• Tel: 858.663.9055
  • SeparatorEmail: info@nsjbio.com
  • Tel: 858.663.9055
  • Email: info@nsjbio.com
Home >> Antibodies >> Insulin Receptor Antibody

Insulin Receptor Antibody [clone GGA-9] (RQ5135)

  Catalog No Formulation Size Price (USD)  
Image RQ5135 Antibody in PBS with 0.02% sodium azide, 50% glycerol and 0.4-0.5mg/ml BSA 100 ul 449
Microvalidated Rab Mono Image
Bulk quote request
Western blot testing of human HeLa cell lysate with Insulin Receptor antibody. Expected molecular weight: ~156 kDa (precursor), ~95 kDa (b-subunit).
Western blot testing of human 1) HeLa, 2) HepG2 and 3) MCF7 cell lysate with Insulin Receptor antibody. Expected molecular weight: ~156 kDa (precursor), ~95 kDa (b-subunit).
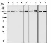
Western blot testing of 1) mouse liver, 2) mouse spleen, 3) mouse lung, 4) mouse kidney, 5) mouse skin, 6) rat liver, 7) rat spleen, 8) rat lung and 9) rat brain tissue lysate with Insulin Receptor antibody. Expected molecular weight: ~156 kDa (precursor), ~95 kDa (b-subunit).
Immunofluorescent staining of FFPE human BxPC-3 cells with Insulin Receptor antibody (green) and DAPI nuclear stain (blue). HIER: steam section in pH6 citrate buffer for 20 min.
Availability 1-2 weeks
Species Reactivity Human, Rat
Format Purified
Host Rabbit
Clonality Rabbit Monoclonal
Isotype Rabbit IgG
Clone Name GGA-9
Purity Affinity purified
UniProt P06213
Applications Western Blot : 1:1000-1:2000
Immunofluorescence : 1:50-1:200
Limitations This Insulin Receptor antibody is available for research use only.
Review this product on BioCompare and get a $20 Amazon gift card

Related Products

Description

The INSR gene encodes a member of the receptor tyrosine kinase family of proteins. The encoded preproprotein is proteolytically processed to generate alpha and beta subunits that form a heterotetrameric receptor. Binding of insulin or other ligands to this receptor activates the insulin signaling pathway, which regulates glucose uptake and release, as well as the synthesis and storage of carbohydrates, lipids and protein. Mutations in this gene underlie the inherited severe insulin resistance syndromes including type A insulin resistance syndrome, Donohue syndrome and Rabson-Mendenhall syndrome. Alternative splicing results in multiple transcript variants. [RefSeq]

Application Notes

Optimal dilution of the Insulin Receptor antibody should be determined by the researcher.

Immunogen

A synthetic peptide specific to human Insulin Receptor / INSR was used as the immunogen for the Insulin Receptor antibody.

Storage

Store the Insulin Receptor antibody at -20oC.

Cross
Bulk Quote Request Form
Name*:
Organization*:
Email*:
Phone Number*:
Catalog No.*:
Comments and Specifics(amount, formulation, etc.)*:
Validation code: Captchapackage Image


Can't read the image? click here to refresh.
    *required field

Your bulk quote request has been submitted successfully!

Please contact us if you have any questions.