• Tel: 858.663.9055
  • SeparatorEmail: info@nsjbio.com
  • Tel: 858.663.9055
  • Email: info@nsjbio.com
Home >> Antibodies >> Insulin-induced gene 1 Antibody / INSIG1

Insulin-induced gene 1 Antibody / INSIG1 (RQ8469)

  Catalog No Formulation Size Price (USD)  
Image RQ8469 0.5mg/ml if reconstituted with 0.2ml sterile DI water 100 ug 449
Bulk quote request
Immunofluorescent staining of FFPE human HeLa cells with Insulin-induced gene 1 antibody (green) and DAPI nuclear stain (blue). HIER: steam section in pH6 citrate buffer for 20 min.
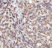
IHC staining of FFPE human liver cancer tissue with Insulin-induced gene 1 antibody. HIER: boil tissue sections in pH8 EDTA for 20 min and allow to cool before testing.
Western blot testing of human 1) HepG2, 2) A549, 3) MCF7 and 4) HUH7 cell lysate with Insulin-induced gene 1 antibody. Predicted molecular weight ~30 kDa with a 66-70 kDa precursor.
Flow cytometry testing of fixed and permeabilized human MCF7 cells with Insulin-induced gene 1 antibody at 1ug/million cells (blocked with goat sera); Red=cells alone, Green=isotype control, Blue= Insulin-induced gene 1 antibody.
Availability 1-3 days
Species Reactivity Human
Format Antigen affinity purified
Host Rabbit
Clonality Polyclonal (rabbit origin)
Isotype Rabbit IgG
Purity Antigen affinity purified
Buffer Lyophilized from 1X PBS with 2% Trehalose
UniProt O15503
Localization Cytoplasm
Applications Western Blot : 0.5-1ug/ml
Immunohistochemistry (FFPE) : 2-5ug/ml
Immunofluorescence : 5ug/ml
Flow Cytometry : 1-3ug/million cells
ELISA : 0.1-0.5ug/ml
Limitations This Insulin-induced gene 1 antibody is available for research use only.
Review this product on BioCompare and get a $20 Amazon gift card

Related Products

Description

Insulin induced gene 1, also known as INSIG1, is a protein which in humans is encoded by the INSIG1 gene. This gene encodes an endoplasmic reticulum membrane protein that regulates cholesterol metabolism, lipogenesis, and glucose homeostasis. The encoded protein has six transmembrane helices which contain an effector protein binding site. It binds the sterol-sensing domains of sterol regulatory element-binding protein (SREBP) cleavage-activating protein (SCAP) and 3-hydroxy-3-methylglutaryl-coenzyme A reductase (HMG-CoA reductase), and is essential for the sterol-mediated trafficking of these two proteins. It promotes the endoplasmic reticulum retention of SCAP and the ubiquitin-mediated degradation of HMG-CoA reductase. Alternative splicing results in multiple transcript variants.

Application Notes

Optimal dilution of the Insulin-induced gene 1 antibody should be determined by the researcher.

Immunogen

An E.coli-derived human recombinant protein (amino acids M1-R87) was used as the immunogen for the Insulin-induced gene 1 antibody.

Storage

After reconstitution, the Insulin-induced gene 1 antibody can be stored for up to one month at 4oC. For long-term, aliquot and store at -20oC. Avoid repeated freezing and thawing.

Cross
Bulk Quote Request Form
Name*:
Organization*:
Email*:
Phone Number*:
Catalog No.*:
Comments and Specifics(amount, formulation, etc.)*:
Validation code: Captchapackage Image


Can't read the image? click here to refresh.
    *required field

Your bulk quote request has been submitted successfully!

Please contact us if you have any questions.