Interleukin 18 antibody and store frozen at -20oC or colder. Avoid repeated freeze-thaw cycles.

Cross
Bulk Quote Request Form
Name*:
Organization*:
Email*:
Phone Number*:
Catalog No.*:
Comments and Specifics(amount, formulation, etc.)*:
Validation code: Captchapackage Image


Can't read the image? click here to refresh.
    *required field

Your bulk quote request has been submitted successfully!

Please contact us if you have any questions.