• Tel: 858.663.9055
  • SeparatorEmail: info@nsjbio.com
  • Tel: 858.663.9055
  • Email: info@nsjbio.com
Home >> Antibodies >> Insulinoma associated protein 1 Antibody / INSM1 Antibody

Insulinoma associated protein 1 Antibody / INSM1 Antibody [clone INSM1/8149R] (V4818)

  Catalog No Formulation Size Price (USD)  
Image V4818-100UG 0.2 mg/ml in 1X PBS with 0.1 mg/ml BSA (US sourced), 0.05% sodium azide 100 ug 559
Image
V4818-20UG 0.2 mg/ml in 1X PBS with 0.1 mg/ml BSA (US sourced), 0.05% sodium azide 20 ug 259
Image
V4818SAF-100UG 1 mg/ml in 1X PBS; BSA free, sodium azide free 100 ug 559
Microvalidated Recrabbitmono
Bulk quote request
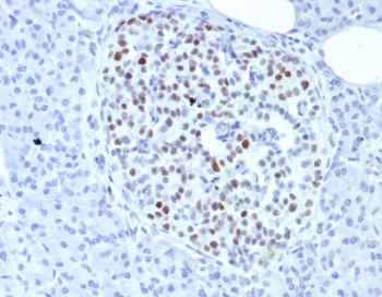
Insulinoma associated protein 1 Antibody (clone INSM1/8149R). Immunohistochemistry analysis of Insulinoma-associated protein 1 (INSM1) in formalin-fixed, paraffin-embedded human pancreas tissue using Insulinoma associated protein 1 antibody (clone INSM1/8149R). Distinct nuclear HRP-DAB staining highlights INSM1-positive endocrine cells within pancreatic islets, while surrounding exocrine pancreatic tissue shows minimal staining. The nuclear localization pattern is consistent with the transcription factor function of INSM1 and clearly delineates neuroendocrine cell populations within pancreatic tissue. Antigen retrieval was performed by boiling tissue sections in 10 mM Tris with 1 mM EDTA, pH 9, for 20 minutes followed by cooling prior to antibody incubation.
Availability 1-3 business days
Species Reactivity Human
Format Purified
Host Rabbit
Clonality Recombinant Rabbit Monoclonal
Isotype Rabbit IgG, kappa
Clone Name INSM1/8149R
Purity Protein A/G affinity
UniProt Q01101
Localization Nucleus
Applications Immunohistochemistry (FFPE) : 1-2ug/ml for 30 min at RT
Limitations This Insulinoma associated protein 1 antibody is available for research use only.
Review this product on BioCompare and get a $20 Amazon gift card

Related Products

Description

Insulinoma-associated protein 1 (INSM1) is a zinc finger transcription factor encoded by the INSM1 gene and plays an important role in the differentiation and development of neuroendocrine cells. The protein was originally identified in insulinoma tumors and is now widely recognized as a marker of neuroendocrine lineage. Insulinoma associated protein 1 Antibody recognizes this transcription factor, which is also referred to as INSM1 antibody and IA-1 antibody in the literature, and is used to investigate neuroendocrine cell identity and differentiation in biological samples.

INSM1 functions as a transcriptional regulator controlling genes involved in endocrine lineage specification and hormone producing cell maturation. During embryonic development, expression of INSM1 is observed in progenitor cells that give rise to pancreatic endocrine cells, neuroendocrine cells of the gastrointestinal tract, and certain neuronal populations. Through regulation of downstream transcriptional programs, the protein contributes to the formation and maintenance of specialized hormone-secreting cell types.

The INSM1 protein localizes primarily to the nucleus, consistent with its function as a transcription factor. Nuclear localization enables clear visualization of INSM1-positive cells when analyzing tissue sections or cellular preparations. In normal adult tissues, expression is typically restricted to neuroendocrine cell populations including pancreatic islet cells, bronchial neuroendocrine cells in the respiratory tract, and scattered endocrine cells of the gastrointestinal mucosa. These restricted expression patterns make INSM1 a useful molecular indicator of neuroendocrine differentiation in biological systems.

In tumor biology, INSM1 expression is commonly associated with neuroendocrine neoplasms. Elevated levels have been reported in small cell lung carcinoma, pulmonary neuroendocrine tumors, Merkel cell carcinoma, and pancreatic neuroendocrine tumors. Because these tumors often retain transcriptional programs characteristic of neuroendocrine lineage cells, detection of INSM1 provides insight into tumor cell differentiation state and lineage origin.

Large scale tissue expression analyses further demonstrate the selective distribution of INSM1 across human tissues. Strong expression is typically observed in neuroendocrine tumor types and endocrine cell populations, whereas most non-neuroendocrine epithelial tissues show little or no detectable signal. These patterns highlight the biological specificity of INSM1 and reinforce its association with endocrine and neuroendocrine differentiation pathways.

Insulinoma associated protein 1 Antibody (clone INSM1/8149R) is a recombinant rabbit monoclonal antibody designed to recognize the INSM1 transcription factor in research applications. The antibody supports studies focused on neuroendocrine differentiation, endocrine cell biology, and molecular mechanisms underlying neuroendocrine tumor development.

Application Notes

Optimal dilution of the Insulinoma associated protein 1 antibody should be determined by the researcher.

Immunogen

A recombinant partial protein sequence (within amino acids 1-300) from the human protein was used as the immunogen for the Insulinoma associated protein 1 antibody.

Storage

Aliquot the Insulinoma associated protein 1 antibody and store frozen at -20oC or colder. Avoid repeated freeze-thaw cycles.

Alternate Names

INSM1 antibody, IA-1 antibody, Zinc finger protein INSM1 antibody, Insulinoma-associated transcription factor 1 antibody

Cross
Bulk Quote Request Form
Name*:
Organization*:
Email*:
Phone Number*:
Catalog No.*:
Comments and Specifics(amount, formulation, etc.)*:
Validation code: Captchapackage Image


Can't read the image? click here to refresh.
    *required field

Your bulk quote request has been submitted successfully!

Please contact us if you have any questions.