• Tel: 858.663.9055
  • SeparatorEmail: info@nsjbio.com
  • Tel: 858.663.9055
  • Email: info@nsjbio.com
Home >> Antibodies >> Insulin receptor-related Antibody

Insulin receptor-related Antibody (F50644)

  Catalog No Formulation Size Price (USD)  
Image F50644-0.4ML In 1X PBS, pH 7.4, with 0.09% sodium azide 0.4 ml 439
Image
F50644-0.08ML In 1X PBS, pH 7.4, with 0.09% sodium azide 0.08 ml 205
Bulk quote request
Western blot testing of human 1) MCF-7, 2) HeLa, 3) SH-SY5Y, 4) 293T and 5) rat PC-12 cell lysate with Insulin receptor-related antibody. Expected molecular weight: ~80 kDa, 144 kDa.
Western blot analysis of Insulin receptor-related antibody and mouse brain lysate. Expected molecular weight: ~80 kDa, 144 kDa.
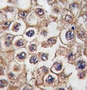
IHC analysis of FFPE human testis tissue stained with Insulin receptor-related antibody.
Availability 1-3 business days
Species Reactivity Human, Mouse, Rat
Format Purified
Host Rabbit
Clonality Polyclonal (rabbit origin)
Isotype Rabbit Ig
Purity Purified
UniProt P14616
Applications Western Blot : 1:1000
IHC (Paraffin) : 1:10-1:50
Limitations This Insulin receptor-related antibody is available for research use only.
Review this product on BioCompare and get a $20 Amazon gift card

Related Products

Description

Protein kinases are enzymes that transfer a phosphate group from a phosphate donor, generally the g phosphate of ATP, onto an acceptor amino acid in a substrate protein. By this basic mechanism, protein kinases mediate most of the signal transduction in eukaryotic cells, regulating cellular metabolism, transcription, cell cycle progression, cytoskeletal rearrangement and cell movement, apoptosis, and differentiation. With more than 500 gene products, the protein kinase family is one of the largest families of proteins in eukaryotes. The family has been classified in 8 major groups based on sequence comparison of their tyrosine (PTK) or serine/threonine (STK) kinase catalytic domains. The tyrosine kinase (TK) group is mainly involved in the regulation of cell-cell interactions such as differentiation, adhesion, motility and death. There are currently about 90 TK genes sequenced, 58 are of receptor protein TK (e.g. EGFR, EPH, FGFR, PDGFR, TRK, and VEGFR families), and 32 of cytosolic TK (e.g. ABL, FAK, JAK, and SRC families).

Application Notes

Titration of the Insulin receptor-related antibody may be required due to differences in protocols and secondary/substrate sensitivity.

Immunogen

A portion of amino acids 16-47 from the human protein was used as the immunogen for this Insulin receptor-related antibody.

Storage

Aliquot the Insulin receptor-related antibody and store frozen at -20oC or colder. Avoid repeated freeze-thaw cycles.

Cross
Bulk Quote Request Form
Name*:
Organization*:
Email*:
Phone Number*:
Catalog No.*:
Comments and Specifics(amount, formulation, etc.)*:
Validation code: Captchapackage Image


Can't read the image? click here to refresh.
    *required field

Your bulk quote request has been submitted successfully!

Please contact us if you have any questions.