• Tel: 858.663.9055
  • SeparatorEmail: info@nsjbio.com
  • Tel: 858.663.9055
  • Email: info@nsjbio.com
Home >> Antibodies >> INHA Antibody Mouse Monoclonal INHA/9354 / Inhibin alpha INHA Antibody

INHA Antibody Mouse Monoclonal INHA/9354 / Inhibin alpha INHA Antibody [clone INHA/9354] (V5751)

  Catalog No Formulation Size Price (USD)  
Image V5751-100UG 0.2 mg/ml in 1X PBS with 0.1 mg/ml BSA (US sourced), 0.05% sodium azide 100 ug 559
Image
V5751-20UG 0.2 mg/ml in 1X PBS with 0.1 mg/ml BSA (US sourced), 0.05% sodium azide 20 ug 259
Image
V5751SAF-100UG 1 mg/ml in 1X PBS; BSA free, sodium azide free 100 ug 559
Bulk quote request
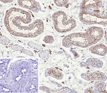
INHA Antibody Mouse Monoclonal INHA/9354 IHC staining of human testis. Immunohistochemistry analysis of FFPE human testis tissue using INHA Antibody Mouse Monoclonal INHA/9354 shows HRP-DAB brown cytoplasmic staining in cells within seminiferous tubules, consistent with Inhibin subunit alpha (INHA) expression in Sertoli cell populations, while surrounding stromal cells remain largely negative. Inset: PBS used in place of the primary antibody as a secondary antibody negative control. HIER: tissue sections were boiled in pH 9 10mM Tris with 1mM EDTA for 20 minutes and allowed to cool before testing.
SDS-PAGE analysis of purified, BSA-free Inhibin alpha chain/INHA antibody (clone INHA/9354) as confirmation of integrity and purity.
Availability 1-3 business days
Species Reactivity Human
Format Purified
Host Mouse
Clonality Monoclonal (mouse origin)
Isotype Mouse IgG2a, kappa
Clone Name INHA/9354
Purity Protein G affinity
UniProt P05111
Localization Cytoplasm
Applications Immunohistochemistry (FFPE) : 1-2ug/ml
Limitations This Inhibin alpha chain/INHA antibody is available for research use only.
Review this product on BioCompare and get a $20 Amazon gift card

Related Products

Description

Inhibin subunit alpha (INHA) is a secreted glycoprotein hormone component encoded by the INHA gene and produced primarily by granulosa cells in the ovary and Sertoli cells in the testis. The protein is commonly referred to as Inhibin alpha and functions as part of the heterodimeric hormones inhibin A and inhibin B. INHA Antibody Mouse Monoclonal INHA/9354 recognizes the INHA protein and enables detection of inhibin alpha expression in studies examining reproductive biology and endocrine related tumors.

Inhibins belong to the transforming growth factor beta (TGF beta) superfamily of signaling molecules. The inhibin alpha subunit pairs with either the beta A or beta B subunit to form inhibin A or inhibin B respectively. These hormones function as endocrine regulators that suppress secretion of follicle stimulating hormone (FSH) from the anterior pituitary gland, thereby contributing to regulation of gonadal endocrine signaling and reproductive physiology.

In normal tissues, INHA expression is most prominent in ovarian granulosa cells and testicular Sertoli cells. The protein is synthesized as a precursor that undergoes proteolytic processing before secretion into the extracellular environment. Through its endocrine function, inhibin alpha participates in feedback regulation of reproductive hormone signaling and plays an important role in follicular development and spermatogenesis.

Expression of inhibin alpha has also been reported in several tumor types derived from endocrine or steroidogenic tissues. INHA expression has been observed in ovarian granulosa cell tumors, other sex cord stromal tumors, and certain adrenal cortical tumors. Detection of inhibin alpha protein therefore supports research investigating endocrine tumor biology and the differentiation of steroid producing tissues.

INHA Antibody Mouse Monoclonal INHA/9354 provides a reagent for detecting INHA protein in studies of gonadal development, reproductive hormone signaling, and endocrine tumor biology. Monoclonal antibodies recognize a defined epitope within the target antigen, enabling consistent antigen recognition and supporting investigation of inhibin alpha expression in molecular and cellular research systems.

Application Notes

Optimal dilution of the INHA Antibody Mouse Monoclonal INHA/9354 should be determined by the researcher.

Immunogen

A recombinant partial protein from human Inhibin alpha protein (within amino acids 233-362) was used as the immunogen for the Inhibin alpha chain/INHA antibody.

Storage

Aliquot the Inhibin alpha chain/INHA antibody and store frozen at -20oC or colder. Avoid repeated freeze-thaw cycles.

Alternate Names

Inhibin alpha antibody, Inhibin alpha subunit antibody, INHA antibody, Inhibin A alpha antibody

Cross
Bulk Quote Request Form
Name*:
Organization*:
Email*:
Phone Number*:
Catalog No.*:
Comments and Specifics(amount, formulation, etc.)*:
Validation code: Captchapackage Image


Can't read the image? click here to refresh.
    *required field

Your bulk quote request has been submitted successfully!

Please contact us if you have any questions.