• Tel: 858.663.9055
  • SeparatorEmail: info@nsjbio.com
  • Tel: 858.663.9055
  • Email: info@nsjbio.com
Home >> Antibodies >> Insulin Antibody Cocktail

Insulin Antibody Cocktail [clone E2-E3 + 2D11-H5 or INS04 + INS05] (V2158)

  Catalog No Formulation Size Price (USD)  
Image V2158-100UG 0.2 mg/ml in 1X PBS with 0.1 mg/ml BSA (US sourced) and 0.05% sodium azide 100 ug 559
Image
V2158-20UG 0.2 mg/ml in 1X PBS with 0.1 mg/ml BSA (US sourced) and 0.05% sodium azide 20 ug 259
Image
V2158SAF-100UG 1 mg/ml in 1X PBS; BSA free, sodium azide free 100 ug 559
Image
V2158IHC-7ML Prediluted in 1X PBS with 0.1 mg/ml BSA (US sourced) and 0.05% sodium azide; *For IHC use only* 7 ml 559
Bulk quote request
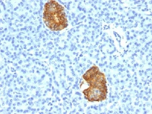
IHC testing of human pancreas stained with Insulin antibody cocktail (E2-E3 + 2D11-H5).
SDS-PAGE Analysis of Purified, BSA-Free Insulin Antibody Cocktail (clone E2-E3 + 2D11-H5 or INS04 + INS05). Confirmation of Integrity and Purity of the Antibody.
Species Reactivity Human, Rat
Format Purified
Host Mouse
Clonality Monoclonal (mouse origin)
Isotype Mouse IgG1, kappa
Clone Name E2-E3 + 2D11-H5 or INS04 + INS05
Purity Protein G affinity chromatography
Buffer 1X PBS, pH 7.4
Gene ID 3630
Localization Cytoplasmic
Applications Immunohistochemistry (FFPE) : 0.5-1ug/ml for 30 min at RT
Limitations This Insulin antibody is available for research use only.
Review this product on BioCompare and get a $20 Amazon gift card

Related Products

Description

This antibody cocktail recognizes a polypeptide which is identified as insulin, a 51-amino acid polypeptide composed of A and B chains connected through the C-peptide. Proinsulin, which has very little biological activity, is cleaved by proteases within its cell of origin into the insulin molecule and the C-terminal basic residue. It enhances membrane transport of glucose, amino acids, and certain ions. It also promotes glycogen storage, formation of triglycerides, and synthesis of proteins and nucleic acids. Deficiency of insulin results in diabetes mellitus. The main storage site for insulin is the pancreatic islets. Specific antibodies can be used as beta-cell and insulinoma markers.

Application Notes

The concentration stated for each application is a general starting point. Variations in protocols, secondaries and substrates may require the antibody to be titered up or down for optimal performance.

1. No special pretreatment is required for staining of formalin/paraffin tissues.
2. The prediluted format is supplied in a dropper bottle and is optimized for use in IHC. After epitope retrieval step (if required), drip mAb solution onto the tissue section and incubate at RT for 30 min.

Immunogen

Full length purified pig Insulin (aa 1-84), clones E2-E3 and 2D11-H5, was used as the immunogen for this antibody cocktail.

Storage

Store the Insulin antibody at 2-8oC (with azide) or aliquot and store at -20oC or colder (without azide).

Alternate Names

IDDM2, ILPR, IRDN, MODY10, Proinsulin, Insulin antibody

Cross
Bulk Quote Request Form
Name*:
Organization*:
Email*:
Phone Number*:
Catalog No.*:
Comments and Specifics(amount, formulation, etc.)*:
Validation code: Captchapackage Image


Can't read the image? click here to refresh.
    *required field

Your bulk quote request has been submitted successfully!

Please contact us if you have any questions.