• Tel: 858.663.9055
  • SeparatorEmail: info@nsjbio.com
  • Tel: 858.663.9055
  • Email: info@nsjbio.com
Home >> Antibodies >> INSM1 Antibody Recombinant Rabbit MAb / Insulinoma-associated 1 Antibody

INSM1 Antibody Recombinant Rabbit MAb / Insulinoma-associated 1 Antibody [clone INSM1/8122R] (V4820)

  Catalog No Formulation Size Price (USD)  
Image V4820-100UG 0.2 mg/ml in 1X PBS with 0.1 mg/ml BSA (US sourced), 0.05% sodium azide 100 ug 559
Image
V4820-20UG 0.2 mg/ml in 1X PBS with 0.1 mg/ml BSA (US sourced), 0.05% sodium azide 20 ug 259
Image
V4820SAF-100UG 1 mg/ml in 1X PBS; BSA free, sodium azide free 100 ug 559
Microvalidated Recrabbitmono
Bulk quote request
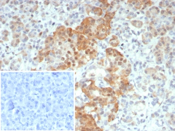
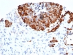
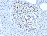
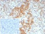
INSM1 Antibody Recombinant Rabbit MAb (clone INSM1/8122R). Immunohistochemistry of Insulinoma-associated protein 1 (INSM1) in formalin-fixed, paraffin-embedded human pancreas tissue using a recombinant rabbit monoclonal antibody. Nuclear HRP-DAB staining highlights INSM1-positive endocrine cells within pancreatic islets, consistent with the nuclear localization of this neuroendocrine transcription factor. Surrounding exocrine pancreatic tissue shows minimal staining. Antigen retrieval was performed by boiling tissue sections in 10 mM Tris with 1 mM EDTA, pH 9, for 20 minutes followed by cooling prior to antibody incubation.
Availability 1-3 business days
Species Reactivity Human
Format Purified
Host Rabbit
Clonality Recombinant Rabbit Monoclonal
Isotype Rabbit IgG, kappa
Clone Name INSM1/8122R
Purity Protein A/G affinity
UniProt Q01101
Localization Nucleus
Applications Immunohistochemistry (FFPE) : 1-2ug/ml for 30 min at RT
Limitations This INSM1 antibody is available for research use only.
Review this product on BioCompare and get a $20 Amazon gift card

Related Products

Description

Insulinoma-associated protein 1 (INSM1) is a zinc finger transcription factor encoded by the INSM1 gene and plays a central role in the development and differentiation of neuroendocrine cells. The protein was originally identified in insulinoma tissue and is now widely recognized as a marker of neuroendocrine lineage. INSM1 Antibody Recombinant Rabbit MAb (clone INSM1/8122R) recognizes the INSM1 protein and is used to study expression of this transcription factor in neuroendocrine cells and tumors.

INSM1 functions as a transcriptional regulator that controls genes involved in endocrine cell differentiation, neuronal development, and hormone producing cell maturation. During embryonic development the protein is expressed in multiple neuroendocrine precursor populations including pancreatic endocrine progenitors and developing neuronal lineages. Because INSM1 activity is closely linked with neuroendocrine differentiation programs, its expression provides insight into the identity and developmental origin of endocrine cell populations.

The INSM1 protein localizes primarily to the nucleus, consistent with its role as a transcription factor. Nuclear localization allows clear visualization of INSM1 positive cells when analyzing tissue sections or cellular preparations. In normal adult tissues, expression is generally restricted to specialized neuroendocrine cell populations such as pancreatic islet cells, bronchial neuroendocrine cells, and scattered neuroendocrine cells within gastrointestinal epithelium. These restricted expression patterns make INSM1 a useful molecular indicator of neuroendocrine differentiation in biological samples.

In tumor biology, INSM1 expression is frequently associated with neuroendocrine neoplasms. Elevated levels have been observed in tumors such as small cell lung carcinoma, pulmonary neuroendocrine tumors, Merkel cell carcinoma, and pancreatic neuroendocrine tumors. Because many of these tumors retain transcriptional programs characteristic of neuroendocrine lineages, detection of INSM1 can provide insight into tumor cell identity and differentiation state.

Large scale tissue profiling studies further illustrate the selective distribution of INSM1 expression across human tissues. Analysis of diverse normal and cancer samples demonstrates strong expression in neuroendocrine tumor types while most non neuroendocrine epithelial tissues show minimal signal. These expression patterns highlight the biological specificity of the INSM1 transcription factor and its association with endocrine cell differentiation pathways.

INSM1 Antibody Recombinant Rabbit MAb (clone INSM1/8122R) is designed to recognize the INSM1 protein in research applications. The antibody supports studies investigating neuroendocrine differentiation, transcriptional regulation in endocrine cell lineages, and the molecular biology of neuroendocrine tumors.

Application Notes

Optimal dilution of the INSM1 Antibody Recombinant Rabbit MAb should be determined by the researcher.

Immunogen

A recombinant partial protein sequence (within amino acids 1-300) from the human protein was used as the immunogen for the INSM1 antibody.

Storage

Aliquot the INSM1 antibody and store frozen at -20oC or colder. Avoid repeated freeze-thaw cycles.

Alternate Names

Insulinoma-associated 1 antibody, IA-1 antibody, Zinc finger protein INSM1 antibody, Insulinoma-associated transcription factor 1 antibody

Cross
Bulk Quote Request Form
Name*:
Organization*:
Email*:
Phone Number*:
Catalog No.*:
Comments and Specifics(amount, formulation, etc.)*:
Validation code: Captchapackage Image


Can't read the image? click here to refresh.
    *required field

Your bulk quote request has been submitted successfully!

Please contact us if you have any questions.