• Tel: 858.663.9055
  • SeparatorEmail: info@nsjbio.com
  • Tel: 858.663.9055
  • Email: info@nsjbio.com
Home >> Antibodies >> Insulin-like growth factor-binding protein 3 Antibody / IGFBP3

Insulin-like growth factor-binding protein 3 Antibody / IGFBP3 [clone IGFBP3/3423] (V5370)

  Catalog No Formulation Size Price (USD)  
Image V5370-100UG 0.2 mg/ml in 1X PBS with 0.1 mg/ml BSA (US sourced), 0.05% sodium azide 100 ug 559
Image
V5370-20UG 0.2 mg/ml in 1X PBS with 0.1 mg/ml BSA (US sourced), 0.05% sodium azide 20 ug 259
Image
V5370SAF-100UG 1 mg/ml in 1X PBS; BSA free, sodium azide free 100 ug 559
Microvalidated
Bulk quote request
Analysis of HuProt(TM) microarray containing more than 19,000 full-length human proteins using Insulin-like growth factor-binding protein 3 antibody (clone IGFBP3/3423). These results demonstrate the foremost specificity of the IGFBP3/3423 mAb. Z- and S- Score: The Z-score represents the strength of a signal that a monoclonal antibody (clone MAb) (in combination with a fluorescently-tagged anti-IgG secondary antibody) produces when binding to a particular protein on the HuProt(TM) array. Z-scores are described in units of standard deviations (SD's) above the mean value of all signals generated on that array. If targets on HuProt(TM) are arranged in descending order of the Z-score, the S-score is the difference (also in units of SD's) between the Z-score. S-score therefore represents the relative target specificity of a MAb to its intended target. A MAb is considered to be specific to its intended target, if the MAb has an S-score of at least 2.5. For example, if a MAb binds to protein X with a Z-score of 43 and to protein Y with a Z-score of 14, then the S-score for the binding of that MAb to protein X is equal to 29.
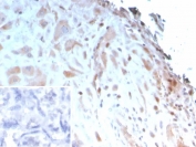
IHC staining of FFPE human placenta tissue with Insulin-like growth factor-binding protein 3 antibody (clone IGFBP3/3423). Inset: PBS used in place of primary Ab (secondary Ab negative control).
SDS-PAGE analysis of purified, BSA-free Insulin-like growth factor-binding protein 3 antibody (clone IGFBP3/3423) as confirmation of integrity and purity.
Availability 1-3 business days
Species Reactivity Human
Format Purified
Host Mouse
Clonality Monoclonal (mouse origin)
Isotype Mouse IgG2b, kappa
Clone Name IGFBP3/3423
Purity Protein A/G affinity
UniProt P17936
Localization Cytosol and nucleoplasm
Applications Immunohistochemistry (FFPE) : 1-2ug/ml
Limitations This Insulin-like growth factor-binding protein 3 antibody is available for research use only.
Review this product on BioCompare and get a $20 Amazon gift card

Related Products

  • Applications : IF, FACS
    Reactivity : Human
    Microvalidated
  • Applications : IHC-P
    Reactivity : Human
    Microvalidated
  • Applications : WB
    Reactivity : Human, Rat
  • Applications : WB, IHC, ELISA
    Reactivity : Human
    Pred. Reactivity : Rat
  • Applications : WB, ELISA
    Reactivity : Human, Hamster, Mouse
    Pred. Reactivity : Bovine, Pig
  • Applications : WB, ELISA (peptide)
    Reactivity : Human
    Pred. Reactivity : Mouse, Rat, Dog
  • Applications : WB, IHC-P, ELISA (protein)
    Reactivity : Human, Mouse, Rat
  • Applications : WB, ELISA (capture)
    Reactivity : Human
  • Applications : WB, Direct ELISA
    Reactivity : Rat

Description

The Insulin-like growth factor-binding proteins, or IGFBPs, are a family of homologous proteins that have co-evolved with the IGFs. They serve not only as shuttle molecules for the soluble IGFs, but also confer a level of regulation to the IGF signaling system. Physical association of the IGFBPs with IGF influences the bio-availability of the growth factors, as well as their concentration and distribution in the extracellular environment. In addition, the IGFBPs appear to have biological activity independent of the IGFs. Seven IGFBPs have thus far been described, each differing in their tissue distribution, half-lives and modulation of IGF interactions with their receptors. IGFBP3 is the most abundant IGFBP and is complexed with roughly 80% of the serum IGFs. Both IGFBP3 and IGFBP4 are released by dermal fibroblasts in response to incision injury.

Application Notes

Optimal dilution of the Insulin-like growth factor-binding protein 3 antibody should be determined by the researcher.

Immunogen

Recombinant human full-length IGFBP3 protein was used as the immunogen for the Insulin-like growth factor-binding protein 3 antibody.

Storage

Aliquot the Insulin-like growth factor-binding protein 3 antibody and store frozen at -20oC or colder. Avoid repeated freeze-thaw cycles.

Cross
Bulk Quote Request Form
Name*:
Organization*:
Email*:
Phone Number*:
Catalog No.*:
Comments and Specifics(amount, formulation, etc.)*:
Validation code: Captchapackage Image


Can't read the image? click here to refresh.
    *required field

Your bulk quote request has been submitted successfully!

Please contact us if you have any questions.