• Tel: 858.663.9055
  • SeparatorEmail: info@nsjbio.com
  • Tel: 858.663.9055
  • Email: info@nsjbio.com
Home >> Antibodies >> Integrin linked ILK Antibody / Integrin-linked kinase

Integrin linked ILK Antibody / Integrin-linked kinase [clone 3C7E1] (RQ7136)

  Catalog No Formulation Size Price (USD)  
Image RQ7136 0.5mg/ml if reconstituted with 0.2ml sterile DI water 100 ug 449
Bulk quote request
IHC staining of FFPE human spleen tissue with Integrin linked ILK antibody. HIER: boil tissue sections in pH8 EDTA for 20 min and allow to cool before testing.
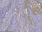
IHC staining of FFPE human squamous cell lung carcinoma tissue with Integrin linked ILK antibody. HIER: boil tissue sections in pH8 EDTA for 20 min and allow to cool before testing.
IHC staining of FFPE mouse kidney tissue with Integrin linked ILK antibody. HIER: boil tissue sections in pH8 EDTA for 20 min and allow to cool before testing.
Western blot testing of 1) human MCF7, 2) human HeLa, 3) human U-87 MG, 4) rat heart, 5) rat kidney, 6) mouse heart and 7) mouse kidney tissue lysate with Integrin linked ILK antibody. Expected molecular weight: 51-59 kDa.
Availability 1-3 business days
Species Reactivity Human, Mouse, Rat
Format Antigen affinity purified
Host Mouse
Clonality Monoclonal (mouse origin)
Isotype Mouse IgG2b
Clone Name 3C7E1
Purity Antigen affinity purified
Buffer Lyophilized from 1X PBS with 2% Trehalose
UniProt Q13418
Localization Cytoplasmic
Applications Western Blot : 0.5-1ug/ml
Immunohistochemistry (FFPE) : 2-5ug/ml
Limitations This Integrin linked ILK antibody is available for research use only.
Review this product on BioCompare and get a $20 Amazon gift card

Related Products

Description

ILK, also known as Integrin-linked kinase, is a serine-threonine protein kinase. Transduction of extracellular matrix signals through integrins influences intracellular and extracellular functions, and appears to require interaction of integrin cytoplasmic domains with cellular proteins. Integrin-linked kinase (ILK) interacts with the cytoplasmic domain of beta-1 integrin. This gene was initially described to encode a serine/ threonine protein kinase with 4 ankyrin-like repeats, which associates with the cytoplasmic domain of beta integrins and acts as a proximal receptor kinase regulating integrin-mediated signal transduction. Multiple alternatively spliced transcript variants encoding the same protein have been found for this gene. Recent results showed that ILK contains 5 ankyrin-like repeats, and that the C-terminal kinase domain is actually a pseudo-kinase with adaptor function.

Application Notes

Optimal dilution of the Integrin linked ILK antibody should be determined by the researcher.

Immunogen

Recombinant human protein (amino acids M1-K452) was used as the immunogen for the Integrin linked ILK antibody.

Storage

After reconstitution, the Integrin linked ILK antibody can be stored for up to one month at 4oC. For long-term, aliquot and store at -20oC. Avoid repeated freezing and thawing.

Cross
Bulk Quote Request Form
Name*:
Organization*:
Email*:
Phone Number*:
Catalog No.*:
Comments and Specifics(amount, formulation, etc.)*:
Validation code: Captchapackage Image


Can't read the image? click here to refresh.
    *required field

Your bulk quote request has been submitted successfully!

Please contact us if you have any questions.